インプラント | 渋谷歯科 | 平日夜7時・土日も診療の渋谷の歯医者

インプラント

認定証 認定証

当院の理事⻑は
認定を受けた⻭科医師が保有する
日本口腔
インプラント学会
専門医
日本補綴歯科学会
専門医
に認定されています

当法⼈の理事⻑は、⽇本⼝腔インプラント学会 専門医および⽇本補綴⻭科学会 専⾨医です。各学会認定のインプラントおよび咬み合わせの技術と知識をもって、インプラント治療を⾏っております。

しっかり噛んで、思い切り笑って過ごしていただくために。治療後のメンテナンスを含め、治療いたします。

目次

インプラントとは?

歯科医院で歯を抜くと必ずと言っていいほど、次の治療をどうするのか?を聞かれます。インプラントか入れ歯かブリッジ?どうしますか?

 

ほとんどの患者さまは、そこで初めて「インプラント」というワードを耳にして、考えますと答えるのではないでしょうか?「インプラント」ってなんだろう?

インプラントとは

突然インプラントと言われてもわからないよ!という患者さまのためにわかりやすくインプラント説明します。

インプラントとは?簡単に言えば人工歯根です。歯を抜歯すると歯の根がないので差し歯をすることができません。

しかし、インプラントの登場により、人工的に歯根を作ることに成功しました。インプラントと言っても実は、様々な形状のインプラントが以前は、存在していましたが、現在の歯根型のインプラントが発売されるようになってから、まだ50年くらいしか経っていません。

インプラントにできる人・できない人

できる人

できない人

インプラントの構造

インプラントの構造

骨の中に埋入するネジの部分を「インプラント」と呼んでいます。このインプラントをフィクスチャーと呼ぶ方もいます。 上のかぶせ物を「上部構造」と呼び、インプラントと上部構造をつなぐ部分を「支台部(アバットメント)」と呼びます。

基本的なインプラントは、この3つの構造から成り立っています。まれにインプラントと支台部がくっついている2ピースタイプもありますが、あまり予後が良くないという点から最近では、扱われなくなってきています。

インプラントの構造

インプラントは、いくら?
費用相場

インプラントの費用相場は、1本約40万円です。
この中にお薬代やインプラント設計費用やレントゲンや仮歯などが、含まれている場合とそうではない場合があります。
インプラントの費用と言った場合に、全てが含まれた40万円なのか?そうではない40万円なのか?でインプラント治療総費用が変わってきます。この違いを理解されておらず結局、こんだけ費用がかかったと言われる患者さまが多くいらっしゃいます。

インプラントは、なぜ?そんなに高いのか?と言われる患者さまも多いのですが、そもそもご自分の歯1本の価値は、どれくらいあると思いですか?ざっと見積もるとお口の中の価値は、2,500〜3,000万円以上だと言われています。となると歯1本の価値は、歯の本数(28本)で割ると1本約100万円弱になります。インプラントは、その半分以下の費用ですので、私は安いのではないかと思います。歯を大事に毎日磨かれて方は、それだけで節約を日々行なっていることになります。

インプラントの費用

インプラント 保険

 

そもそもですが、保険治療とは何でしょうか?保険診療とは、日本国民が最低限度の医療を決まった金額(3割負担)で受ける事ができる日本特有の医療制度となります。

海外では、日本のような保険制度はありません。そのため、救急車を呼んだだけで海外では何万円もかかってしまうわけです。医療は、非常に高価なものということが海外人の頭の中にあります。

インプラント保険

しかし、日本はどうでしょうか?毎月特定の保険料を納めることで、救急車を何度呼んでも金額はかかりません。

保険治療の費用は、全て我々が毎月支払う保険料で成り立っていることになります。

では、インプラントを保険で賄えるようにするには、我々は今の倍近く保険料を納めなくては、採算取れないということですので、あまり現実的な話ではないようです。また、高齢者がどんどん増える中でインプラントを保険で認めてしまったら、保険が破綻することになりそうですね。インプラントを保険でカバーできるようになるには、まだまだ我々が頑張って日本を裕福な国にしないとです。

そんな日本健康保険事情ですが、なんとインプラントが保険で認められる場合があります。以下のケースになります。

上記のように限られたケースの場合のみインプラント治療が適用となり、加齢により歯周病で歯を失ったケースなどに適応はしていません。

インプラントの種類

インプラントの種類は、全世界に200種類以上あり、日本のメーカーは40社以上あります。

どこの国のどのメーカーが良いいのか?患者さまに聞いても説明してもわからない場合が、ほとんどです。

なぜなら、歯科医師の私でさえインプラント全てのメーカーがどのような特色があって、何が良くて何が悪いのか?理解できないからです。また、メーカー内でもインプラント種類が4〜5つあり、一時期は、毎年のように新しいインプラントが発売されている事もありました。

海外で主要なメーカー

日本の主要メーカー

インプラントは、上記8種類のメーカーの物を扱っている歯科医院が日本で多いです。

歯を失った時の治療選択肢

歯を失った時の治療選択肢(ブリッジ)

  

歯を失った際に、現在まで最も多く選択されている治療は、ブリッジになります。隣の歯削りかぶせ物で橋渡しをするので、ブリッジというネーミングがつきました。

治療期間も短く、患者さまの負担が軽いということが、何よりもメリットだと思います。デメリットは、隣の健康な歯を削ると3本の歯を2本で支えますのでいつか荷重負担でどちらかの歯が揺れ始めます。そのため、歯がない部分がどんどん拡大していく恐れがあります。

ブリッジ

ブリッジという歯は、橋渡しですので、決して悪い治療法ではなく、夜間の歯ぎしりや食いしばりなどきちんと力をコントロールして、維持していくことができれば非常に素晴らしい治療の1つです。

歯を失った時の治療選択肢(入れ歯)

歯を失った際に、隣の歯を削りたくないと言った場合に、1番オーソドックスな方法として入れ歯治療があります。

写真を見るとわかると思いますが、金属のバネを用いて隣の歯で固定する方法になります。しかし、あくまでもバネですので動いてしまうことを考慮する必要があります。

歯を失った時の治療選択肢(入れ歯)

また、入れ歯はただのプラスティックですので、噛む力は天然の歯の20〜30%くらいと言われています。入れ歯を初めて装着した患者さまから言われるのは、こんなんじゃ何も噛めないから入れ歯をしない方がましだよの一言です。本当そうなんですが、歯を失う代償はそれほどに大きいということです。

歯を失った時の治療選択肢
(インプラント)

歯を失った時の新しい治療方法として誕生したのが、インプラント治療です。

写真のように、隣の歯を削らなくて良いというのが、なんと言っても1番のメリットだと思います。

噛む力は、天然の歯と同じですので、ほとんど気にならずに噛むことができますが、天然の歯のように歯根膜はないので、噛みしめる感覚などは異なります。

インプラント

インプラントはメリットばかりのように思えるかもしれませんが、デメリットもありますので、治療を受ける前にしっかりと理解しておきましょう。

インプラントの
メリット・デメリットは?

メリット

  • 隣の歯を削らない。
  • 見た目が天然の歯に
    近いくらい回復できる。
  • ブリッジや入れ歯に
    比べて違和感は、少ない。
  • 荷重負担がない。
    隣の歯を削らないので
    荷重がない。
  • 発音障害が少ない。
  • 短期間で終わる場合もある。
  • 長期間安定した
    噛み合わせを維持できる。
  • 定期的なメンテナンスで
    長期期間使用できる。
  • 噛む力が同じ
    とは言えないが、
    天然の歯に近い。
  • 顎の骨が痩せるのを
    遅らせることができる。
インプラントのメリット

デメリット

  • 術後腫れる
    可能性がある。
  • 保険はきかず、
    治療費が高くなる。
  • 骨がない場合は、
    骨の造成が必要になる。
  • 歯肉にメスを入れる
    外科的な処置が
    必要になる。
  • インプラント手術や
    かぶせ物や多岐に渡る
    総合的な知識を術者が必要
  • 術後痛む
    可能性がある。
  • インプラントは、
    一生物ではありません。
  • 定期的なメンテナンスが、
    必須になります。
  • 上部構造は、10年に
    一度くらいやり換えが
    必要になります。
  • タバコを吸われる方は、
    成功率が下がる。
  • 治療期間が長い。
インプラントのデメリット

インプラントの寿命

 

インプラントは、歯周病にさえならなければ半永久的に使用することができます。しかし、上部構造のかぶせ物は、10年に一度くらいのやり換えが必要となります。

上部構造も毎日毎日噛んで入れ歯すり減っていきます。約10年くらいしたら、やり変える必要があります。例えるなら自動車のタイヤと同じです。毎日毎日車で走っていればタイヤもすり減って変える時期が来ると思います。インプラントのかぶせ物も同じとなります。

インプラントの寿命

写真は、インプラントの周りが歯周病で骨が吸収している状態になります。インプラントの周りが黒くなっているのがわかりますでしょうか?歯周病になると周りの骨が溶けてしまうので、インプラントもグラグラとゆれる様になり、最終的には脱落してしまいます。

インプラント医療費控除

インプラント医療費控除

  

医療費控除は、非常にお財布に優しい制度ですが、複雑な感じがすると良く言われますので、できるだけわかりやすく説明しますと、払った医療費が控除されるという仕組みです。

もっとわかりやすく伝えると一般的な家庭で、年間医療費が100万円かかった場合に、医療費控除を申請すると医療費控除が30万円で、税金が6万円安くなると聞くときちんと申請した方が、良いと思いませんか?

インプラント治療を受けた場合も医療費控除を申請すると税金が安くなるので利用しない手は、ないと思いませんか?

インプラント治療の医療費控除

インプラントの流れ

1回法

  1. レントゲン・口腔内写真などの
    資料採取
  2. インプラントの
    設計費用説明して契約
  3. インプラント前治療
    (虫歯・歯周病)
  4. インプラント手術
  5. 骨結合期間
  6. インプラント仮歯印象
  7. インプラント仮歯セット
  8. インプラント最終印象
  9. インプラントかぶせ物セット
  10. 定期検診・メンテナンスへ
  11. 通常、上顎で3ヶ月、下顎で2ヶ月の治療期間がかかります。

2回法

  1. レントゲン・口腔内写真などの
    資料採取
  2. インプラントの
    設計費用説明して契約
  3. インプラント前治療
    (虫歯・歯周病)
  4. インプラント手術
  5. 骨結合期間
  6. インプラント2次手術
  7. インプラント仮歯印象
  8. インプラント仮歯セット
  9. インプラント最終印象
  10. インプラントかぶせ物セット
  11. 定期検診・メンテナンスへ
  12. 通常、上顎で3ヶ月、下顎で2ヶ月の治療期間がかかります。

    上記の内容がオーソドックスなインプラントの流れになります。骨の造成や仮歯での治療やインプラントも様々な複雑な治療があります。

インプラント治療の流れ

インプラントの痛み

インプラント治療中の痛み

 

骨や歯肉が十分にある患者さまは、ほぼ腫れることがありません。しかし、骨や歯肉がない場合は、インプラント手術の際に腫れて痛みが出ることが予想されます

インプラント治療中の痛み
  1. GBR(骨造成)を行う場合 腫れますし痛む可能性が高いです。インプラントを行う場合、骨がなければインプラントを埋入することができません。そこでGBRとなりますが、骨を作るに当たり炎症性の反応が起こりますので、腫れますし痛みます。
  2. サイナスリフト(上顎洞底挙上術)
    上あごの骨がない時
    横から窓を開けて人工的な骨を用いて造成する場合に腫れますし痛みます
  3. FGG/CTG(歯肉移植)抜歯 口蓋や上あご親知らずの位置より、歯肉を採取し患部に移植を行います。
    しばらくすると骨と共に歯肉も吸収して凹んでしまう事があります。そんな時は、歯肉の移植も行い、かぶせ物を美しく入れる準備をしますが、移植した部位ではなく、移植層の痛みが強い場合があります。
    リスク・副作用:理想的な歯肉の状態とならないことがあります。また、歯肉が定着しないことがあります。
  4. インプラントと骨が結合 正直、セラミック治療をするまでは、残念な保険のかぶせ物でしょうか?が入っていたので、お顔がキレイなので残念だなと思っていましたが、その後セラミックの歯に変えられてからは、一層、お顔にも透明感が出ましたね。やはり前歯で清潔感が全然変わってくるものですね。
インプラント治療後の痛み

インプラント治療後の痛み

インプラント治療後の痛みは、ほぼ歯肉や噛み合わせのトラブルになります。インプラントは、治療を行って終わりではなく、その後の自分でのメンテナンスや定期検診のクリーニングで維持していかなければならないことを忘れないで下さい。

1、インプラントは、虫歯にはなりませんが、歯周病にはなります。日々のメンテナンスを怠ると天然歯と同じように汚れが蓄積して、歯周病になり痛みが出た頃には、手遅れと言う事があります。そのため、歯のあった頃以上に日々の歯ブラシやフロスを丁寧に行い、定期検診でチェックとプロフェッショナルクリーニングを繰り返しましょう。


2、タバコや全身疾患による歯肉へのダメージにより、歯周病が起こり、炎症性の反応で痛みが起こる場合があります。歯を失う原因が歯周病であった場合、そもそも歯周病菌に対して、免疫反応が弱い事が考えられます。そんな状態でタバコを吸えば、歯肉への血流が阻害されますので、また、同じことの繰り返しになってしまいます。インプラントを行うのであれば禁煙しましょう!


3、歯ぎしり・食いしばりにより、インプラント周囲の骨が溶けて痛みを起こします。歯ぎしりは、体重の1.5倍の力で歯をギリギリしてしまいます。就寝中に歯ぎしり・食いしばりをしますので、本人は気づいていない事が多いです。歯を失う原因が歯ぎしり・食いしばり・歯根ハセツだった場合は、インプラント治療後に同じように歯ぎしり・食いしばりで痛みが出てインプラントを失うことが多いです。また、それだけではなくインプラントの対合する歯を壊してしまい痛みが出ることもあります。インプラント後は、ナイトガードの装着を心がけてください。


4、セメントタイプインプラントのかぶせ物の場合、インプラントのかぶせ物の周りや歯肉の下にセメントが残ってしまい、炎症を起こして痛みを発する事があります。現在は、セメントタイプよりもねじ止めタイプのインプラントが主流ですので、そのような現象が少なくなってきましたが、セメントタイプのインプラントは、歯肉のトラブルが多いですので、注意したいところです。

インプラントのリスク

どんな治療であれ、治療リスクが0%と言うことはありません。インプラントも同様に全て問題なく成功率0%と言う治療方法ではありません。また、良くインプラント治療成功率90%以上などと謳っている事もありますが、何を持って成功としているか?は、論文によっても違ってきますので、全てを同じように比較することも難しいのが現状です。では、インプラント治療において考えられるリスクを以下に列挙しますので、参考にしてください。

1、インプラントと骨が
結合しないことがあります。

専門用語では、オッセオインテグレーションと呼びますが、通常、90%以上の確率で骨とインプラントは結合しますが、10本インプラントを行えば1本は、骨と結合しないという計算になります。

2、インプラント治療後に
歯周病になるリスクがあります。

インプラントは、虫歯にはなりませんが、歯周病になります。なので日々のブラッシングやフロッシングと定期的なメンテナンスは、必須になります。

3、1度骨と結合するとインプラントは、
動きません。

それに対して、天然の歯は動きますので、インプラントと天然の歯の間に隙間ができる事があります。これはリスクではありませんが、インプラント治療を受けるすべての人が知っておいて欲しい事柄になります。この隙間は、後からでも修理で埋めることができますので安心してください。

4、かぶせ物は、10年くらいで
やりかえが必要になります。

かぶせ物は一生物ではありません。だいたい10年くらい経ったらやりかえる必要があります。例えるならば自動車のタイヤです。毎日毎日10年乗っていたらタイヤもすり減ってきますよね。インプラントのかぶせ物も同じです。毎日毎日噛んでいたら

5、ネジが緩むことがある。

インプラントは、かぶせ物とを通常でネジで止めています。ネジで止めることにより、通常よりも強い力が加わった時は、ネジが緩むシステムになっています。そのため、患者さまは噛んで高い。カタカタするなどの違和感を感じます。その際は、すぐに歯科医院に連絡するようにしてください。想定外の力が加わった時には、インプラントのネジが緩む機構になっています。

インプラントとタバコ

 

患者さまの中には、どうしてもタバコを止める事ができないと言われる患者さまもいらっしゃいます。しかし、歯を失った原因が、タバコであった場合、いくらインプラントをしても、また、失うことになります。

日本歯周病学会では、「喫煙の歯周組織に与える影響」というポジションペーパー(学会見解論文)を発表しています。

その中に書かれている重要な箇所をピックアップしていますが、喫煙がインプラントや歯肉にとって良いと書いている部分は、ありません。インプラントを行う機会にご自身の健康を考えて禁煙した方が良いですね。

  1. はじめに 「喫煙は、全身への影響だけではなく、歯周組織にも多大な影響があることを科学的根拠を持って示されており、喫煙がもたらす健康被害に議論の余地はないと考えられている。」
  2. 喫煙は歯周病の
    リスク因子となるか
    「オーストラリアの成人を対象とした2004〜2006年の歯科疾患実態調査では、歯周炎のリスクは、前喫煙者で1.22、中等度喫煙者で1.63、ヘビースモーカーで1.64となった。したがって、喫煙者は非喫煙者に比べ歯周病罹患率が高く、経時的にも歯周炎がより進行していくことが明確になった。」
  3. 喫煙は歯周組織に
    どのような影響を与えるか
    「喫煙者、非喫煙者においてプラーク付着量、細菌の総菌数共に同程度であっても、喫煙者では歯周組織の破壊が促進される可能性が示唆された。」
  4. 喫煙により免疫、炎症反応は
    どのように変化するか
    「喫煙は歯周組織局所の免疫系にも影響を及ぼす。サイトカインネットワークや血液細胞の非特異的、特異的免疫応答を障害している考えられるが、現在のところ、免疫機能の亢進もしくは抑制のどちらに主に関与しているかについて結論を下すことはできない。」
  5. 喫煙は、歯周治療の予後に
    影響するか
    「歯周治療では喫煙により非外科治療、外科治療(歯周組織再生治療、インプラント治療を含む)とも治療後に悪影響を及ぼす危険が高まり、ヘビースモーカーではさらにその傾向が強く認められた。」
  6. 喫煙により歯周病は
    改善するのか
    「喫煙者の歯肉微小循環は喫煙後早い段階で回復し、喫煙により抑制される歯肉の炎症徴候、いわゆるマスキングは禁煙により改善する改善することが示唆された。」
  7. 終わりに 「喫煙が歯周病に与える影響の全てが解明されたわけではないが、喫煙が歯周病の最大の環境リスク因子であることは科学的に明らかである。」
  8. 喫煙の歯周組織に対する影響

インプラント失敗したら?

インプラント治療も失敗することはあります。これは医療でありますので、100%の治療はありません。

これを理解した上で歯科医院を選択する必要があります。インプラントは、失敗する可能性もありますので、それでも長い期間メンテナンスに通っても良いという歯科医院と歯科医師を選択する必要があります。

インプラントは、失敗することもありますが、写真のような抜け出せない状態ではなく、時間はかかりますが何らかの解決策があります。

インプラントの失敗

ではインプラント失敗に関して、下記に列挙していきますので、参考にしてください。

1、インプラントと骨が結合しない。

こちらは、10本に1本くらいの確率で骨とインプラントが結合しない場合があります。このような場合は、再度インプラントを埋入することで対応できます。また、骨が少ないことによりインプラントが結合しない場合、骨の造成が必要になる事があります。

2、インプラントの方向を間違った。

インプラントは、行う前にPCでシミュレーションを行い、方向や角度を確認して隣の歯とぶつからないように手術用ガイドを作成して、オペを行ったりします。以前に比べてこのシミュレーション・ガイドを用いることでほとんどの場合問題なくインプラントを埋入することができますが、ガイドや術者の経験不足などにより、方向を間違って埋入した場合上のかぶせ物で調整をしますが、難しい場合は、除去して再度埋入となり時間がかかります。

3、インプラントの前の骨ができない。

インプラントを行うためには、骨が必要です。骨がない場合は、骨の造成を行い、骨ができてから、もしくはインプラント埋入と同時に骨の造成を行いますが、通常、4〜6ヶ月で骨ができてきますが、なかなか骨ができない場合があります。骨ができない原因は、ほとんどの症例が造成した骨が動くことによって生着しないといった現象を起こします。例えば、仮歯用に入れた入れ歯がぶつかって造成した骨が動いたとか、造成した骨の部分を毎日触ってしまうことで、骨が生着しないとか原因は、様々です。骨ができない場合は、再度、骨の造成(GBR)を行う必要があるので時間がかかります。

インプラントの失敗

インプラント相談

最近は、非常にインプラント相談が多くなりました。患者さまもインターネットでご自分の状態を調べて不安に思ったり、やる前にどのようなリスクがあるか、やった後に自分の症状は、問題ないのか?と調べた事に自分が当てはまるのか?と言う不安で相談してくる方が多いです。

 

まずは、お気軽にご自分の症状や不安に思っていることを相談してみてください

よくある質問-インプラント

インプラントの症例

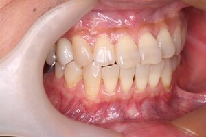
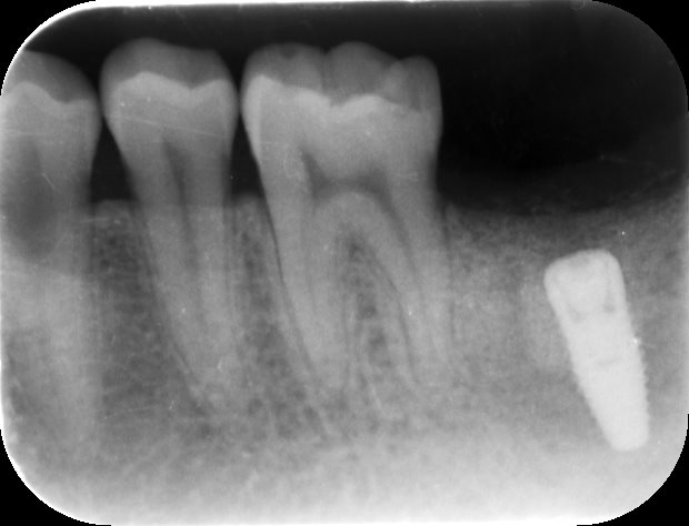
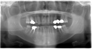
インプラントの症例1

レントゲン写真①

レントゲン写真①

レントゲン写真②

レントゲン写真②

レントゲン写真③

レントゲン写真③
年齢・性別 30代・男性
主訴 左下7番のインプラント
治療内容 右下7番は歯根破折により抜歯した。その後欠損補綴をインプラントにて行った。
抜歯時間 13ヶ月
抜歯費用 合計:627,000円
・内訳
インプラント治療の為の診断費用:55,000円
インプラント埋入料(1本):165,000円
アバットメント費用:22,000円
骨補填材費用(GBR法):110,000円
仮歯(インプラント部品込み):55,000円
ジルコニアステイン(インプラント部品込み):165,000円
サージカルガイド(補助装置):55,000円
(2023年1月現在)
リスク・副作用 ・インプラント埋入するために、外科的な処置が必要となります。その為、一過性、場合によっては持続的に、唇・舌・頬・口蓋・歯肉・歯牙等の感覚麻痺、切開に起因する瘢痕組織による知覚異常が起こる可能性があります。
・インプラント手術時に、ドリルの様な器具を使用する為、接近歯の損傷が起こることもあります。
・インプラント体と骨との結合不全が起こる可能性があります。その場合は治療期間が伸びることがあります。
・インプラント埋入手術は複雑であり、結果が予想通りに成功しない場合があります。しかしインプラントを受けられる皆様に作製しているサージカルガイド(補助装置)の使用により、そのようなリスクが軽減されています。
・術後、痛みや腫れといった症状が出ます。こちらは個人差もありますが、約1~2週間程続きます。痛みは痛み止めでしのげる程度です。
・人によっては頬っぺた側に内出血がでることがございます。ただ約1週間程で消えていくのでご安心ください。
治療方針 神経を取った左下7番の歯が、歯根破折してしまったことによって、抜歯を行いました。
抜歯後傷口が修復されるまでに1ヶ月期間をあけ、一次手術では骨造成まで行いました。
術後約4ヶ月期間をあけ、骨が仕上がってきたことを確認し、二次手術にてインプラント体の埋入を行いました。
特記事項 神経を取った歯って折れることがあるの?
一番奥歯の歯がなくなってしまった場合の治療方法はインプラントだけですか?
担当者所見 神経を取った歯は、神経のある歯に比べるともろくなりやすいです。例えば1本の歯を「木」に置き換えてみましょう。生きている木は斧で叩かない限り折れたりしません。しかし枯れ木になってしまうと衝撃が加わると、折れてしまいます。
神経を取った歯もその枯れ木と同じで、歯軋り・食いしばりが強い方だと、歯根破折してしまう方が多くいらっしゃいます。一度歯根破折してしまうと抜歯するしかありません。
一番奥の歯(7番)が抜歯になった場合は、基本的にはインプラントのみとなります。
しかし移植可能な親知らずがあれば、親知らずの移植も可能です。移植後の親知らずの寿命は約10年と言われております。

症例2

レントゲン写真ン

レントゲン写真

レントゲン写真

レントゲン写真
年齢・性別 40代・男性
主訴 右上7番のインプラント
治療内容 右上7番の神経の治療期間が1年程空いてしまい、保存が困難なため抜歯し、インプラントを埋入しました。
抜歯時間 10ヶ月
抜歯費用 合計:627,000円
・内訳
インプラント治療の為の診断費用:55,000円
インプラント埋入料(1本):165,000円
アバットメント費用:22,000円
骨補填材費用(ソケットリフト):110,000円
仮歯(インプラント部品込み):55,000円
ジルコニアステイン(インプラント部品込み):165,000円
サージカルガイド(補助装置):55,000円
(2023年1月現在)
リスク・副作用 ・インプラント埋入するために、外科的な処置が必要となります。その為、一過性、場合によっては持続的に、唇・舌・頬・口蓋・歯肉・歯牙等の感覚麻痺、切開に起因する瘢痕組織による知覚異常が起こる可能性があります。
・インプラント手術時に、ドリルの様な器具を使用する為、接近歯の損傷が起こることもあります。
・インプラント体と骨との結合不全が起こる可能性があります。その場合は治療期間が伸びることがあります。
・インプラント埋入手術は複雑であり、結果が予想通りに成功しない場合があります。しかしインプラントを受けられる皆様に作製しているサージカルガイド(補助装置)の使用により、そのようなリスクが軽減されています。
・術後、痛みや腫れといった症状が出ます。こちらは個人差もありますが、約1〜2週間程続きます。痛みは痛み止めでしのげる程度です。
・人によっては頬っぺた側に内出血がでることがございます。ただ約1週間程で消えていくのでご安心ください。
・ソケットリフトによって骨造成を行った場合、鼻出血する場合があります。術後は鼻を強く噛まないようにしていただきます。
治療方針 右上7番は、当初痛みがあり神経の治療を行なっていたが、患者さまのご都合により、神経の治療中1年の期間が空いてしまったため、大きく虫歯になり、保存が不可能だったため抜歯となりました。
抜歯後はインプラント治療となりました。
特記事項 神経の治療は期間をあけすぎると歯を抜歯しなくてはいけないのですか?
担当者所見 歯の根の治療の期間は、少なければ7日間隔で2~3回程度、多くて5~6回程度、薬を入れて治療していきます。
そして痛みと腫れがなくなり、最後は歯の神経が通っていた根管に防腐剤を入れていきます。
これらの行程が早くて2週間、長い場合は数ヶ月かかります。そこから最終的には土台を建てて被せ物を入れていきます。
歯の根の治療は、上記のような流れで行なっていきますが、治療期間が空いてしまうと、再感染したり、神経を取った歯なのでもろく、欠けやすくなってしまい、抜歯になるリスクが高まってしまします。
ですので、歯の根の治療から被せ物を入れるまでは期間を空けずに通っていただくことによって、ご自身の歯を守ることができます。
もし、今回のように橋渡しのできない奥歯を失った際の治療はインプラントしか治療の選択肢がなくなってしまいます。
せっかく残せる歯があるので、ご自身のためにも期間を空けないようにしましょう。

症例3

レントゲン写真①

レントゲン写真①

レントゲン写真②

レントゲン写真②

治療中①

治療中①

治療中②

治療中②
年齢・性別 30代・女性
主訴 左下6番、左下7番のインプラント
治療内容 左下5〜7番のブリッジだったが、支台の左下7番が破折のため抜歯となった。その為左下6番、左下7番にインプラントを2本埋入した。
抜歯時間 10ヶ月
抜歯費用 合計:1,045,000円
・内訳
インプラント治療の為の診断費用:55,000円
インプラント埋入料(1本):165,000円×2歯
アバットメント費用:22,000円×2歯
骨補填材費用(GBR法):110,000円(左下7番のみ)
仮歯(インプラント部品込み):55,000円×2歯
ジルコニアステイン(インプラント部品込み):165,000円×2歯
サージカルガイド(補助装置):66,000円
(2023年8月現在)
リスク・副作用 ・インプラント埋入するために、外科的な処置が必要となります。その為、一過性、場合によっては持続的に、唇・舌・頬・口蓋・歯肉・歯牙等の感覚麻痺、切開に起因する瘢痕組織による知覚異常が起こる可能性があります。
・インプラント手術時に、ドリルの様な器具を使用する為、接近歯の損傷が起こることもあります。
・インプラント体と骨との結合不全が起こる可能性があります。その場合は治療期間が伸びることがあります。
・インプラント埋入手術は複雑であり、結果が予想通りに成功しない場合があります。しかしインプラントを受けられる皆様に作製しているサージカルガイド(補助装置)の使用により、そのようなリスクが軽減されています。
・術後、痛みや腫れといった症状が出ます。こちらは個人差もありますが、約1〜2週間程続きます。痛みは痛み止めでしのげる程度です。
・人によっては頬っぺた側に内出血がでることがございます。ただ約1週間程で消えていくのでご安心ください。
治療方針 ブリッジの支台だった左下7番の歯は神経を取った歯だったため、負荷に耐えられず根の先に大きな膿を持ってしまった。残すことができなかったために抜歯を行い、1ヶ月後インプラントの埋入と骨造成を同時に行った。
特記事項 皆さんは歯を失ってしまった時、ブリッジとインプラントをどのように選択されますか?
担当者所見 ブリッジの場合は、歯のない部分を両隣の歯を削って、被せ物を橋渡しのように繋げます。
そのため噛む力は、支えになっている歯にない歯の部分まで加わるので、通常よりも1.5倍の力が加わります。
しかしインプラントの場合は、天然の歯のように独立して1本1本作製するので、噛む力も天然の歯と同じように等倍にかかってきます。
近年、夜間の歯軋り食いしばりですと、1本の歯に対して自分の体重の約2倍、約100キロの圧がかかっていることがわかっています。
その点も考慮すると、ブリッジの場合はかなり負担がかかっていることがわかります。
ですのでインプラントだとご自身の他の歯にも負担をかけずに守ることができるので、将来他の歯に負担をかけずに守りたい方は、インプラントがおすすめです。

症例4

before

after

治療中①

治療中①

治療中②

治療中②

治療中③

治療中③
年齢・性別 50代・男性
主訴 右上4番インプラント
治療内容 右上4番歯根破折してしまった為、抜歯即時インプラントを埋入しました。
抜歯時間 約9ヶ月
費用 合計:704,000円
・内訳
インプラント治療の為の診断費用:55,000円
インプラント埋入料(1本):165,000円
アバットメント費用:22,000円
骨補填材費用(ソケットリフト):110,000円
仮歯(インプラント部品込み):55,000円
ジルコニアステイン(インプラント部品込み):165,000円
サージカルガイド(補助装置):55,000円
静脈鎮静法麻酔:77,000円
(2024年3月現在)
リスク・副作用 ・インプラント埋入するために、外科的な処置が必要となります。その為、一過性、場合によっては持続的に、唇・舌・頬・口蓋・歯ぐき・歯牙等の感覚麻痺、切開に起因する瘢痕組織による知覚異常が起こる可能性があります。
・インプラント手術時に、ドリルの様な器具を使用する為、接近歯の損傷が起こることもあります。
・インプラント体と骨との結合不全が起こる可能性があります。その場合は治療期間が伸びることがあります。
・インプラント埋入手術は複雑であり、結果が予想通りに成功しない場合があります。しかしインプラントを受けられる皆様に作製しているサージカルガイド(補助装置)の使用により、そのようなリスクが軽減されています。
・術後、痛みや腫れといった症状が出ます。こちらは個人差もありますが、約1〜2週間程続きます。痛みは痛み止めでしのげる程度です。
・人によっては頬っぺた側に内出血がでることがございます。ただ約1週間程で消えていくのでご安心ください。
・ソケットリフトによって骨造成を行った場合、鼻出血する場合があります。術後は鼻を強くかまないようにしていただきます。
治療方針 右上4番は神経のない歯だったため、歯ぎしり食いしばりにより、歯根破折してしまいました。インプラント埋入前に抜歯してしまうと骨が大きくなくなってしまうため、今回はインプラント埋入時に抜歯を即時で行いました。
特記事項 近年歯を失う原因の62%が「歯根破折」と言われております。歯根破折は主に夜間の歯ぎしり食いしばりが原因と言われております。
担当者所見 当院では歯を失わないために、「ナイトガード」と言われる就寝時に装着するマウスピースの使用をお勧めしています。

ご自身の歯や被せ物・詰め物が割れてしまう前にナイトガードにて予防していきましょう!!

症例5

before

after

レントゲン写真

レントゲン写真

before-2

before-2

after-2

after-2

治療中①

治療中①

治療中②

治療中②

治療中③

治療中③
年齢・性別 26歳・女性
主訴 2年以上前に右上6番を抜歯したままになっており、右上7番がよって来てしまったので、当院で矯正を行いスペース確保後にインプラントを行いたい。
治療内容 右上6番のインプラント治療と、スペースを確保するための部分矯正
抜歯時間 約2年10ヶ月
費用 矯正治療合計:181,500円(別途:調節費用1回5,500円×調節回数分)
・内訳
検査・診断費用:16,500円
基本施術所料:165,000円

インプラント治療合計:759,000円
・内訳
インプラント治療の為の診断費用:55,000円
インプラント埋入料(1本):165,000円
アバットメント費用:22,000円
骨補填材費用(サイナスリフト):220,000円
仮歯(インプラント部品込み):55,000円
ジルコニアステイン(インプラント部品込み):187,000円
サージカルガイド(補助装置):55,000円
(2024年3月現在)
リスク・副作用 ・インプラント埋入するために、外科的な処置が必要となります。その為、一過性、場合によっては持続的に、唇・舌・頬・口蓋・歯肉・歯牙等の感覚麻痺、切開に起因する瘢痕組織による知覚異常が起こる可能性があります。
・インプラント手術時に、ドリルの様な器具を使用する為、接近歯の損傷が起こることもあります。
・インプラント体と骨との結合不全が起こる可能性があります。その場合は治療期間が伸びることがあります。
・インプラント埋入手術は複雑であり、結果が予想通りに成功しない場合があります。しかしインプラントを受けられる皆様に作製しているサージカルガイド(補助装置)の使用により、そのようなリスクが軽減されています。
・術後、痛みや腫れといった症状が出ます。こちらは個人差もありますが、約1〜2週間程続きます。痛みは痛み止めでしのげる程度です。
・人によっては頬っぺた側に内出血がでることがございます。ただ約1週間程で消えていくのでご安心ください。
・サイナスリフトによって骨造成を行った場合、鼻出血する場合があります。術後は鼻を強くかまないようにしていただきます。
治療方針 当院での部分矯正により右上6番のスペース確保後、インプラント治療を行いました。埋入後前後の歯が数ミリ動いてしまい、再度部分矯正をおこないスペース確保し、最終の被せ物を入れていきました。
特記事項 当院では補綴専門医と矯正医がいるため、今回のようにそれぞれの分野がタインミングをしっかり確認しながら治療を進めることができます。
担当者所見 患者さまの中には、「虫歯治療も矯正もクリーニングもホワイトニングも色々やりたい!」といった方が多くいらっしゃいます。

もちろんそれぞれでお気に入の医院を見つけていただくのも一つですが、当院では全部一緒にできる為情報共有しやすく、それぞれの治療がスムーズに行えます。

気になる方は是非一度ご相談ください!

症例6

※手術中の写真を掲載しておりますので、苦手な方はご注意下さい。

before

after

治療中①

治療中①

治療中②

治療中②

治療中③

治療中③

治療中④

治療中④

治療中⑤

治療中⑤

治療中⑥

治療中⑥
年齢・性別 49歳・男性
主訴 右上6番歯根破折
治療内容 右上6番歯根破折のため抜歯し、インプラント埋入しました
抜歯時間 約8ヶ月
費用 合計:627,000円
・内訳
インプラント治療の為の診断費用:55,000円
インプラント埋入料(1本):165,000円
アバットメント費用:22,000円
骨補填材費用(ソケットリフト):110,000円
仮歯(インプラント部品込み):55,000円
ジルコニアステイン(インプラント部品込み):165,000円
サージカルガイド(補助装置):55,000円
(2024年3月現在)
リスク・副作用 ・インプラント埋入するために、外科的な処置が必要となります。その為、一過性、場合によっては持続的に、唇・舌・頬・口蓋・歯肉・歯牙等の感覚麻痺、切開に起因する瘢痕組織による知覚異常が起こる可能性があります。
・インプラント手術時に、ドリルの様な器具を使用する為、接近歯の損傷が起こることもあります。
・インプラント体と骨との結合不全が起こる可能性があります。その場合は治療期間が伸びることがあります。
・インプラント埋入手術は複雑であり、結果が予想通りに成功しない場合があります。しかしインプラントを受けられる皆様に作製しているサージカルガイド(補助装置)の使用により、そのようなリスクが軽減されています。
・術後、痛みや腫れといった症状が出ます。こちらは個人差もありますが、約1〜2週間程続きます。痛みは痛み止めでしのげる程度です。
・人によっては頬っぺた側に内出血がでることがございます。ただ約1週間程で消えていくのでご安心ください。
・ソケットリフトによって骨造成を行った場合、鼻出血する場合があります。術後は鼻を強くかまないようにしていただきます。
治療方針 右上6番は根の治療を行った歯でしたが、歯ぐきが腫れており、レントゲン撮影を行いました。
それにより、根の先に膿が確認されたため再度根の治療を行って回復が見込めるかと思いましたが、実際に被せ物を外してみると歯根が破折していました。
骨吸収を懸念し、抜歯即時でインプラントを埋入しました。
特記事項 今回のケースのように、根の先に膿ができてしまう原因の1つが、歯根破折によることもあります。
担当者所見 神経をとってしまうと、天然の歯に比べるとかなりもろくなってしまいます。
それに歯ぎしり・食いしばりによりご自身の体重の2倍の力が加わり歯根破折へとつながっていきます。

神経の治療されている方には、ご自身の歯を守るためにナイトガード(就寝時に装着するマウスピース)がかなり重要になってきます。

自分の歯はどうなんだろう?と心配されてる方は、ぜひご相談ください!

症例7

before

after

before

治療前②

after

治療後②
年齢・性別 64歳・女性
主訴 右上2番のブリッジの欠損部位の歯ぐきが下がり隙間が大きくなっており、発音のときに空気が抜けてしまう。
また左右の奥歯にもブリッジがあるので欠損部位のインプラント治療、保険治療の被せ物もせっかくなので白くしたい。
治療内容 右上2番、右上5番、左上5番のインプラント治療
それ以外の右上6番から左上6番の被せ物
抜歯時間 約1年
費用 合計:3,126,200円
・内訳
インプラント治療の為の診断費用:55,000円
インプラント埋入料(1本):165,000円×3
アバットメント費用:22,000円×3
骨補填材費用(ソケットリフト):110,000円
骨補填材費用(GBR法):110,000円
仮歯(インプラント部品込み):55,000円×3
ジルコニアステイン(インプラント部品込み):187,000円×2(上顎左右5番)
ジルコニアボンド(インプラント部品込み):242,000円(右上2番)
サージカルガイド(補助装置):77,000円
仮歯(院内技工):3,300円×9
仮歯(技工所作製):5,500円×9
ジルコニアボンドクラウン:176,000円×7
(左右4番から4番まで)
ジルコニアクラウン:60,500円×2(左右6番)
(2024年1月現在)
リスク・副作用 ・仮歯の期間は材質がプラスチックでできている為、取れやすかったり、固いものを食べると壊れてしまうことがあります。
・最終的な被せ物が入った際には、最初はかみ合わせの高さやきつさに違和感を覚えることがありますが、時間の経過とともに解消されます。

・インプラント埋入するために、外科的な処置が必要となります。その為、一過性、場合によっては持続的に、唇・舌・頬・口蓋・歯肉・歯牙等の感覚麻痺、切開に起因する瘢痕組織による知覚異常が起こる可能性があります。
・インプラント手術時に、ドリルの様な器具を使用する為、接近歯の損傷が起こることもあります。
・インプラント体と骨との結合不全が起こる可能性があります。その場合は治療期間が伸びることがあります。
・インプラント埋入手術は複雑であり、結果が予想通りに成功しない場合があります。しかしインプラントを受けられる皆様に作製しているサージカルガイド(補助装置)の使用により、そのようなリスクが軽減されています。
・術後、痛みや腫れといった症状が出ます。こちらは個人差もありますが、約1〜2週間程続きます。痛みは痛み止めでしのげる程度です。
・人によっては頬っぺた側に内出血がでることがございます。ただ約1週間程で消えていくのでご安心ください。
・ソケットリフトによって骨造成を行った場合、鼻出血する場合があります。術後は鼻を強くかまないようにしていただきます。
治療方針 今回、上顎左右6番から6番までの治療だったので、かみ合わせや見た目が綺麗に揃うように、一緒に全て作製していきました。
特記事項 60歳以上でもインプラント治療はできますか?
担当者所見 60代以上の方でも精密な検査をして、十分な骨の量があり、重度の歯周病でなく、外科処置が可能な方であればインプラント治療は可能です!

年齢を重ねると特に女性は男性よりも、骨がもろくなる傾向が高いです。今回のように前歯にインプラント治療をしたくても、年齢が進むに連れて、骨が薄い・骨が出来にくい状態になっている事が考えられます。
そのため「あの時にインプラント治療しておけばよかったなぁ」と思われる方もいらっしゃいます。

またブリッジですと、歯のない部分の骨がどんどん吸収されるので、上にのっている歯ぐきも一緒に下がります。それにより、最初は歯ぐきにピッタリとくっついて食べかすが挟まったりすることもないのですが、徐々に隙間ができてしまい、今回の方のように隙間に食べかすが詰まりやすくなります。また前歯だと特に発音時に空気が抜けてしまいます。
しかしインプラントですと、歯ぐきから立ち上がるように被せ物を入れることができるため、見た目もかなり自然です。

私にはインプラントができるのだろうか?と悩まれてる方は、是非一度お口の中を見させてください!
関連ページ