セラミック治療とは? | 渋谷歯科 | 平日夜7時・土日も診療の渋谷の歯医者

セラミック治療とは?

セラミック治療について

セラミック治療と聞いて、どのような治療なのかを患者さんで答えられる方は、非常に少ないです。また、多くの方がインプラントとセラミックを勘違いされており、芸能人の歯を見てどうせインプラントでしょ!という会話を聞くことが非常に多いです。

ということで今回セラミック治療に関して、非常に分かり易く皆さんに説明したいと思います。

さし歯とインプラントの違い

ここで皆さんにさし歯とインプラントの違いを分かり易く説明しますね。図を見ると皆さんよく分かると思います。さし歯は、天然の歯で、インプラントは、人工歯根(ネジ)です。

つまり、歯の根を失ってるか?失ってないか?でさし歯なのか?インプラントなのか?が決まって来ます。ここが大きな違いになります。

セラミック治療方法

セラミック治療の方法は、患者さんのお口の状態により千差万別です。一般的な方法としては、歯を削ってセラミックの歯をかぶせるという“かぶせ物”と呼ばれている方法になります。また、この“かぶせ物”を“差し歯”とも呼びます。以前は、“セラミック治療”のことを良く“差し歯”とも呼びました。

セラミック治療の中にも、例えば、歯の表面だけを削ってセラミックを貼り付けるラミネートベニアという方法もありますし、銀歯の詰め物を白いセラミックインレーに置き換える治療もセラミック治療になります。

色々なセラミック治療があるんですね。なのでセラミックインレー・セラミッククラウン・セラミックブリッジ・ラミネートベニアというセラミックの代表的な治療方法を説明します。

セラミックインレー治療

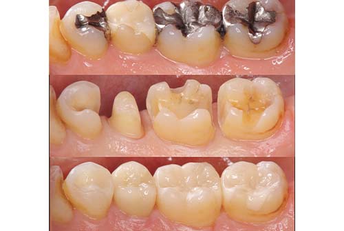
セラミックインレーとは、皆さんが良く呼ぶ“つめ物”だと思ってください。

上段の写真は、銀歯のつめ物が入っている状態になります。
中段の写真は、銀歯を削りとった状態になります。
下段の写真は、セラミックのつめ物をセットした状態になります。

インレーとは、歯全体を削ってかぶせるクラウン治療と違い、一部分だけを削ってつめる治療方法になります。日本人の多くは、保険診療の場合は銀歯のつめ物をしますので、日本人は、笑った時に銀歯が目立つと言われる訳です。このセラミックインレーの治療は、保険診療ではなく保険外診療になります。

セラミッククラウン治療

セラミッククラウン治療は、歯を削ってさし歯をかぶせるという1番セラミックのオーソドックスな治療方法になります。

歯を均一に全周削り、型をとってセラミッククラウンのかぶせ物を作製して、セメントでかぶせ物をセットします。クラウンは、皆さんも良くご存知なトヨタのクラウンという車のロゴマークが王冠ですよね。簡単に言えば王冠(クラウン)を頭にかぶせる治療になります。

動画をご覧頂くとよく分かると思いますが、歯の色や形は、天然の歯を模倣できますので、自然な仕上がりとなります。

セラミックブリッジ治療

ブリッジは、最低でも2本の歯を削り、かぶせ物で橋渡しをする治療になります。以前は、強度的な問題で、セラミックでブリッジをすることができなかったので、金属を用いていましたが、白いダイヤモンドと呼ばれる“ジルコニア”という材料が登場したことにより、セラミックでも積極的にブリッジ治療を行うようになりました。

動画見ると歯を失った両隣の歯を全周削っています。そうすることで、かぶせ物が上からストンと入りやすい形態になります。ブリッジは2本の歯の平行性や傾きなどを全て考慮した上で、削って型を取りますので、少し治療のハードルが高くなります。

ラミネートベニア治療

ラミネートベニアは、歯の表面を一層削って付け爪のようなセラミックを貼り付けるという手法になります。

1番の利点は、歯を削る量が少なく全周に渡って歯を削らなくて良いので、歯へのダメージが少ないという点になります。患者さんからは、どうしても外れてしまわないのか?という質問を多く受けますが、実は私(理事長)もラミネートベニアをしているのですが、今までに外れそうになったり外れたことは、1度もありません。

関連ページ