セラミック治療症例
目次
- 1 前歯のセラミック症例
- 2 ラミネートベニアの症例
- 3 セラミッククラウンの症例
- 4 デュアルホワイトニング+オールセラミックの症例
- 5 オールセラミックの症例
- 6 デュアルホワイトニング+オールセラミックの症例
- 7 ジルコニアセラミックの症例
- 8 ジルコニアボンドブリッジの症例
- 9 デュアルホワイトニングの症例
- 10 インプラント・メタルボンドの症例
- 11 ホームホワイトニングの症例
- 12 デュアルホワイトニングの症例
- 13 ジルコニアボンドの症例
- 14 デュアルホワイトニングの症例
- 15 オフィスホワイトニングの症例
- 16 根の治療、オフィスホワイトニング、 オールセラミックの症例
- 17 ホームホワイトニングの症例
- 18 デュアルホワイトニングの症例
- 19 オールセラミックの症例
- 20 オールセラミック、オフィスホワイトニングの症例
- 21 オフィスホワイトニング、オールセラミックの症例
- 22 ホームホワイトニング、オールセラミックの症例
- 23 ホームホワイトニング、オールセラミックの症例②
- 24 オールセラミック、インプラントの症例
- 25 ホワイトニング、オールセラミックの症例
- 26 オールセラミック、ジルコニアセラミックの症例
- 27 ジルコニアクラウンの症例
- 28 ジルコニアボンドの症例
- 29 セラミックインレー、ジルコニアステイニングの症例
- 30 右上6のコンポジットレジンの症例
- 31 右上7ジルコニアクラウン装着の症例
- 32 メタルインレー除去、ハイブリッドセラミックインレー形成印象の症例
- 33 前歯にレジン装冠装着の症例
- 34 前歯にCR治療の症例
- 35 前歯にCR治療の症例
- 36 奥歯のジルコニアの症例
- 37 ダイレクトボンディングの症例
- 38 ブリッジの症例
- 39 前歯セラミック治療の症例
- 40 ジルコニアインレー治療の症例
- 41 神経の治療 被せ物治療の症例
- 42 前歯のメリーランドジルコニアとハイブリッド
- 43 左上2番ジルコニアボンドの症例
- 44 セラミックインレーの症例
- 45 右下7番のジルコニアクラウンの症例
- 46 ジルコニアインレーの症例
- 47 ジルコニアボンドの症例
- 48 ジルコニアインレーの症例
- 49 ジルコニアクラウンの症例
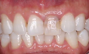
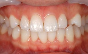
前歯のセラミック症例
現在の治療費と異なる場合がございます。最新の治療費は料金表をご確認ください。
※ 横にスクロールできます
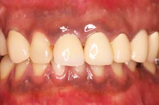
| 主訴 | 前歯の色が変色していることが気になる。 (オールセラミック) |
|---|---|
| 年齢・性別 | 30代 男性 |
| 治療期間 | 約3週間 |
| リスク・副作用 | 噛む力が強い方の場合、セラミックが欠けてしまうことがあるので、就寝時にマウスピースを装着していただく必要があります。 |
| 治療内容 | オールセラミック |
| 治療本数 | 1本 |
| 治療費用 | 仮歯(テック)5,500円(税込) +かぶせ物代 (オールセラミック)110,000円(税込) |
| 治療方針 | ①歯の形態、かみ合わせ等を模型上で 診査、患者さまと相談した上で形態の決定 ②仮歯の装着 ③セラミックの試適(色・形の確認) ④セラミック装着 |
| ドクターのコメント | 治療後はセラミック治療による審美性は 獲得できましたが術前と比べ、 ホワイトニング後の後戻りがあり、 歯が黄ばんできているので、 ホワイトニング後のメンテナンスの 重要性をお伝え致しました。 |
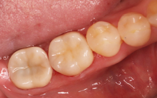
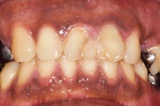
治療過程
- 治療前
- 歯の形成後
- 仮歯装着後(2週間つけていたため変色している)
- 完成前の試適
- 治療終了後
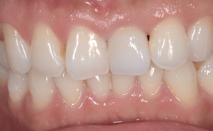
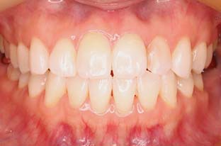
ラミネートベニアの症例
※ 横にスクロールできます
| 主訴 | 前から数えて2番目の歯と歯の間の隙間がきになる。 できればあんまり歯を削りたくない。 以前に虫歯でプラスティックをつめており、 残っている歯も少ないからという患者からの要望があった。 |
|---|---|
| 年齢・性別 | 30代 女性 |
| 治療期間 | 1ヶ月 |
| 治療内容 | ラミネートベニアで、 できるだけ歯を削らない。 |
| 治療費用 | 220,000円(税込) (ラミネートベニアの値段1本110,000円(税込)) |
| 治療方針 | 歯をできるだけ削らない |
| 副作用等 | かみ合わせがとても強い方の場合、 稀に割れてしまうことがあります。 |
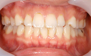
セラミッククラウン
の症例
※ 横にスクロールできます
| 主訴 | 前歯の形や大きさが気になる。 以前にかぶせ物を入れたが、 自分の顔に合っていない気がする。 |
|---|---|
| 年齢・性別 | 30代・女性 |
| 治療期間 | 2ヶ月 |
| リスク・副作用 | 噛む力が強い方の場合、セラミックが欠けてしまうことがあるので、就寝時にマウスピースを装着していただく必要があります。 |
| 治療内容 | ジルコニアボンドクラウンを用いて、 強度も審美も最高のもので、 歯茎の高さも合わせて完成させる。 |
| 治療費用 | 5,500円(税込)×4 (プロビジョナルレストレーション(仮歯)×4本) 歯ぐきの手術 55,000円(税込) |
| 治療方針 | 左右の歯のバランスを同じ数値で シンメトリーとする。 |
| 特記事項 | 回数かかっても良いので、 キレイに美しく仕上げて欲しい。 |
デュアルホワイトニング
+オールセラミックの症例
※ 横にスクロールできます
| 年齢・性別 | 30代・女性 |
|---|---|
| 治療期間 | 3ヶ月 |
| 治療内容 | デュアルホワイトニング +オールセラミック |
| 治療本数 | 2本 |
| 治療費用 | オフィスホワイトニング 2,750円(税込)/1回 ホームホワイトニング 11,000円(税込) プロビジョナルレストレーション(仮歯)5,500円(税込)x2本 |
| 副作用等 | ホワイトニングの効果には、個人差があります。 術後、知覚過敏が生じることがありますが、 ほとんどの場合1〜2日で治まります。 噛む力が強い方の場合、セラミックが欠けて しまうことがあるので、就寝時に マウスピースを装着していただく必要があります。 |
オールセラミックの症例
※ 横にスクロールできます
| 年齢・性別 | 45歳・女性 |
|---|---|
| 治療期間 | 2ヶ月 |
| 治療内容 | オールセラミック |
| 治療本数 | 3本 |
| 治療費用 | オールセラミック(110,000円(税込)×3本) |
| 副作用等 | かみ合わせがとても強い方の場合、 稀に割れてしまうことがあります。 |
デュアルホワイトニング
+オールセラミックの症例
※ 横にスクロールできます
| 年齢・性別 | 29歳・女性 |
|---|---|
| 治療期間 | 3ヶ月 |
| 治療内容 | デュアルホワイトニング +オールセラミック |
| 治療本数 | 12本 |
| 治療費用 | デュアルホワイトニング(77,000円(税込)) +オールセラミック(165,000円(税込)×12本) |
| 副作用等 | ホワイトニングの効果には、個人差があります。 術後、知覚過敏が生じることがありますが、 ほとんどの場合1〜2日で治まります。 噛む力が強い方の場合、セラミックが欠けて しまうことがあるので、就寝時にマウスピースを 装着していただく必要があります。 |
ジルコニアセラミック
の症例
※ 横にスクロールできます
| 年齢・性別 | 40歳・女性 |
|---|---|
| 治療期間 | 2ヶ月 |
| 治療内容 | ジルコニアセラミック |
| 治療本数 | 3本 |
| 治療費用 | ジルコニアセラミック(165,000円(税込)×3本) |
| 副作用等 | 噛む力が強い方の場合、稀にセラミックが欠けて しまうことがあるので、就寝時にマウスピースを 装着していただく必要があります。 |
ジルコニアボンドブリッジ
の症例
※ 横にスクロールできます
| 年齢・性別 | 47歳・女性 |
|---|---|
| 治療期間 | 1ヶ月 |
| 治療内容 | ジルコニアボンドブリッジ |
| 治療本数 | 3本 |
| 治療費用 | ジルコニアボンドブリッジ(165,000円(税込)×3本) |
| 副作用等 | かみ合わせが強い方の場合、装着したブリッジが外れることがあるので、 夜間マウスピース装着が必要となります。 右下の歯が無い部分の歯茎は時間の経過とともに下がってくることがあります。 その際、ブリッジ装着時とは見た目が変わってきたり、ブリッジの下に物が 詰まりやすくなる可能性があります。 |
デュアルホワイトニング
の症例
| 年齢・性別 | 24歳・女性 |
|---|---|
| 治療期間 | 1ヶ月 |
| 治療内容 | デュアルホワイトニング |
| 治療本数 | 全顎 |
| 治療費用 | デュアルホワイトニング (77,000円(税込)) |
| 副作用等 | ホワイトニングの効果には、個人差があります。 術後、知覚過敏が生じることがありますが、 ほとんどの場合1〜2日で治まります。 既存のつめ物・かぶせ物は白くなりません。 効果は永久的ではなく徐々に色戻りします。 |
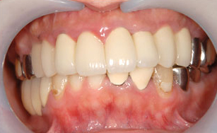
インプラント・
メタルボンドの症例
※ 横にスクロールできます
| 年齢・性別 | 54歳・男性 |
|---|---|
| 治療期間 | 6ヶ月 |
| 治療内容 | インプラント・メタルボンド・保険 |
| 治療本数 | 20本 |
| 治療費用 | インプラント(330,000円(税込)×4本) +メタルボンド(132,000円(税込)×6本) +保険治療 |
| 副作用等 | 外科手術により腫れが生じることがあります。 手術範囲や方法により異なりますが、 次第に腫れが引いてくることがほとんどです。 |
ホームホワイトニング
の症例
※ 横にスクロールできます
| 年齢・性別 | 27歳・女性 |
|---|---|
| 治療期間 | 2週間 |
| 治療内容 | ホームホワイトニング |
| 治療本数 | 全顎 |
| 治療費用 | ホームホワイトニング(11,000円(税込)) |
| 副作用等 | ホワイトニングの効果には、個人差があります。 術後、知覚過敏が生じることがありますが、 ほとんどの場合1〜2日で治まります。 既存のつめ物・かぶせ物は白くなりません。 効果は永久的ではなく徐々に色戻りします。 |
デュアルホワイトニング
の症例
※ 横にスクロールできます
| 年齢・性別 | 39歳・男性 |
|---|---|
| 治療期間 | 1ヶ月 |
| 治療内容 | デュアルホワイトニング |
| 治療本数 | 全顎 |
| 治療費用 | デュアルホワイトニング(77,000円(税込)) |
| 副作用等 | 効果には個人差があります。 術後、知覚過敏が生じることがありますが、 ほとんどの場合1〜2日で治まります。 既存のつめ物・かぶせ物は白くなりません。 効果は永久的ではなく徐々に色戻りします。 |
ジルコニアボンド
の症例
※ 横にスクロールできます
| 年齢・性別 | 42歳・男性 |
|---|---|
| 治療期間 | 3週間 |
| 治療内容 | ジルコニアボンド |
| 治療本数 | 1本 |
| 治療費用 | ジルコニアボンド(165,000円(税込)) |
| 副作用等 | かみ合わせがとても強い方の場合、 外れたり欠けたりする可能性があるため、 夜間にマウスピースを装着する必要があります。 |
デュアルホワイトニング
の症例
※ 横にスクロールできます
| 年齢・性別 | 34歳・女性 |
|---|---|
| 治療期間 | 1ヶ月 |
| 治療内容 | デュアルホワイトニング |
| 治療本数 | 全顎 |
| 治療費用 | デュアルホワイトニング(77,000円(税込)) |
| 副作用等 | ホワイトニング•••効果には個人差があります。 術後、知覚過敏が生じることがありますが、 ほとんどの場合1〜2日で治まります。 既存のつめ物・かぶせ物は白くなりません。 効果は永久的ではなく徐々に色戻りします。 |
オフィスホワイトニング
の症例
※ 横にスクロールできます
| 年齢・性別 | 25歳・女性 |
|---|---|
| 治療期間 | 1ヶ月 |
| 治療内容 | オフィスホワイトニング |
| 治療本数 | 全顎 |
| 治療費用 | オフィスホワイトニング(55,000円(税込)) |
| 副作用等 | ホワイトニング•••効果には個人差があります。 術後、知覚過敏が生じることがありますが、 ほとんどの場合1〜2日で治まります。 既存のつめ物・かぶせ物は白くなりません。 効果は永久的ではなく徐々に色戻りします。 |
根の治療、
オフィスホワイトニング、
オールセラミックの症例
※ 横にスクロールできます
| 年齢・性別 | 28歳・女性 |
|---|---|
| 治療期間 | 3ヶ月 |
| 治療内容 | 根の治療、 オフィスホワイトニング、 オールセラミック |
| 治療本数 | 4本 |
| 治療費用 | オフィスホワイトニング(55,000円(税込)) +オールセラミック(110,000円(税込)×4本) |
| 副作用等 | ホワイトニング•••効果には個人差があります。 術後、知覚過敏が生じることがありますが、 ほとんどの場合1〜2日で治まります。 既存のつめ物・かぶせ物は白くなりません。 効果は永久的ではなく徐々に色戻りします。 オールセラミック•••噛む力が強い方の場合、 セラミックが外れたり歯が欠けたりする 可能性があるため、夜間にマウスピースを 装着する必要があります。 |
ホームホワイトニング
の症例
※ 横にスクロールできます
| 年齢・性別 | 24歳・女性 |
|---|---|
| 治療期間 | 2週間 |
| 治療内容 | ホームホワイトニング |
| 治療本数 | 全顎 |
| 治療費用 | ホームホワイトニング(11,000円(税込)) |
| 副作用等 | 効果には個人差があります。 術後、知覚過敏が生じることがありますが、 ほとんどの場合1〜2日で治まります。 既存のつめ物・かぶせ物は白くなりません。 効果は永久的ではなくホームホワイトニング を辞めると徐々に色戻りします。 |
デュアルホワイトニング
の症例
※ 横にスクロールできます
| 年齢・性別 | 23歳・男性 |
|---|---|
| 治療期間 | 1ヶ月 |
| 治療内容 | デュアルホワイトニング |
| 治療本数 | 全顎 |
| 治療費用 | デュアルホワイトニング(77,000円(税込)) |
| 副作用等 | 効果には個人差があります。 術後、知覚過敏が生じることがありますが、 ほとんどの場合1〜2日で治まります。 既存のつめ物・かぶせ物は白くなりません。 効果は永久的ではなく徐々に色戻りします。 |
オールセラミックの症例
※ 横にスクロールできます
| 年齢・性別 | 29歳・女性 |
|---|---|
| 治療期間 | 2ヶ月 |
| 治療内容 | オールセラミック |
| 治療本数 | 4本 |
| 治療費用 | オールセラミック(110,000円(税込)×4本) |
| 副作用等 | かみ合わせがとても強い方の場合、 稀に割れてしまうことがあります。 |
オールセラミック、
オフィスホワイトニング
の症例
※ 横にスクロールできます
| 年齢・性別 | 34歳・男性 |
|---|---|
| 治療期間 | 2ヶ月 |
| 治療内容 | オールセラミック、 オフィスホワイトニング |
| 治療本数 | 3本 |
| 治療費用 | オールセラミック(110,000円(税込)×3本) +オフィスホワイトニング(55,000円(税込)) |
| 副作用等 | ホワイトニングについて•••効果には個人差があります。 術後、知覚過敏が生じることがありますが、ほとんどの場合 1〜2日で治まります。既存のつめ物、かぶせ物は白くなりません。 効果は永久的ではなく、徐々に色戻りします。 オールセラミックについて•••噛む力が強い方の場合、 セラミックが外れたり歯が欠けたりする可能性があるため、 夜間にマウスピースを装着する必要があります。 |
オフィスホワイトニング、
オールセラミックの症例
※ 横にスクロールできます
| 年齢・性別 | 32歳・女性 |
|---|---|
| 治療期間 | 1ヶ月 |
| 治療内容 | オフィスホワイトニング、 オールセラミック |
| 治療本数 | 4本 |
| 治療費用 | オフィスホワイトニング(55,000円(税込)) +オールセラミック(110,000円(税込)×4本) |
| 副作用等 | ホワイトニングについて•••効果には個人差があります。 術後、知覚過敏が生じることがありますが、ほとんどの場合 1〜2日で治まります。既存のつめ物、かぶせ物は白くなりません。 効果は永久的ではなく、徐々に色戻りします。 オールセラミックについて•••噛む力が強い方の場合、 セラミックが外れたり歯が欠けたりする可能性があるため、 夜間にマウスピースを装着する必要があります。 |
ホームホワイトニング、
オールセラミックの症例
※ 横にスクロールできます
| 年齢・性別 | 26歳・女性 |
|---|---|
| 治療期間 | 3ヶ月 |
| 治療内容 | ホームホワイトニング、 オールセラミック |
| 治療本数 | 6本 |
| 治療費用 | ホームホワイトニング(11,000円(税込)) +オールセラミック(110,000円(税込)×6本) |
| 副作用等 | ホワイトニングの効果には個人差があります。 術後、知覚過敏が生じることがあります。 ホワイトニングを継続せず辞めてしまうと、 セラミック以外の自分の歯の色が後戻り することがあります。 噛む力が強い方の場合、セラミックが 欠けてしまうことがあるので、 就寝時にマウスピースを装着する 必要があります。 |
ホームホワイトニング、
オールセラミックの症例②
上の前歯の白くなっているが被せものです。この4本を外して仮歯にして全体的にホームホワイトニングをしてからセラミックを作製します。
オーダーメイドなので歯の色合いの写真を撮って作製します。
患者さまが納得される歯の形態するため何度か仮歯の調整を行い、歯の色を白くするために家で行うホームホワイトニングを行って、歯の色が納得したところで差し歯の作製を行います。
※ 横にスクロールできます
| 年齢・性別 | 20代・女性 |
|---|---|
| 主訴 | 昔治療した前歯をきれいにしたい(セラミックにしたい) |
| 治療期間 | 2ヶ月 |
| 治療内容 | 1.ワックスアップ(シミュレーション)で説明、仮歯作製 2.仮歯装着 3.仮歯を3回調整 4.ホワイトニング 5.セラミックの差し歯の型取り 6.セラミックの差し歯の完成、装着 |
| 治療本数 | 4本 |
| 治療費用 | 仮歯(テック)2,750円✕4本 土台代 16,500円 被せ物代 110,000円✕4本(全て税込) |
| 副作用等 | ホワイトニングを継続せずに辞めてしまうと、 セラミック以外の自分の歯の色が後戻りしてくること があります。 ホワイトニング剤により、知覚過敏が生じることが あります。 噛む力が強い方の場合、夜間にマウスピースを装着 する必要があります。 |
| 所見 | 上の前歯4を5年前に治療して歯と歯茎の際の金属と歯の形、 左右非対称だったためセラミックで差し歯のやり直しをしました。 左上の側切歯(2番めの歯)がもともと舌側寄りに位置していた ため反対側の歯と同様な位置にしようとすると形が歪な形に なっていたので前歯4本を左右対称になるようにキレイに仕上げました。 |
オールセラミック、
インプラントの症例
※ 横にスクロールできます
| 年齢・性別 | 45歳・男性 |
|---|---|
| 治療期間 | 6ヶ月 |
| 治療内容 | オールセラミック、 インプラント |
| 治療本数 | 24本 |
| 治療費用 | オールセラミック(110,000円(税込)×20本) +インプラント(330,000円(税込)×4本) |
| 副作用等 | 外科手術により腫れが生じることがあります。 手術範囲や方法にもよりますが、 次第に腫れが引いてくることがほとんどです。 噛む力が強い方の場合、夜間にマウスピースを 装着する必要があります。 マウスピースを装着していないとインプラントが 抜けてきたり、セラミックが割れたりすることが あります。 |
ホワイトニング、
オールセラミックの症例
※ 横にスクロールできます
| 年齢・性別 | 24歳・女性 |
|---|---|
| 治療期間 | 1ヶ月 |
| 治療内容 | ホワイトニング、 オールセラミック |
| 治療本数 | 2本 |
| 治療費用 | ホームホワイトニング(11,000円(税込)) +オールセラミック(110,000円(税込)×2本) |
| 副作用等 | 効果には、個人差があります。
術後、知覚過敏が生じることがありますが、 ほとんどの場合1〜2日で治まります。 |
オールセラミック、
ジルコニアセラミック
の症例
※ 横にスクロールできます
| 年齢・性別 | 41歳・男性 |
|---|---|
| 治療期間 | 3ヶ月 |
| 治療内容 | オールセラミック・ ジルコニアボンド |
| 治療本数 | 17本 |
| 治療費用 | オールセラミック(110,000円(税込)×12本) +ジルコニアボンド(165,000円(税込)×5本) |
| 副作用等 | かみ合わせがとても強い方の場合、 稀に割れてしまうことがあります。 |
ジルコニアクラウン
の症例
※ 横にスクロールできます
| 年齢・性別 | 20代・男性 |
|---|---|
| 主訴 | 虫歯がある |
| 適応するプラン | 神経の中から治療し、被せ物を装着する |
| 虫歯の範囲 | 神経まで達する虫歯 |
| 治療期間 | 約1ヶ月 |
| 治療回数 | 3〜8回 |
| 治療内容 | 左下の犬歯のプラスチックのつめ物の下が虫歯で、 噛むと痛いという症状があった。 歯の神経まで達する虫歯のため、 歯の神経を4回かけて症状がなくなるまで治療。 防腐剤を詰めて歯の神経の治療は終了した。 その後、歯の土台をたてて白いかぶせ物 (ジルコニアクラウン)を装着した。 |
| 治療費用 | 歯の神経の治療 約2,000円(保険内) かぶせ物 55,000円(税込)(自費) |
| 副作用等 | かみ合わせがとても強い方の場合、 稀に割れてしまうことがあります。 |
ジルコニアボンド
の症例
※ 横にスクロールできます
| 年齢・性別 | 20代・女性 |
|---|---|
| 主訴 | 右上1の審美障害 |
| 治療内容 | ジルコニアボンド |
| 治療期間 | 1ヶ月 |
| リスク・副作用 | 歯の破折 |
| 治療費用 | 165,000円 |
| 副作用等 | かみ合わせがとても強い方の場合、 稀に割れてしまうことがあります。 |
| 治療方針 | まずは仮歯を入れながら形、機能面を精査。 その後問題がなければ最終的な被せ物の 型取りと色合わせをしていき、 仮の接着剤で しばらく過ごしていただく。 日常生活に問題がなく、審美的にも満足して いただけたら最終的な接着剤で装着。 |
| 特記事項 | 仮歯の期間は患者さまのお口の中の状態で 変わってきます。 |
| 担当者所見 | 前歯をぶつけ、神経が死んでしまった ため黒くなってしまった症例になります。 元々の歯がかなり白く綺麗であったため 審美面での調整が難しいケースになりましたが 最終的に満足していただくことができました。 |
セラミックインレー、
ジルコニアステイニング
の症例
※ 横にスクロールできます
| 年齢・性別 | 30代・男性 |
|---|---|
| 主訴 | 銀歯を白くしたい |
| 治療内容 | 金属除去、つめ物かぶせ物治療 |
| 治療期間 | 2週間 |
| 治療費用 | 総額 330,000円(税込) つめ物(セラミックインレー) 55,000円(税込) ×2 かぶせ物(ジルコニアステインクラウン) 110,000円(税込) ×2 |
| 副作用等 | 神経の治療 |
| 治療方針 | 金属を除去し中の虫歯を しっかりとりきりセラミックのつめ物 |
| 特記事項 | 金属の中は虫歯になっており、 症状がなかったが神経まで達していて 神経の治療が必要になったケースです。 |
| 担当者所見 | 一本ずつではなく同時にブロックで型取り、 色味合わせを行なったため精度、 審美面どちらも患者さまには満足していただけました。 |
右上6のコンポジットレジン
の症例
※ 横にスクロールできます
| 年齢・性別 | 20代・女性 |
|---|---|
| 主訴 | 虫歯がある |
| 治療費用 | 約1,000円 (保険内/3割負担でプラスチックで詰めた場合) |
| 適応するプラン | 保険のプラスチックで詰める or 型取りして後日詰める |
| 虫歯の範囲 | 噛み合う面のみ。浅め。 |
| 治療期間 | 30分 |
| 治療内容 | 定期検診の際に右上の奥から2番目の歯に虫歯が見つかった。 特に症状は無かったが、レントゲン上で内部で虫歯が広がっていることを確認。 痛くなる前に治療した方が良いケースだった。 幸い、虫歯はまだ神経まで達しておらず、プラスチックをその日のうちに詰めて 治療終了となった。 |
| リスク・副作用 | 虫歯が大きい場合、歯の神経の治療に移行することがある。 治療直後はつめ物の刺激で痛みが出ることがある。 つめ物の性質上、経年劣化、変色する。 かみ合わせが強い方の場合、つめ物が割れたり取れたりすることがある。 |
右上7ジルコニアクラウン
装着の症例
※ 横にスクロールできます
| 年齢・性別 | 40代・女性 |
|---|---|
| 主訴 | 虫歯がある |
| リスク・副作用 | 噛む力が強い方の場合、かみ合う相手の歯が削れてしまう可能性があります。 |
| 治療費用 | 神経の治療:1回あたり数百〜数千円(保険内) 被せ物:5万円(保険外.税抜) |
| 適応するプラン | 神経の中から治療し、被せ物を装着する |
| 虫歯の範囲 | 神経まで達する虫歯 |
| 治療回数 | 3〜8回 |
| 治療内容 | 右上の奥歯が虫歯で欠けていて、噛むと痛いという症状があった。 神経まで達する虫歯のため、根の中を4回かけて症状がなくなるまで清掃。 防腐剤をつめて神経の治療は終了した。 その後、歯の土台を立てて白い被せ物(ジルコニアクラウン)を装着し、治療終了となった。 |
メタルインレー除去、
ハイブリッドセラミック
インレー形成印象の症例
※ 横にスクロールできます
| 年齢・性別 | 20代・女性 |
|---|---|
| 主訴 | 銀歯を白くしたい |
| 治療費用 | 66,000円 |
| 治療期間 | 2週間 |
| 治療内容 | メタルインレー除去、ハイブリッドセラミックインレー形成印象 |
| リスク・副作用 | 拔髄、抜歯 |
前歯にレジン装冠装着
の症例
※ 横にスクロールできます
| 年齢・性別 | 50歳・男性 |
|---|---|
| 主訴 | 前歯を綺麗にしたい |
| 治療費用 | 神経の治療 約2,000円×2 (保険内) かぶせ物 約5,000円×2 (保険内) |
| 治療期間 | 1か月 |
| 治療内容 | 前歯の古いプラスチックの下が虫歯になっており、 冷たいものがしみるという症状があった。 歯の神経まで達する虫歯のため、根の中を症状がなく なるまで清掃。防腐剤をつめて神経の治療は終了した。 その後、歯の土台を立てて保険のかぶせ物 (レジン前装冠)を装着し、治療終了となった。 |
| リスク・副作用 | 保険のかぶせ物で金属が使われているものは、 経年により歯茎の周りが黒くなることがあります。 奥歯の本数が少ない方は、前歯に装着したかぶせ物が 割れたり外れたりすることがあるので、 奥歯の治療も同時に行う必要があります。 かみみ合わせが強い方は、かぶせ物が外れたり、 歯の根が割れるリスクが高まるので、 夜間にマウスピースを装着する必要があります。 |
前歯にCR治療
の症例
※ 横にスクロールできます
| 年齢・性別 | 31歳・女性 |
|---|---|
| 主訴 | 左上の前歯の色が気になる |
| 治療箇所 | 左上の前から2番目の歯 |
| 治療費用 | 3,990円(保険内、初診料含む) |
| 治療期間 | 1日 |
| 治療内容 | 保険のプラスチックを詰める。 |
| リスク・副作用 | 保険のプラスチックのつめ物は、徐々に黄ばんできたり、 つめ物の周りが着色したりなど経年劣化が 起こります。 つめ直す範囲が大きく歯の神経に近い場合、冷たいものがしみたり、 痛みが生じるリスクがあります。 その場合、歯の神経の治療が必要になってくることもあります。 かみ合わせが強い方はつめた部分が欠けたり外れたりするリスクが高いです。 その場合、夜間にマウスピースを装着する必要があります。 |
前歯にCR治療
の症例
※ 横にスクロールできます
| 年齢・性別 | 42歳・男性 |
|---|---|
| 主訴 | 約6年前に当院で入れた右下6番ハイブリットセラミックインレーが欠けた。 |
| 治療費用 | ジルコニアインレー:49,500円 (2023年5月現在) |
| 治療期間 | 約2週間 |
| 治療内容 | 右下6番インレー形成印象 |
| リスク・副作用 | ・歯を削る時や詰め物を入れた後に、しみたり、噛んで痛みを感じることがありますが、決して虫歯を取り残しているわけではありません。神経と詰め物の距離が近くなることによって、神経が過敏になっていることにより出ている症状になります。 あまりにも強い痛みが続く場合は神経の治療に移行していきます。 ただ症状が出ていても約2ヶ月から3ヶ月すれば、詰め物と神経との間に新しい組織ができてくるので、症状は緩和されます。 |
| 治療方針 | 6年前にセットしたハイブリッドインレーが欠けてしまったので、当時はなかったジルコニアインレーへと強度が強いため変更しました。 |
| 特記事項 | 写真に写っている詰め物との間の白いものはセメントになります。 |
| 担当者所見 | 当時は奥歯の歯でもハイブリッドインレーと呼ばれる詰め物が良いとされていました。 しかし現在では歯ぎしり食いしばりされる方がほとんどです。 そういった方々には柔らかい素材のハイブリットインレーが割れてしまうケースが多くなっております。 そこで近年新しく作られたジルコニアインレーが強度が強く奥歯に入れても非常に割れにくいためおすすめです。 |
奥歯のジルコニア
の症例
※ 横にスクロールできます
| 年齢・性別 | 22歳・男性 |
|---|---|
| 主訴・治療部位 | 他院で虫歯治療 詰め物の治療が必要と判断を受けたが、自費診療の費用が高価で治療を断念 インターネットで当院を知りご来院 右上6番、右上4番 |
| 治療費用 | 合計:88,000円 ジルコニア:44,000円×2 (2023年1月現在) |
| 治療期間 | 約1ヵ月 |
| 治療内容 | 虫歯を除去し、型をとりました。 神経の近くまで虫歯になっていたため、神経の保護処置も行いました。 |
| リスク・副作用 | 虫歯が進行し、神経の治療になる可能性があります。 神経の近くまで削っているため、治療直後は敏感になり痛みが出る可能性があります。 かみ合わせの強い方は詰め物が取れてしまう可能性があります。 |
| 治療方針 | 治療必要な箇所は終了 親知らずは埋まっているが、痛みや腫れはないため、定期検診にて経過観察していきます。 |
| 担当者所見 | 歯周病検査は異常なし 虫歯リスクを下げるため、歯ブラシの他にフロスや歯間ブラシの併用を提案しました。 |
ダイレクトボンディングの症例
※ 横にスクロールできます
| 年齢・性別 | 32歳・男性 |
|---|---|
| 主訴・治療部位 | 主訴:下前歯のすきっ歯を治したい。 右下1番、2番、左下1番、2番 |
| 治療費用 | ■合計:132,000円 ダイレクトボンディング:33,000円×4本 ※税込金額で記載 (2023年1月現在) |
| 治療期間 | 1時間 |
| 治療内容 | ダイレクトボンディング |
| リスク・副作用 | かみ合わせが強い方、歯ぎしりや食いしばりをする方だと欠ける可能性があります。 フロスを強く通すと外れる可能性があります。 普段の食事にもよりますが、プラスチックなので着色が付きやすく変色しやすいです。 |
| 治療方針 | 下の前歯のすきっ歯が気になるとのことで、治療をご提案いたしました。 外れにくく変色しないラミネートべニアや被せ物(クラウン)もご提案しましたが、ダイレクトボンディングをご希望されました。 |
| 特記事項 | 外れたり欠けやすいリスクをご了承いただいた上で治療しました。 |
| 担当者所見 | 患者さまとご相談しながら、歯の形やお色味をしっかりと合わせて治療しました。大変ご満足いただけました。 |
ブリッジの症例
※ 横にスクロールできます
| 年齢・性別 | 47歳・男性 |
|---|---|
| 主訴・治療部位 | 右上4番パラインレー近心ひびあり。被せ物治療をご希望。 |
| 治療費用 | 合計:約167,000円 ・内訳 抜歯:約2,000円(保険診療3割負担) ジルコニアクラウンブリッジ:55,000円×3本 (2023年1月現在) |
| 治療期間 | 1カ月 |
| 治療内容 | 右上4番の抜歯と右上3~5番のジルコニアブリッジの作製。 |
| リスク・副作用 | 神経を残して削った歯はしみることがあり、歯を削ったために神経との距離が近くなることが原因。数日でしみる症状は治まるが、1か月以上しみる・かんで痛い場合は、神経の治療に移行することがある。 |
| 治療方針 | 右上4番ひびがあった箇所が食事の際に歯根破折となったため抜歯した後、ブリッジ・入れ歯・インプラントの治療方法があることを説明し、ブリッジを希望された。右上3番~5番をジルコニアブリッジで作製。 |
| 特記事項 | かみ合わせが強い方のため、ナイトガードの使用をおすすめした。 |
| 担当者所見 | 両隣在歯が生活歯だったので抜髄になるリスク説明を十分にし、同意を得た上で処置した。 歯を抜歯することになり、患者さまも大変心配されていましたが、ブリッジにしたことで白くてきれいなものがはいって大変満足されていました。 |
前歯セラミック治療の症例
※ 横にスクロールできます
| 年齢・性別 | 49歳・女性 |
|---|---|
| 主訴・治療部位 | 前歯の色味が気になる 右上1番、左上1番 |
| 治療費用 | 合計:360,050円 ・内訳 ジルコニアボンドクラウン:176,000円×2 仮歯:3,300円×2 レコア(土台形成):1,450円 (2023年9月現在) |
| 治療期間 | 2ヶ月 |
| 治療内容 | 右上1番 左上1番の今まで使っていた被せ物を取り外し左上1番は中に金属の土台が入っていましたのでそのままだどメタルタトゥー(歯ぐきに金属のイオンがとけ出し歯ぐきが黒くなってしまう)の可能性があるため、レジンの土台にしました。 その後型歯ぐきの状態を確認するため一度お時間を1週間ほどおきました。 最終的な被せのもを装着するまでに何もない状態だと生活に支障が出るので仮の被せ物を装着いたしました。 1週間後型取りをし3週間後ほどで技工所さんから最終段階の前の形態、色味の確認の確認をし、色味の調節を行いました。 その後色味を調節して頂き最終的な被せ物を装着いたしました。 |
| リスク・副作用 | 天然の歯を削る可能性がある 割れる欠ける可能性がある ホワイトニングで白くならない 歯周病などで歯ぐきが痩せると隙間ができる可能性がある |
| 治療方針 | すぐにしっかりとセメントでつけるのではなく1ヶ月程外せる仮のセメントで問題ないか生活していてだきます。 1ヶ月後問題なければチェックをして最終的なセメントでつけていきます。 その際にNGの(マウスピース)のお渡し装着をしていきます。 |
| 特記事項 | 矯正治療もされていましたが前歯の治療を開始する前に装置を外し今保定期間のため矯正リコールと定期検診を今後は行っていく |
| 担当者所見 | 仮歯、仮付けの間はフロスを控えるよう説明。
最終的なセメントで付けた後も外れるリスクを下げるため、フロスは引き抜くように使っていただくよう説明。 ナイトガードを使うことで歯ぎしり、食いしばりによる欠けるや取れる等のリスクを軽減する。 また歯ブラシの圧が強かったり、歯ブラシが固いと歯ぐきが痩せて下がることがあります。今の歯ぐきの状態にあわせて作製したセラミックと歯ぐきの間に隙間ができる可能性がある。 そのためブラッシングの圧に気を付け、柔らかめの歯ブラシを使っていただくよう説明。 |
ジルコニアインレー治療の症例
※ 横にスクロールできます
| 年齢・性別 | 33歳・女性 |
|---|---|
| 主訴・治療部位 | 左上6番:定期検診にて虫歯を確認し、治療することになりました。 |
| 治療内容 | 左上6番、定期検診にて虫歯を発見しデンタル、レントゲンにて虫歯をみとめました。 虫歯の治療を行うこととなり虫歯と取りきり、詰め物の型取りを行いました。 ジルコニアの詰め物をつめ処置は終了いたしました。 |
| 治療費用 | ジルコニアインレー:44,000 (2023年1月現在) |
| 治療期間 | 1カ月 |
| 治療内容 | 右上1番 左上1番の今まで使っていた被せ物を取り外し左上1番は中に金属の土台が入っていましたのでそのままだどメタルタトゥー(歯ぐきに金属のイオンがとけ出し歯ぐきが黒くなってしまう)の可能性があるため、レジンの土台にしました。 その後型歯ぐきの状態を確認するため一度お時間を1週間ほどおきました。 最終的な被せのもを装着するまでに何もない状態だと生活に支障が出るので仮の被せ物を装着いたしました。 1週間後型取りをし3週間後ほどで技工所さんから最終段階の前の形態、色味の確認の確認をし、色味の調節を行いました。 その後色味を調節して頂き最終的な被せ物を装着いたしました。 |
| リスク・副作用 | 虫歯が大きい場合、歯の神経の治療に移行することがある。 治療直後は神経の近くを削っているので痛みが出ることがある。 かみ合わせが強い方はつめ物が取れてしまう事がある。 |
| 治療方針 | 治療個所はないので引き続き定期検診でみていく。 |
| 特記事項 | ナイトガードも使えているとのことなので定期検診時にもってきていただき確認していく。 |
| 担当者所見 | 奥歯と歯の間の虫歯になった履歴が多く、詰め物が多くはお口の中に使用されている方となります。 虫歯のリスクも高いので定期検診を受けていただき今の健康な状態をキープしていきましょう。 |
神経の治療 被せ物治療の症例
※ 横にスクロールできます
| 主訴 | 右下6番虫歯がある |
|---|---|
| 年齢・性別 | 20代・男性 |
| 治療期間 | 1ヵ月 |
| 治療内容 | 右下奥歯黒くレントゲンにて虫歯が見つかった。 当初はプラスチックの一日で処置の予定でしたが虫歯を取っていくとかなり進行しており、神経の治療となりました。 根の中を3回かけて清掃し防腐剤を詰め根の治療を終了した。 その後歯の土台をたて形を整え型取り。 白い被せ物(ジルコニアクラウン)を装着し、治療終了となった。 |
| 治療費用 | 合計:82,740円 虫歯を取る治療:約1,770円(保険診療3割負担) 神経の清掃治療初回治療:約2,300円(保険診療3割負担) 神経の清掃治療二回目以降:約350円 二回行った(保険診療3割負担) 神経に防腐剤を詰める治療:約1,320円(保険診療3割負担) 土台を立てる治療:16,500円 型取りジルコニアクラウン:60,500円 (2023年10月現在) |
| リスク・副作用 | 噛む力が強い方の場合、かみ合う相手の歯が削れてしまう可能性があります。 |
| 治療方針 | 治療必要な個所はすべて処置が終了 22歳と若い方なので親知らずが埋まっており、今後は定期検診にて経過観察していく。 |
| 特記事項 | 下顎の親知らずは隣の歯にぶつかるように斜めに生えてきている 神経との距離も近いので症状が出た場合は 大学病院の紹介になる |
| 担当者所見 | 歯周病検査も特に悪いところは見つからないので、今後は虫歯のリスクを下げるためにフロスの併用などおすすめしました。 |
前歯のメリーランドジルコニアとハイブリッド
※ 横にスクロールできます
| 主訴 | 右上1番の欠損補綴と左上1番の折れてしまった切端の形態を修正したい |
|---|---|
| 年齢・性別 | 24歳・男性 |
| 治療期間 | 約3ヶ月 |
| 治療内容 | 右上1番のメリーランドジルコニアと左上1番切端のハイブリッド |
| 治療費用 | 合計:368,500円 ・内訳 骨造成:110,000円 メリーランド仮歯:5,500円 メリーランドジルコニア:220,000円 切端のみハイブリッド:33,000円 (2024年3月現在) |
| リスク・副作用 | ・骨造成の術後、痛みや腫れといった症状が出ます。こちらは個人差もありますが、約1〜2週間程続きます。 痛みは痛み止めでしのげる程度です。 ・個人差がありますが、頬っぺた側に内出血がでることがございます。 ただし約1週間程で消えていくのでご安心ください。 ・上顎の場合鼻の粘膜(上顎洞)に近接しているため、術後に鼻出血をすることがあります。 |
| 治療方針 |
前歯が欠損し、抜けたまま放置してしまうと骨がかなり吸収されてしまうため、すぐに骨造成の外科手術を行いました。 通常であればそのまま骨が出来次第インプラントを埋入するのですが、患者さまの現在の年齢を考えるとまだ顎骨が成長するため、インプラント埋入は5年後が理想です。 しかし5年間仮歯では耐久性が持たないため、ジルコニアの素材にてメリーランドという隣同士の歯の裏で固定する補綴を作製しました。 また左上1番の欠けてしまった部分にはコンポジットレジンでは強度がかなり弱くなってしまう為、ハイブリッド(セラミックとプラスチックの混合物)の素材にて作製した補綴を入れました。 |
| 特記事項 | 急な事故や怪我によって歯を失ってしまうと心配になりますよね。 そんな場合でも一人一人にあった補綴をご提案させていただきます! |
| 担当者所見 | また救急対応後でも紹介状などお持ちいただければ、対応させていただけますので、是非一度ご相談にいらしてください! |
左上2番ジルコニアボンドの症例
※ 横にスクロールできます
| 主訴 | 左上2番の歯が転んで折れてしまったため、被せ物にて直したい |
|---|---|
| 年齢・性別 | 39歳・女性 |
| 治療期間 | 約2ヶ月 |
| 治療内容 | 左上2番ジルコニアボンド |
| 治療費用 | 合計:181,500円 ・内訳 ジルコニアボンドクラウン176,000円×1本 仮歯5,500円×1本 (2024年3月現在) |
| リスク・副作用 | ・仮歯の期間は材質がプラスチックでできている為、取れやすかったり、固いものを食べると壊れてしまうことがあります。 ・最終的な被せ物が入った際には、最初はかみ合わせの高さやきつさに違和感を覚えることがありますが、時間の経過とともに解消されます。 |
| 治療方針 | 左上2番は神経のない歯でしたが、今回の治療開始時に根の先に膿があることがレントゲンにて判明したため、根の治療から行ない、最終的な被せ物を入れていきました。 |
| 特記事項 | 神経の治療をしている歯では、数年後に再び根の先に膿が溜まってしまうことがあります。 そのため被せ物をする前に必ずレントゲンを撮影し、問題ないことを確認してから治療に移行します。 |
| 担当者所見 | 当院ではかみ合せやレントゲンにて確認をしながら被せ物治療を行なっていきます。 症状が気になるけど被せ物にしたい!やりかえたい!という方がいらしゃいましたら、是非一度当院にご相談ください。 |
セラミックインレーの症例
※ 横にスクロールできます
| 主訴 | 主訴:虫歯の治療をしたい。 右下5番 |
|---|---|
| 年齢・性別 | 20代・男性 |
| 治療期間 | 2週間 |
| 治療内容 | 右下5番のセラミックインレー |
| 治療費用 | セラミックインレー1本:60,500円 (2024年6月現在) |
| リスク・副作用 | かむ力が強い方、歯ぎしりをされる方は割れてしまう可能性があります。 |
| 治療方針 | 右下5番に虫歯あり。下の歯は目立ちやすいので審美性の高いセラミックインレーをご希望され、治療を行いました。 |
| 特記事項 | 詰め物や歯を守るため、就寝中は歯ぎしり・食いしばり防止のナイトガード装着をお願いしております。 定期検診(クリーニング)に加え、ナイトガードをご使用いただくことも保証の条件となります。 |
| 担当者所見 | とても自然な仕上がりになり、大変喜んでいただけました。 |
右下7番のジルコニアクラウンの症例
※ 横にスクロールできます
| 主訴 | 主訴:外れてしまった銀歯を治したい 治療部位:右下7番 |
|---|---|
| 年齢・性別 | 40代・男性 |
| 治療期間 | 3週間 |
| 治療内容 | 右下7番のジルコニアクラウン |
| 治療費用 | ジルコニアクラウン 1本…60,500円 (2024年7月現在) |
| リスク・副作用 | かみ合わせが強い方の場合、かみ合う相手の歯が削れてしまうことがあります。 |
| 治療方針 | 以前治療した右下7番の銀歯が外れてしまい、作り直したいとのことでご来院されました。 将来的にご自身の歯をできるだけ残したいとのことで、ジルコニアクラウンをご提案し、治療していくことになりました。 |
| 特記事項 | 銀歯の寿命は平均5年です。 保険適用のため銀歯は安価ですが、再度虫歯になるリスクや、また外れて作り直しになることも多々あります。 作り直しになれば、その度に自分の歯を削る必要があります。 一方でジルコニアクラウン等の自費の被せ物は寿命が平均10年。 外れにくく、再度虫歯になるリスクも低いです。 1本の歯に対して治療できるのは最大5回までと言われているため、治療の回数を減らせれば、残せる歯の本数も増えます。 ※ジルコニアクラウンは2年間の保証があります。 |
| 担当者所見 | 下顎の歯だったため、人と話していると銀歯が目立つことも気になっていたそうです。 白い被せ物に替えたことで、審美性にも大変ご満足いただき、次回は手前の右下6番の銀歯を、同じくジルコニアクラウンにやり替えることになりました。 |
ジルコニアインレーの症例
※ 横にスクロールできます
| 主訴 | 左下6番 |
|---|---|
| 年齢・性別 | 40代・男性 |
| 治療期間 | 約2週間 |
| 治療内容 | ジルコニアインレー |
| 治療費用 | ジルコニアインレー 49,500円 (2024年7月現在) |
| リスク・副作用 | セットした直後は、噛み合わせが高い・きついなどの違和感を覚えることがあります。 深い虫歯を治療した場合は、セット後もしみる・噛んだ時に痛むなどの症状が出ることがあります。 |
| 治療方針 | 定期検診の際にレントゲンを撮ったところ、虫歯になっていたため治療を行いました。 |
| 特記事項 | 定期検診とホワイトニングで通っていただいてる患者さまです。 |
| 担当者所見 | 詰め物の説明をしたところ、銀歯は見た目が気になるという意見いただきました。 奥歯ということで食いしばりもあるためジルコニアインレーを提案し、治療を行いました。 |
ジルコニアボンドの症例
※ 横にスクロールできます
| 主訴 | 上顎左右1番保険の被せ物からセラミックにやりかえたい |
|---|---|
| 年齢・性別 | 60代・女性 |
| 治療期間 | 約6ヶ月 |
| 治療内容 | 右上1番はジルコニアボンドにてやりかえ、左上1番は歯根破折のため抜歯し即時にてインプラント埋入していく。 完成は審美的に左右の色やバランスを合わせるため、完成を同時に行っていきました。 |
| 治療費用 | 合計:815,500円 ・内訳 左上1番インプラント診断・埋入料(1本)・仮歯・ジルコニアボンド:486,000円 骨補填材費用(GBR法):108,000円 サージカルガイド(補助装置):54,000円 右上1番ジルコニアボンド:162,000円 右上1番仮歯:5,500円 (2019年11月現在) |
| リスク・副作用 |
・被せ物の仮歯の期間は材質がプラスチックでできている為、取れやすかったり、固いものを食べると壊れてしまうことがあります。 ・最終的な被せ物が入った際には、最初はかみ合わせの高さやきつさに違和感を覚えることがありますが、時間の経過とともに解消されます。 ・インプラント埋入するために、外科的な処置が必要となります。その為、一過性、場合によっては持続的に、唇・舌・頬・口蓋・歯肉・歯牙等の感覚麻痺、切開に起因する瘢痕組織による近く異常が起こる可能性があります。 ・インプラント手術時に、ドリルの様な器具を使用する為、接近歯の損傷が起こることもあります。 ・インプラント体と骨との結合不全が起こる可能性があります。その場合は治療期間が伸びることがあります。 ・インプラント埋入手術は複雑であり、結果が予想通りに成功しない場合があります。しかしインプラントを受けられる皆様に作製しているサージカルガイド(補助装置)の使用により、そのようなリスクが軽減されています。 ・術後、痛みや腫れといった症状が出ます。こちらは個人差もありますが、約1〜2週間程続きます。痛みは痛み止めでしのげる程度です。 ・人によっては頬っぺた側に内出血がでることがございます。ただ約1週間程で消えていくのでご安心ください。 ・ソケットリフトによって骨造成を行った場合、鼻出血する場合があります。術後は鼻を強くかまないようにしていただきます。 |
| 治療方針 | インプラント体が周りの骨と定着するまで時間がかかるため、先にインプラントを埋入し、被せ物とインプラントの被せ物は同時に完成していきました。 |
| 特記事項 | 皆さんはこちらの写真を見てどちらがインプラントでどちらが通常の被せ物かお分かりですか? |
| 担当者所見 | 今回は被せ物とインプラントの被せ物を同時に完成したので、色味も揃っておりかなり綺麗ですよね! さらに歯ぐきからの立ち上がりもかなり自然だと思います。 どの部位のインプラントもそうですが、インプラント埋入する場合は事前に埋入位置を設計し、歯茎からの立ち上がり・噛み合わせ等を考えインプラントの種類など選択させていただきます。 また前歯のインプラントの場合は、外科処置後骨との固定期間(約4ヶ月)の間見た目にひびかないように仮歯も用意させていただきます。 前歯のインプラント考えられてる方、相談したい方はぜひ一度ご相談ください! |
ジルコニアインレーの症例
※ 横にスクロールできます
| 主訴 | 左上5番定期検診にて歯が欠けていることを発見しました。 治療を行うこととなり、これを機に白い材料に替えたいとのことでした。 |
|---|---|
| 年齢・性別 | 30代・女性 |
| 治療期間 | 2週間 |
| 治療内容 | 定期検診にて歯が欠けていることを確認し、治療を行うこととなりました。 これを機に白い材料に替えたいとのことで元々の金属を除去し、詰め物の型取りを行いました。 型取りを行い作製されたジルコニアの詰め物をセットしました。 |
| 治療費用 | ジルコニアインレー49,500円 (2024年8月現在) |
| リスク・副作用 | 虫歯が大きい場合、歯の神経の治療に移行することがある。 治療直後は神経の近くを削っているので痛みが出ることがある。 かみ合わせが強い方は詰め物が取れてしまう事がある。 |
| 治療方針 | NGも毎日使えているとのことなので定期検診時にもってきていただき確認していく。 |
| 特記事項 | 右下の7番6番はインプラントが埋入されており、また今回治療した歯のかみあう歯にもジルコニアの詰め物が入っていたりと、治療履歴の多い方です。 今後も検診を行っていきます。 |
| 担当者所見 | 治療歴は多いですが、プラークコントロールもよくNGも毎日使用できているので今の健康な状態をキープしていきましょう。 |
ジルコニアクラウンの症例
※ 横にスクロールできます
| 主訴 | 左上6番欠けてしまったため治療したい。 |
|---|---|
| 年齢・性別 | 30代・女性 |
| 治療期間 | 2週間 |
| 治療内容 | 左上6番の歯の形を整え型取り 被せ物は、技工所に製作を依頼して1~2週間程で完成します。 出来上がった被せ物をお口の中につけていきます。 |
| 治療費用 | ジルコニアクラウン60,500円 (2024年8月現在) |
| リスク・副作用 | 噛む力が強い方の場合、かみ合う相手の歯が削れてしまう可能性があります。 |
| 治療方針 | ナイトガードを毎日使えているとのことなので定期検診時にご持参いただき確認していく。 |
| 特記事項 | 元々他院で根管治療を行いコンポジットレジンで補強されていました。 神経の無い歯にレジンが継ぎはぎのような状態で詰められていたため欠けてしまったのではないかと考えられます。 そのためコンポジットレジンで再度詰めなおすのではなく、形を整え被せ物という治療を選択しました。 |
| 担当者所見 | プラークコントロールもよくなり、ナイトガードも毎日使用できているので今の健康な状態をキープしていきましょう。 |












































































































