・ 出っ歯が気になる
・ すきっ歯が気になる
・ 歯の色が気になる
・ 歯並びが気になる
・ 歯が長い
・ 歯が大きい
・ 噛み合わせが気になる
・ 詰め物が多くて気になる
・ 芸能人のようなキレイな歯になりたい
セラミッククラウン
※最新の価格とことなる場合があります。詳しくは料金表をご確認ください
目次
セラミッククラウンについて動画で解説
「タップで再生」
※音が出ますのでご注意ください。
セラミッククラウンとは何か、材質についてなど、詳しくご説明した動画です。ぜひご覧ください。
渋谷歯科セラミック治療の
特徴
とにかく真面目に真摯に正直にセラミック治療に取り組んでいます。セラミック矯正と呼ばれる治療は、行っておりません。
セラミッククラウン保証期間は、1年間ではなく2〜5年間になるので安心できます。短期間で削って被せるではなく、患者さんが納得してからかぶせ物をセットしますので長期間かかる場合があります。
仮歯の調整に時間をかけます。仮歯がいかに最終形態に近いかがセラミック治療成功の秘訣になります。そのため、仮歯を何度か作り直す事もあります。矯正治療が必要な場合もあります。
セラミック治療をして後悔しないように、デメリットに関しても説明します。セラミックを長期間維持するために、歯ブラシやフロスやナイトガードの使用に関しても必ず指導します。
かぶせて終わりの治療は、行っていません。現在のところ前歯で1番自然感があるクラウンは、ジルコニアボンドクラウンです。奥歯で機能や自然感や強度を重視したクラウンは、ジルコニアステインクラウンです。
診断時にセラミック治療で長期間保たない・治らないと判断した場合は、真摯にお断りすることがあります。
こんな歯の悩みあり
ませんか?
渋谷歯科のこだわり
- 診査・診断・カウンセリングに時間をかけます。
- スピードではなく、確実で確かなセラミック治療を提供しています。
- 仮歯調整で歯肉の状態や歯の形にこだわります。
- 噛み合わせや機能にこだわります。
- 歯だけではなくお顔や目とのバランスにこだわり
ます。 - 歯肉の高さにもこだわります。
- 2〜5年間保証です。
セラミッククラウンの種類と
特徴?
ジルコニアボンドクラウン
ジルコニアフレームの上にセラミックを築成した作りとなります。前歯のセラミッククラウンの中では、ダントツ1番人気で自然感があり透明感があり耐久性があり3拍子整ったかぶせ物となります。
ジルコニアステインクラウン
ジルコニアのフレームに着色で色付けを行うセラミッククラウンになります。ジルコニアの表面に色付けを行いますので、自然感や透明感に少しかけるといった感じです。しかし、強度や耐久性がありますので、奥歯などでは非常に重宝されるかぶせ物になります。
ジルコニアクラウン
ジルコニアクラウンは、ジルコニアブロックを削り出して研磨したかぶせ物になります。そのため、色が単色なのが問題点としてあります。見た目を気にされる方は、前歯でこの材料を選択されることはないと思います。強度や耐久性は、ピカイチですので奥歯で選択される方が非常に増えています。
セラミッククラウン
セラミックのかぶせ物は、歯科技工士が作製します。歯科技工士にもレベルがあるってご存知でしょうか?セラミッククラウンを作製する歯科技工士は、日本でも指折りの匠となります。
また、見た目だけなく機能も備えたセラミッククラウンを作製しますので、長持ちするかぶせ物を作製してくれます。前歯だけではなく奥歯など複数本の治療を同時に行うときなどは、ベテラン歯科技工士の経験が物を言います。
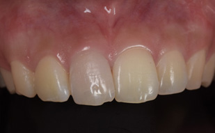
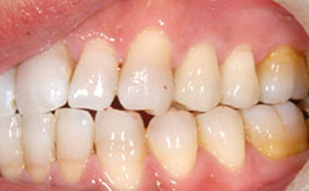
セラミッククラウン治療とは?
セラミッククラウン治療①
現在の治療費と異なる場合がございます。最新の治療費は料金表をご確認ください。
虫歯や事故で差し歯になった形や色が悪いかぶせ物(クラウン)をセラミックのかぶせ物(クラウン)に置き換える治療です。
※ 横にスクロールできます
| 年齢・性別 | 38歳・女性 |
|---|---|
| 主訴 | 前歯の歯茎の色が気になる |
| 治療方針 | 仮歯装着してから、かみ合わせ、歯ぐきの形などの見た目に問題ないことジルコニアセラミック装着 |
| 治療内容 | 右上1、左上1、左上2レジン前装冠除去→仮歯装着→ジルコニアセラミック装着 |
| 治療費 | 仮歯代5,500円×3 ジルコニアボンド165,000円×3 |
| 治療期間 | 1ヶ月 |
| リスク・副作用 | 元々入っていたかぶせ物の下に虫歯があった場合、歯が割れることや抜歯になることがあります。 噛みあわせが強い方は外れたり欠けたりする可能性があるので、日中や夜間のマウスピース装着が必須となります。 |
セラミッククラウン治療②
現在の治療費と異なる場合がございます。最新の治療費は料金表をご確認ください。
虫歯で大きな詰め物(CR)や着色した詰め物(CR)をセラミックのかぶせ物(クラウン)に置き換える治療です。
※ 横にスクロールできます
| 年齢・性別 | 32歳・女性 |
|---|---|
| 治療期間 | 1ヶ月 |
| 治療内容 | オフィスホワイトニング、 オールセラミック |
| 治療本数 | 4本 |
| 治療費用 | オフィスホワイトニング:55,000円(税込) +オールセラミック:110,000円(税込)×4本 |
| 副作用等 | ホワイトニングについて効果には個人差があります。 術後、知覚過敏が生じることがありますが、ほとんどの場合 1〜2日で治まります。既存のつめ物、かぶせ物は白くなりません。 効果は永久的ではなく、徐々に色戻りします。 オールセラミックについて•••噛む力が強い方の場合、 セラミックが外れたり歯が欠けたりする可能性があるため、 夜間にマウスピースを装着する必要があります。 |
セラミッククラウン治療③
現在の治療費と異なる場合がございます。最新の治療費は料金表をご確認ください。
出っ歯やすきっ歯や歯並びをセラミックのかぶせ物(クラウン)を用いて見た目を改善する治療
です。
※ 横にスクロールできます
| 年齢・性別 | 26歳・女性 |
|---|---|
| 治療期間 | 3ヶ月 |
| 治療内容 | ホームホワイトニング、 オールセラミック |
| 治療本数 | 6本 |
| 治療費用 | ホームホワイトニング:11,000円(税込) +オールセラミック:110,000円(税込)×6本 |
| 副作用等 | ホワイトニングの効果には個人差があります。 術後、知覚過敏が生じることがあります。 ホワイトニングを継続せず辞めてしまうと、 セラミック以外の自分の歯の色が後戻り することがあります。 噛む力が強い方の場合、セラミックが 欠けてしまうことがあるので、 就寝時にマウスピースを装着する 必要があります。 |
セラミッククラウン治療④
現在の治療費と異なる場合がございます。最新の治療費は料金表をご確認ください。
歯を以前にぶつけたことにより、色が変色して黒くなった歯を、セラミックのかぶせ物(クラウン)で見た目を改善する治療です。
※ 横にスクロールできます
| 年齢・性別 | 20代・女性 |
|---|---|
| 主訴 | 右上1の審美障害 |
| 治療内容 | ジルコニアボンド |
| 治療期間 | 1ヶ月 |
| リスク・副作用 | 歯の破折 |
| 治療費用 | 165,000円 |
| 副作用等 | かみ合わせがとても強い方の場合、 稀に割れてしまうことがあります。 |
| 治療方針 | まずは仮歯を入れながら形、機能面を精査。 その後問題がなければ最終的な被せ物の 型取りと色合わせをしていき、 仮の接着剤で しばらく過ごしていただく。 日常生活に問題がなく、審美的にも満足して いただけたら最終的な接着剤で装着。 |
| 特記事項 | 仮歯の期間は患者様のお口の中の状態で 変わってきます。 |
| 担当者所見 | 前歯をぶつけ、神経が死んでしまった ため黒くなってしまった症例になります。 元々の歯がかなり白く綺麗であったため 審美面での調整が難しいケースになりましたが 最終的に満足していただくことができました。 |
セラミッククラウン治療⑤
現在の治療費と異なる場合がございます。最新の治療費は料金表をご確認ください。
奥歯の銀歯(クラウン)をセラミックのかぶせ物(クラウン)に置き換える治療です。
※ 横にスクロールできます
| 年齢・性別 | 42歳・男性 |
|---|---|
| 治療期間 | 3週間 |
| 治療内容 | ジルコニアボンド |
| 治療本数 | 1本 |
| 治療費用 | ジルコニアボンド:165,000円(税込) |
| 副作用等 | かみ合わせがとても強い方の場合、 外れたり欠けたりする可能性があるため、 夜間にマウスピースを装着する必要があります。 |
セラミッククラウン治療⑥
現在の治療費と異なる場合がございます。最新の治療費は料金表をご確認ください。
長年の保険治療により、噛み合わせが凸凹になってしまった歯をセラミックのかぶせ物(クラウン)で整える治療です。
※ 横にスクロールできます
| 年齢・性別 | 41歳・男性 |
|---|---|
| 治療期間 | 3ヶ月 |
| 治療内容 | オールセラミック・ ジルコニアボンド |
| 治療本数 | 17本 |
| 治療費用 | オールセラミック:110,000円(税込)×12本 +ジルコニアボンド:165,000円(税込)×5本 |
| 副作用等 | かみ合わせがとても強い方の場合、 稀に割れてしまうことがあります。 |
渋谷歯科のセラミック
クラウン治療が選ばれる
理由
- 仮歯へのこだわりで歯肉の仕上がりが違う
- 歯ぐき成形手術で歯肉の高さを揃えることが
できる - 時間はかかるが納得して仕上げることができる
- 安かろう悪かろうではなく、品質が良く確かな治療を行っている
- ホワイトニングとセラミックのコラボレーション治療を得意としている
- 歯ブラシ・フロス・ナイトガードの指導もしてくれる
セラミッククラウンの比較
※ 横にスクロールできます
| 人気No1 ジルコニア ボンド クラウン |
コスパNo1 ジルコニア ステイン クラウン |
強度No1 ジルコニ アクラウン |
セラミックの 最高峰 セラミック クラウン |
|
|---|---|---|---|---|
| 写真 | ![]() |
![]() |
![]() |
![]() |
| 見た目 | ☆☆☆☆☆ | ☆☆☆ | ☆☆ | ☆☆☆☆☆ |
| 透明感 | ☆☆☆☆☆ | ☆☆☆ | ☆ | ☆☆☆☆☆ |
| 自然感 | ☆☆☆☆☆ | ☆☆☆☆ | ☆☆ | ☆☆☆☆☆ ☆☆ |
| 耐久性 | ☆☆☆☆☆ | ☆☆☆☆☆ | ☆☆☆☆☆ | ☆☆☆☆☆ |
| 精度 | ☆☆☆☆☆ | ☆☆☆☆☆ | ☆☆☆☆☆ | ☆☆☆☆☆ |
| 連結 | 可 | 可 | 可 | 可 |
| 汚れ | つきにくい | つきにくい | つきにくい | つきにくい |
| 金属使用 | なし | なし | なし | なし |
| 臭い | なし | なし | なし | なし |
| 保険適用 | なし | なし | なし | なし |
| 値段 | 187,000円 | 132,000円 | 77,000円 | 132,000円 |
| 保証 | 5年 | 5年 | 5年 | 10年 |
お悩みから探す
1. 歯の色が1本気になる?
実は1本の歯が気になると言った場合に周りの歯に色を合わせてセラミックのクラウンを製作するのは、非常に難しいです。そのため、歯の色に自然感を与えて透明感を持った天然の歯に近い色合いを出すには、ジルコニアボンドクラウンがベストになります。
2. 歯が欠けてしまった
歯が欠けるという事は、歯軋り・食いしばりが夜間にしている可能性が高いですので、見た目よりも強度や耐久性を重視したいです。また、前歯ということありますので、見た目もそこそこ重視したいと考えるとジルコニアステインクランが最適なかぶせ物となります。また、セラミック治療をした後には、ナイトガードが必須になると思います。
3. 前歯だけでなく奥歯も6本くらいかぶせ物でしっかりと治す必要がある
前歯以外にも奥歯のかぶせ物を数本治療する必要があるという場合、噛み合わせにも問題が多くあると思われます。
このような場合、削ってかぶせて終わりという治療では、予後が悪いことが予想されます。噛み合わせを重視した仮歯を数回作り直し、最終的に噛み合わせに問題ないことを確認してからセラミックのかぶせ物を製作する必要があると思います。
このような場合は、セラミッククラウンでベテラン歯科技工士によりしっかりと噛み合わせを構築してからのセラミッククラウンが1番ベストだと思います。
4. コスパ良くとにかく白くしたい
セラミッククラウンを安く仕上げたい場合、答えはジルコニアクランしかありません。ジルコニアクラウン自体は、強度も耐久性もありますので、問題は、天然の歯のようなグラデーションのある色になりますが、ジルコニアクラウンは単色になります。そのため、真っ白といった統一感のある色で良いならば適応となります。
特徴から探す
- 白く美しい歯を手に入れたい ジルコニアボンドクラウン:白く美しいといった際に、人により白色が違います。天然の歯のように白く美しくと言った場合は、ジルコニアボンドクラウンが再現性高いと思います。
- 見た目だけではなく、全顎的な噛み合わせを治したい セラミッククラウン:全顎的な治療が必要な場合に、日本トップクラスの歯科技工士とコラボして前歯だけではなく、全顎的な検査をしてから治療に臨みます。最終的な仕上がりも噛み合わせと見た目を兼ね備えたかぶせ物が出来上がります。
- 長く持つセラミックを手に
入れたい 材料として考えるとジルコニアは、特に経年劣化の少ない材料となります。そのため、ジルコニクラウン・ジルコニアステインクラウンは、かぶせ物の寿命が非常に長いと思います。
一方で機能という観点から考えますとセラミッククラウンは、顎と口とのバランスを考えて作製するので、機能といった面で非常に長持ちするかぶせ物になると思います。
見た目の長持ちと考えるとジルコニボンドクラウンになると思います。ジルコニフレームの上にセラミックを築成するので、透明感や自然感があり、その状態が長く維持されます。
セラミックの寿命
- 安いセラミック治療をしたい
誰しもが安くて良いものを手に入れたいと思う物です。私もその1人ですが、セラミックの場合は、安いには安い理由があります。例えば、ジルコニアクラウンは、ブロックを削り出した後に色付けなどの作業がありませんので、値段が下がります。
それに対して、ジルコニアステインクラウンは、ジルコニアのブロックを削り出した後に色付けを行いますので、作業が増える分値段も高くなります。
ジルコニアボンドクラウンは、ジルコニアのフレームを削り出した後に、セラミックを手作業で盛り上げて、釜に入れて焼成という作業を繰り返しますので、時間も手間もかかりまので、値段も高くなります。
安いセラミック
セラミッククラウン治療の
流れ
すぐに削ってかぶせ物をセットするような治療は行いません。しっかりと資料を採得して、目やお顔やお口全体とバランスのとれたセラミック治療をするためにどうすれば良いか?を考えてから進めて行きます。
- DAY1:各種資料採得
- DAY2:カウンセリング
- DAY3:仮歯セット
- DAY4:仮歯調整
- DAY5:最終的な型採り
- DAY6:試適
- DAY7:完成
基本的なセラミック治療の流れになります。最低でも2〜3ヶ月の期間を要する事が多いです。
これらの流れに歯肉成形手術や仮歯調整や根の治療などが必要な場合もあります。そもそもですが、削って型を採って次回完成という治療では、良い結果がでないということを長年の経験で理解しています。短期間での治療は行っておりませんので、ご理解のほど何卒よろしくお願いします。
DAY1
調和したセラミック治療を行うために、各種資料(口腔内写真、顔貌写真、模型用型採り、レントゲン写真)採得します。
DAY2
カウンセリングでは、現在の問題点や治療方針に関して説明を行います。
最終的なセラミックの形(診断用ワックスアップ1本1,100円)なども確認して納得してもらってから治療のスタートとなります。
DAY3
歯を削って仮歯をセットします。
DAY4
歯茎の高さを揃える希望がある場合は、小手術を行います。
DAY5
仮歯の調整を行います。形態や歯肉とのマッチングなどを1つ1つチェックします。
DAY6
仮歯の形態に納得してから、最終的な型採りを行います。
試適を完成の前に必ず挟んで噛み合わせや形の確認を行います。
DAY7
完成してから仮づけをして、問題ないことを確認してから、本づけとなり
ます。
セラミッククラウンどれが
良いの?
動画で分かるセラミッククラウンの選び方!
「タップで再生」
※音が出ますのでご注意ください
セラミック保証制度
安心してセラミック治療を受けてもらうために、保証制度を設けています。
半年に1度の定期検診でクリーニングを受けていることが条件となりますが、クラウン・ブリッジを装着より5年間ジルコニアクラウン2年間は、生じた不具合について無償にて保証します。
夜間に歯ぎしり・食いしばりが強い方は、ナイトガードの装着が条件となってきます。かぶせ物の返金は行っておりません。
セラミック料金表
※ 横にスクロールできます
| 内容 | 費用 |
|---|---|
| 歯のシュミレーション | 1歯:1,100円 |
| 歯の神経治療 | 1根:11,000円 |
| 仮歯(テック) | 1本:5,500円 |
| 仮歯調整料 | 1本:1,100円 |
| 仮歯(プロビ) | 1本:8,800円 |
| 歯茎成形手術(※1) | 11,000円 |
| 土台 | 1本:16,500~24,200円 |
| 土台除去(※2) | 1本:11,000円 |
| 技工士立会 | 1回:11,000円 |
| セラミッククラウン | 1本:132,000円 |
| ジルコニアボンドクラウン | 1本:187,000円 |
| ジルコニアステインクラウン | 132,000円 |
| ジルコニアクラウン | 77,000円 |
※1 歯茎成形手術:歯ぐきの位置や形態などを成形します。
リスク・副作用
・歯ぐきが下がってしまう恐れがあります。
・歯ぐきが理想的な形態にならないことがあります。
※2 土台除去:金属または、ファイバーの土台を除去します。
リスク・副作用
・土台除去の際に、歯の根が割れることがあります。
・土台除去の際に、歯の根に穴が開くことがあります。
・根管治療が必要な場合があります。
・土台の長さにもよりますが、あまりにも長い土台は除去できない時があります。
セラミックQ&A
- 痛みに弱いのですが、麻酔を倍にしてもらえますか?
- 初めにドクターに伝えるようにして頂ければ、麻酔の量を増やすことは可能です。また、時間をかけて麻酔をすることで、麻酔の効きもよくなりますので、お気軽にご相談ください。
- なぜ?短期間でのセラミック治療を行っていないのですか?
- 短期間で歯を削って直ぐに型を採って完成させると多くの場合で歯肉が下がったり上がったり、また、形態に不満が出たり、噛み合わせに問題が出たり、歯肉炎症が強かったりして、絶えず出血がある状態のセラミッククラウンが完成してしまいます。
これまでの経験を踏まえると歯肉から出血がなくなるまで、仮歯の調整を行い。噛み合わせをしっかりと合わせてから完成へ向かう必要があります。
- 痛んだり・腫れたりしますか?
- 痛みを伴う治療は、少ないです。その代わり、歯の神経の治療をしたり、歯肉整形手術を行った際は、痛みを伴うことがあります。治療後は、痛み止めを出しますので安心してください。
セラミック症例
現在の治療費と異なる場合がございます。最新の治療費は料金表をご確認ください。※ 横にスクロールできます
| 主訴 | 前歯を美しくしたい |
|---|---|
| 年齢・性別 | 20代 女性 |
| 治療期間 | 4ヶ月 |
| リスク・副作用 | 噛む力が強い方の場合、セラミックが欠けてしまうことがあるので、就寝時にマウスピースを装着していただく必要があります。 |
| 治療内容 | 歯肉成形手術、ラミネートベニア、 ジルコニアボンドクラウン |
| 治療本数 | 4本 |
| 治療費用 | シュミレーション:1,100円×4本 仮歯(テック):2,750円×4本 仮歯(プロビ):5,500円×4本 歯肉成形手術:11,000円×4本 ラミネートベニア:110,000×2本 ジルコニアボンドクラウン:165,000円×2本 |
| 治療方針 | 歯肉の高さを合わせて、歯の軸も 両目に合わせて真っ直ぐと治す |
| ドクターのコメント | 前歯をキレイに大きく見せたい というリクエストがあったので、 初めの診断用WAXUPよりも最終的な セラミッククラウンの形態は、 大きく見せることとなった。 歯肉成形手術も行い高さを 前歯2本は揃えることができた。 本人納得の上で本づけとなったので、 非常に満足した結果となった。 |
まとめ
セラミッククラウンについて説明しましたが、いかがでしたか?
自分にとってどのセラミッククラウンが良いのか?は、なかなか判断つきにくいですね。まずは歯科医院を受診して自分にとってどのセラミッククラウンが良いのか?を歯科医師よりアドバイスをもらい。
また、予算に関しても気になると思いますので見積もりを見て判断をすると良いと思います。
もし、予算がオーバーしており自分の希望するセラミッククラウンを選択できない場合は、安いセラミッククラウンを選択するのではなく、自分の希望するセラミッククラウンの予算が貯まるまで待ってから治療を進めた方が良いです。
ましてや保険で前歯のクラウン治療を進めてもあまり納得の行く結果が得られることは少ないでしょう。
また、短期間でのセラミッククラウン治療は、おすすめしません。ほぼ良い結果が得られないでしょう。
歯肉の成熟やセラミッククラウンとのギャップなど様々な問題が起こりますので、仮歯でしっかりと調整を行い納得の上で最終的な型採りを行う流れがベストです。


















