セラミックの歯で
何ができるの?
現在の治療費と異なる場合がございます。最新の治療費は料金表をご確認ください。
目次
セラミックで歯の長さを
変えれますか?
※ 横にスクロールできます
| 年齢・性別 | 20代・女性 |
|---|---|
| 治療期間 | 2ヶ月 |
| 治療内容 | ジルコニアボンドクラウン×2本 |
| 治療本数 | 2本 |
| 治療費用 | 合計:346,500円 ■内訳 ジルコニアボンドクラウン×2本(165,000円×2) 仮歯(テック)2,750円×2本 仮歯(プロビ)5,500円×2本 |
| リスク・副作用 | 歯ぎしり・食いしばりにより、割れてしまうことが ありますので、マウスピースの装着が必要になります。 セラミックは、一生ものではなく寿命が来たら 作り直す必要があります。 |
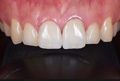
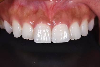
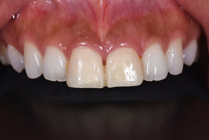
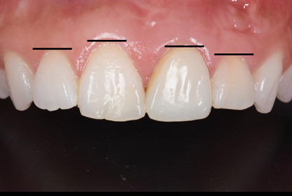
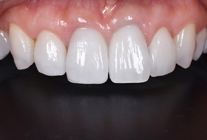
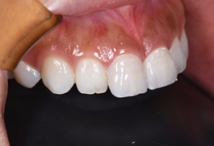
患者様の主訴は、「前歯の2本が長いので短くしたい。」でした。
セラミックでは、いつも試適と言われる作業が入ります。仮歯で調整するのは、もちろんですが、最終的なセラミックの歯が完成する一歩手前で試適という作業を入れると最終的なセラミックのかぶせ物がどのような長さで完成するか?を確認することができるので、必ず行った方が良いです。
その代わりアポイントが1回増えますので、ご理解の方よろしくお願いします。
セラミックで歯の幅を
変えたい
※ 横にスクロールできます
| 年齢・性別 | 30代・女性 |
|---|---|
| 治療期間 | 4ヶ月 |
| 治療内容 | 歯肉弁根尖側移動術で歯ぐきの位置を移動させます。×4 ラミネートベニア×2本 ジルコニアボンドクラウン×2本 |
| 治療本数 | 4本 |
| 治療費用 | 合計:621,500円 ■内訳 歯肉弁根尖側移動術(44,000円) ラミネートベニア×2本(110,000円×2) ジルコニアボンドクラウン×2本(165,000円×2) 仮歯(テック)2,750円×2本 仮歯(プロビ)5,500円×4本 |
| リスク・副作用 | 歯ぎしり・食いしばりにより、割れてしまうことがありますので、マウスピースの装着が必要になります。 セラミックは、一生ものではなく寿命が来たら作り直す必要があります。 歯肉弁根尖側移動術は歯ぐきが下がってしまう恐れがあります。また、歯ぐきが理想な位置とならないことがあります。 |
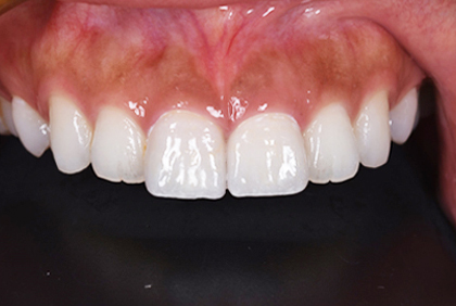
患者様の主訴は、「歯の幅を大きくしたい」でした。2022年現在、モデルさんや女優さんの多くは歯が大きい方が主流となっています。
やはり笑った時に、前歯が白く大きい方が清潔感を与えられることから、少し大きめの前歯が人気となっています。
この患者さんも歯の幅を大きくすることに、半信半疑でしたが仮歯を入れてみて、この方が良いということで、最終的なセラミックを入れる前に試適を挟んで完成となりました。前歯4本を削り型を採って、仮歯で大きさを調整した後に、最終的な型採りをして完成となり、最終的なセラミックのかぶせ物に大変満足されていました。
歯の幅を変えるということで、今回は幅を増したわけですが、通常、大きく見せるよりも「小さくしたいという患者さんが多いですが、実際は、ある程度大きく主張した方が綺麗に見える場合が多い
です。
すきっ歯を埋められるのか?
※ 横にスクロールできます
| 年齢・性別 | 20代・女性 |
|---|---|
| 治療期間 | 2ヶ月 |
| 治療内容 | ジルコニアボンドクラウン×2本 |
| 治療本数 | 2本 |
| 治療費用 | 合計:346,500円 ■内訳 ジルコニアボンドクラウン×2本(165,000円×2) 仮歯(テック)2,750円×2本 仮歯(プロビ)5,500円×2本 |
| リスク・副作用 | 歯ぎしり・食いしばりにより、割れてしまうことが ありますので、マウスピースの装着が必要になります。 セラミックは、一生ものではなく寿命が来たら 作り直す必要があります。 |
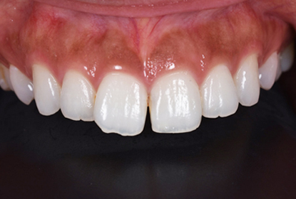
初診時
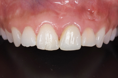
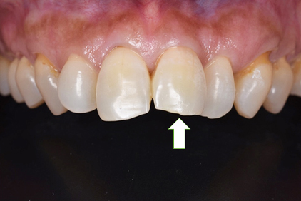
患者様の主訴は、「前歯の隙間が気になる」
でした。
矯正治療をおすすめしましたが、矯正治療の期間が長いということでセラミック治療を選択することになりました。写真をみるとすきっ歯も気になりますが、以前に詰めたプラスティックも変色して着色しており気になります。
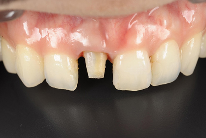
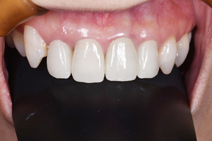
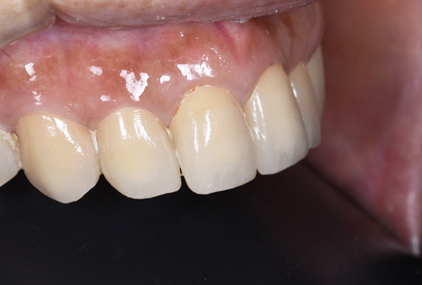
仮歯
セラミックの前に仮歯を調整している段階になります。できればということで歯の長さも短くしたいというリクエストがありましたので、仮歯で調整をしながら様子を見ました。
歯の長さを短くする際に歯を削りますので神経の治療が必要になることがありますので、しみたり・噛んで痛くないか?を約1ヶ月様子を見ました。色・形など仮歯でほぼ問題ないということでしたので、最終的な型採りをしました。
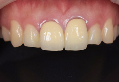
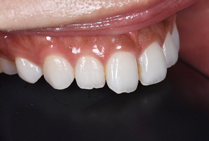
セラミックセット
最終的なジルコニアボンドクラウンをセットしました。すきっ歯がまずなくなりました。また、長かった歯が短くなりましたので本人の希望に沿うことができました。
セラミックで歯ぐきの
高さを合わせたい
※ 横にスクロールできます
| 年齢・性別 | 30代・女性 |
|---|---|
| 治療期間 | 4ヶ月 |
| 治療内容 | 歯肉弁根尖側移動術で歯ぐきの位置を移動させます。×4 ラミネートベニア×2本 ジルコニアボンドクラウン×2本 |
| 治療本数 | 4本 |
| 治療費用 | 合計:621,500円 ■内訳 歯肉弁根尖側移動術(44,000円) ラミネートベニア×2本(110,000円×2) ジルコニアボンドクラウン×2本(165,000円×2) 仮歯(テック)2,750円×2本 仮歯(プロビ)5,500円×4本 |
| リスク・副作用 | 歯ぎしり・食いしばりにより、割れてしまうことがありますので、マウスピースの装着が必要になります。 セラミックは、一生ものではなく寿命が来たら作り直す必要があります。 歯肉弁根尖側移動術は歯ぐきが下がってしまう恐れがあります。また、歯ぐきが理想な位置とならないことがあります。 |
途中経過
歯の長さは、人それぞれになります。また、歯ぐきの位置も人それぞれになります。
患者さんによっては、歯ぐきの位置を揃えたいとおっしゃる方もいらしゃいます。そして、プラスαで歯をキレイに左右対称で仕上げたいとの希望でした。歯ぐきの高さを揃えるのは、解剖学的な幅を考えて歯肉の内側にある骨を削ることにより左右の歯ぐきの高さをある程度コントロールすることができます。
歯肉の手術をしてから、仮歯をセットして3ヶ月くらい状態を確認して最終的な型採り、試適、完成という流れとなります。多くの患者さんは、歯ぐきを手術するとなると一歩後ずさりをされますが、実際は、そこまで大きな手術ではなく1時間もかからずに終わるので、積極的になられても良いかもしれません。
セラミックで出っ歯を
変えられるか?
※ 横にスクロールできます
| 年齢・性別 | 40代・女性 |
|---|---|
| 治療期間 | 3ヶ月 |
| 治療内容 | 根管治療×2本 ジルコニアボンドクラウン×6本 |
| 治療本数 | 6本 |
| 治療費用 | 根管治療(保険) 合計:1,039,500円 ■内訳 ジルコニアボンドクラウン×6本(165,000円×6) 仮歯(テック)2,750円×6本 仮歯(プロビ)5,500円×6本 |
| リスク・副作用 | 歯ぎしり・食いしばりにより、割れてしまうことが ありますので、マウスピースの装着が必要になります。 セラミックは、一生ものではなく寿命が来たら 作り直す必要があります。 |
初診時
初診時、前歯の角度はかなり前に向かって生えています。この状態から神経の治療を行うことなく、かぶせ物で角度を変えるのは、限界があるとお伝えして、神経の治療をまず行なってから、歯を削って仮歯を入れる治療計画を伝えて行なった。
セラミックセット時
初めに仮歯に置き換えてから問題なければ、仮歯を最終的な形のプロビに置き換えます。プロビにて歯肉とのマッチングや形や出具合を確認してもらい約1ヶ月の期間使用してもらいます。問題がなければ、最終的な型採りを行い、セラミックの試適、そして完成となりました。
保険の前歯をセラミックに
変えれますか?
※ 横にスクロールできます
| 年齢・性別 | 20代・女性 |
|---|---|
| 治療期間 | 2ヶ月 |
| 治療内容 | ジルコニアボンドクラウン×2本 |
| 治療本数 | 2本 |
| 治療費用 | 合計:346,500円 ■内訳 ジルコニアボンドクラウン×2本(165,000円×2) 仮歯(テック)2,750円×2本 仮歯(プロビ)5,500円×2本 |
| リスク・副作用 | 歯ぎしり・食いしばりにより、割れてしまうことが ありますので、マウスピースの装着が必要になります。 セラミックは、一生ものではなく寿命が来たら 作り直す必要があります。 |
途中経過
患者様の主訴は、「保険の黄色くなったかぶせ物を白くしたい」でした。
保険のかぶせ物は、プラスティックで白い部分を作成するので、どうしても経年劣化で黄色く変色してきます。また、この患者さんは、横から見るとその歯がだいぶ前に出ていたために、少し出っ歯にも見えていました。
保険のかぶせ物を除去して、仮歯に置き換えて、その後プロビジョナルと言われる最終的な仮歯をセットして歯肉の状態を確認します。問題がないことを確認してから、最終的な型採り試適の後に最終的なセラミックのかぶせ物をセットしました。
左右全く同じ歯の
形と色にしたい
※ 横にスクロールできます
| 年齢・性別 | 20代・女性 |
|---|---|
| 治療期間 | 2ヶ月 |
| 治療内容 | ジルコニアボンドクラウン×1本 |
| 治療本数 | 1本 |
| 治療費用 | 合計:170,500円 ■内訳 ジルコニアボンドクラウン×1本(165,000円×1) 仮歯(プロビ)5,500円×1本 |
| リスク・副作用 | 歯ぎしり・食いしばりにより、割れてしまうことが ありますので、マウスピースの装着が必要になります。 セラミックは、一生ものではなく寿命が来たら 作り直す必要があります。 |
途中経過
患者様の主訴は、「前歯を左右で全く同じ色全く同じ形にしたい」でした。
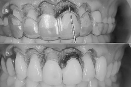
セラミック治療で1番難しいのは、こういった1本症例になります。歯を何本か削ってセラミックのかぶせ物を入れる治療は、実はそんなに我々歯科医師の中で難易度は高くありません。難易度が高い治療は、1本の症例になります。
この患者さんの場合は、試適を1度ではなく2度行いました。技工士さんにも歯科医院にいらしてもらい、色や形の確認を直接患者さんに試適を行い、修正をその場で行い。最終的に完成という流れとしました。 結果は、大変患者さんの満足のいく結果となりました。
セラミックではなく
ホワイトニングでどこまで
白くできますか?
※ 横にスクロールできます
| 年齢・性別 | 20代・女性 |
|---|---|
| 治療期間 | 3ヶ月 |
| 治療内容 | ホームホワイトニング×1 オフィスホワイトニング×12 |
| 治療本数 | 2本 |
| 治療費用 | 合計:46,500円 ■内訳 ホームホワイトニング×1(16,500円) オフィスホワイトニング×12(2,500円) |
| リスク・副作用 | 効果には個人差があります。 術後、知覚過敏が生じる ことがありますが、ほとんどの場合 1〜2日で治まります。 既存のつめ物、かぶせ物は白くなりません。 効果は永久的ではなく、徐々に色戻りします。 |
ホワイトニングで歯を白くしたい!できるだけ自分の歯を削りたくない!と考える患者さんも非常に多くいます。
ホワイトニングで、早く白くするには何がポイントかというとホームホワイトニングとオフィスホワイトニングを確実に繰り返すことになります。どちらかだけですと白くなるスピードは、落ちますし、白くなる程度もイマイチです。
やはり、家でホームホワイトニングを毎日しっかりと行なってもらい、歯科医院に来た際にオフィスホワイトニングを行うというサイクルを繰り返すと歯を早く白くすることができます。
単純なのですが、結構、皆さん家でのホームホワイトニングの継続ができずに忘れてしまったり、続かないという方が多く、思うように白くならないと言われる方が多いです。
しっかり毎日ホームホワイトニングを行うことが、早く白くする秘訣となります。
歯ぐき黒い、セラミックで
変えれますか?
ホワイトニングもしたい
※ 横にスクロールできます
| 年齢・性別 | 40代・女性 |
|---|---|
| 治療期間 | 3ヶ月 |
| 治療内容 | ジルコニアボンドクラウン×4本 ホームホワイトニング×1 オフィスホワイトニング×12 |
| 治療本数 | 6本 |
| 治療費用 | 合計:739,500円 ■内訳 ジルコニアボンドクラウン×4本(165,000円×4) 仮歯(テック)2,750円×4本 仮歯(プロビ)5,500円×4本 ホームホワイトニング(16,500円×1) オフィスホワイトニング(2,500円×12) |
| リスク・副作用 | 歯ぎしり・食いしばりにより、割れてしまうことが ありますので、マウスピースの装着が必要になります。 セラミックは、一生ものではなく寿命が来たら 作り直す必要があります。 |
ホワイトニングしたい!セラミックしたい!と言った場合は、とにかく患者さんが納得してもらうまでホワイトニングを行なってもらいます。その後、2週間してからセラミックのかぶせ物を行うのがポイントになります。
ホワイトニング後にセラミックを行う際の鉄則は、2週間時間を空けるということです。なぜなら、ホワイトニングしたばかりの歯は、色が安定しないのでセラミックの歯の色を合わせるのが非常に難しいです。
ある程度の時間をかけて、歯の色が落ち着くのを待ってからセラミック治療を開始しましょう。待つ間に仮歯に置き換えたりするのは、問題ないと思います。























