そもそも「インレー」ってなんだろうと思われる患者さんが非常に多いと思います。
「インレー」とは、歯の部分的な虫歯などを治す治療方法となります。
良く「インレー」と「クラウン」の違いが分からないとおっしゃる患者さんがいますので、説明しますと「クラウン」は、全部被せる治療方法で「インレー」は、部分的に治す方法となります。
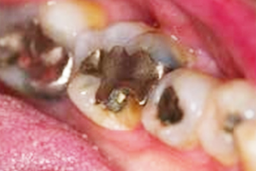
写真は、「メタル(銀歯)インレー」と呼ばれ、金属で部分的に治す方法となります。いずれにしても歯の部分的な治療で、詰め物をする方法を「インレー」と呼びます。
現在の治療費と異なる場合がございます。最新の治療費は料金表をご確認ください。
目次
そもそも「インレー」ってなんだろうと思われる患者さんが非常に多いと思います。
「インレー」とは、歯の部分的な虫歯などを治す治療方法となります。
良く「インレー」と「クラウン」の違いが分からないとおっしゃる患者さんがいますので、説明しますと「クラウン」は、全部被せる治療方法で「インレー」は、部分的に治す方法となります。
写真は、「メタル(銀歯)インレー」と呼ばれ、金属で部分的に治す方法となります。いずれにしても歯の部分的な治療で、詰め物をする方法を「インレー」と呼びます。
「タップで再生」
※音が出ますのでご注意ください。
インレーとは何か、材質について、保険・自費の治療の違い等を詳しくご説明した動画です。
ぜひご覧ください。
ジルコニアは、皆さんもご存知な方が最近増えてきていると思いますが、白い真珠とも呼ばれています。
人工ダイヤとも呼ばれアクセサリーなどでも有名だと思います。
ジルコニアは、二酸化ジルコニウムを指しており、非常に強度の高いセラミックとなります。
非常に硬いので、現在までは細かい加工が難しく削り出すことができませんでしたが、技術の進歩と共に細かい部分まで削り出すことが可能となりました。
いわゆる我々が、セラミックインレーと呼んでいる材質になります。e-maxインレーは、二ケイ酸リチュウムと呼ばれる素材を使用しています。見た目が非常に良いですので、前歯のかぶせ物でも使用されることが多いです。
また、奥歯でもインレーとしても使用されますが、強度がジルコニアセラミックに比べると劣る部分がありますので、患者さんのかみ合わせの強さにより選択されない事もあります。
ジルコニアインレーは、非常に硬い材料となります。硬さは、1000mpa〜1500mpaと言われ、少し硬すぎるのではないかと言われています。天然歯の硬さは、400mpaですので数字で見ても硬いということが理解できると思います。
非常に硬いジルコニアインレーは、割れたり削れたりする事が少ないです。その代わり、対合する歯を削ってしまうこともあるくらいです。
そのためジルコニ自体の寿命は、半永久的に持つと言われていますが、それに用いるセメントの寿命があり、約10年くらいと言われています。 (メンテナンス頻度やマウスピース使用頻度やお口の中の衛生状態により変化します。)
e-maxセラミックインレーは、非常に見た目が良く、見える範囲において用いられることが多いです。例えば下顎のインレーで使用されることが多いです。硬さは、400mpaですのでほぼ天然歯と同じ硬さになります。
臨床の中でやはり歯ぎしり・食いしばりが強い患者さんに用いるとほぼ割れてきますので注意が必要となります。寿命は、平均10年くらいと言われています。 (メンテナンス頻度やマウスピース使用頻度やお口の中の衛生状態により変化します。)
セラミックの寿命
セラミックインレーに限ったことではないですが、日本人の70%以上が歯ぎしりを経験した事があり、コロナによるストレスにより現在は、もっと増えていることが予想されます。
セラミックの特徴として、衝撃に弱い点が挙げられます。グッと食いしばったり歯軋りの衝撃によりセラミックが割れてしまったり、セメントが外れてしまったりを防ぐには、ナイトガードの就寝時装着が重要となります。
また、ジルコニアインレーは、非常に硬い材質なのでナイトガードの装着をしなくても大丈夫だろう?と思われる患者さんもいらっしゃいますが、ジルコニアインレーも毎日の歯ぎしりで疲労が起こり、マイクロクラックが入ることで割れてしまいますのでご注意ください。
セラミックインレーを守る事だけではなく、ナイトガードは、虫歯や歯周病や顎関節症を予防することもできますので、多くの患者さんに私は、ナイトガードの装着を勧めています。
セラミックインレーは、保険の銀歯に比べると虫歯になりにくいという特徴があります。セラミックインレーに用いるセメントは、レジンセメントと呼ばれ、唾液に46時中唾液にさらされていても約10年は持つと言われていますので、虫歯になりにくい状態が続きます。
なので虫歯にならない訳ではありませんが、なりにくい状態が続くのがセラミックインレーの特徴になります。また、ジルコニアインレーやe-maxセラミックインレーは、そもそも汚れがつきにくい材料となりますので、その分虫歯にならないことも確かです。
インレーの虫歯の多くは、どちらかというと材料やセメントの問題よりも、メンテナンスに定期的に通い日々の歯ブラシをしっかりと行い、ナイトガードを装着して就寝することを繰り返せば虫歯になる確率は、非常に少なくなると思います。
ジルコニアインレー値段相場:
約44,000円〜66,000円
e-maxセラミックインレー値段相場:
約55,000円〜77,000円
セラミックインレーの値段相場は、関東近郊の20歯科医院の値段を調べた結果となります。
場所や技工士により値段が上下する事がありますので、ご注意ください。
夜間の歯ぎしりが強い方は、約100kgの力が歯に加わりますので、e-maxセラミックインレーでは太刀打ちできない場合があります。そのため、選択するのはジルコニアセラミックインレー1択となります。
歯ぎしり・食いしばり
歯の色と同じ色味を出すには、単色のジルコニアセラミックインレーでは、難しくなります。最終的な選択は、e-maxセラミックインレーとなります。
歯をできるだけ削りたくないとおっしゃる患者さんが多いことは確かです。我々歯科医師もできるなら歯を削りたくないです。
しかし、虫歯深ければ深い程歯を削らならければならないのが事実です。
なので、歯をどれくらい削る必要があるかを評価したいと思います。それで考えると1番強度のあるジルコニアセラミックインレーは、削る量が必然と少なくても良くなります。
できるだけコスパ良く銀歯を白くしたいとおっしゃる患者さんも多くいらっしゃいますが、価格だけではなく強度なども考慮して素材の選択を案内しています。
※ 横にスクロールできます
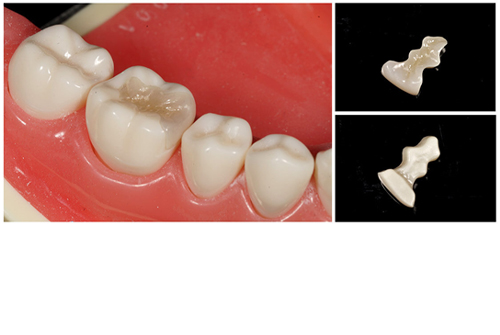
| ジルコニアセラミックインレー | e-maxセラミックインレー | |
|---|---|---|
| 写真 | ![]() |
![]() |
| 見た目 | ★★★ | ★★★★★ |
| 透明感 | ★★ | ★★★★★ |
| 自然感 | ★★★ | ★★★★★ |
| 耐久性 | ★★★★★ | ★★★ |
| 精度 | ★★★ | ★★★★ |
| 汚れ | ★★★★ | ★★★★ |
| 臭い | ★★★★ | ★★★★ |
| 着色 | ★★★★ | ★★★★ |
| 値段 | 66,000円 | 66,000円 |
| 保証 | 2年 | 2年 |
誰しもが口を開いて大きな声で笑った際に、銀歯がキラッと光るよりも綺麗な白い歯に憧れると思います。そのため、銀歯を綺麗な白い歯に変えたいとおっしゃる患者さんは、多くいらっしゃいます。では、どのような材料を選択するかとなりますが、やはり1番天然の歯に近い材質は、e-maxセラミックインレーとなります。
現在、日本人の約8割の方が大なり小なり歯ぎしりをしていると言われています。そのため、多くの患者さんが大人になって歯ぎしりで歯と歯の間が擦れて虫歯になるケースが散見しています。そのような場合は、強度を要するジルコニアセラミックインレーを選択する必要があります。
やはりジルコニアセラミックインレーは、硬い材質なので割れないというメリットともし予想以上に強い力が強い力が加わった場合は、外れてくれるという可能性もあります。やはり、歯ぎしり食いしばりには、ジルコニアセラミックインレーが第一選択となります。
セラミックインレーの治療は、直ぐに削って型を採り、次回セットという事ができます。セラミッククラウンの時とは、大きな違いになります。
どのセラミックインレーの場合、通常上記のような内容の治療手順を踏むことになります。渋谷歯科では、ジルコニセラミックインレーは、色採りをカメラでは行わないこともありますが、e-maxセラミックインレーの時は、カメラでしっかりと色とりを行い天然歯の色と同じような仕上がりになるように製作します。
「タップで再生」
※音が出ますのでご注意ください
安心してセラミックインレーの治療を受けていただくために、渋谷歯科では、セラミックインレー保証制度があります。
最低でも半年に1度は、定期検診でクリーニングやチェックを受けていただくことが条件となりますが、セラミックインレー装着より2年間は、割れたり欠けたりした際に無償にて補償を行います。
夜間に歯ぎしり・食いしばりが強い方は、ナイトガードの装着が補償の条件となってきますので、ご理解ください。基本的にセット後のセラミックインレーの返金は行っておりません。
※ 横にスクロールできます
| インレー種類 | 料金 |
|---|---|
| ジルコニアセラミックインレー | 66,000円(税込) |
| e-maxセラミックインレー | 66,000円(税込) |
| 神経の治療 | 歯種による約3,000円〜5,000円(保険適用) |
| 神経を守る治療 | 約2,000円(保険適用) |
| 技工士立会 | 1回11,000円 |
保険で白くできないか?という質問を多くの患者さんから頂きます。保険の場合、小臼歯・大臼歯の奥歯に関して、噛む面だけを限定的にCR(コンポジットレジン)プラスティックを用いて治療することはあります(写真参照)が、多くの方は、噛む面ではなく歯と歯の間の虫歯になります。
そうなるとCR(コンポジットレジン)プラスティックでは、割れる欠けるが多発しますので、保険で治療することは行わないことが多いです。
また、クラウンと呼ばれるかぶせ物となると保険でも白いCADCAM冠が認可されておりますが、歯種が限定されたり、部位が限定されますので、下記のページを参考にしてください。
現在の治療費と異なる場合がございます。最新の治療費は料金表をご確認ください。


※ 横にスクロールできます
| 年齢・性別 | 20代・女性 |
|---|---|
| 治療期間 | 2ヶ月 |
| 治療回数 | 3回 |
| 治療内容 | セラミックインレー、セラミッククラウン |
| 治療本数 | 4本 |
| 治療費用 | 合計:220,000円 (内訳) セラミックインレー:55,000円×3本 ジルコニアクラウン:55,000円×1本 |
| 治療方針 | できるだけ削る量を少なくして、 神経の治療とならないようにする。 |
| リスク・副作用 | 虫歯を取り切った後に、歯の神経が露出しなくとも染みたり痛みが出る可能性があります。 |
| ドクターコメント | 銀歯を外してみると中で所々、 虫歯になっている箇所があった。 そのため、虫歯を全て除去した 。虫歯を除去すると神経に近い部分もあったので、 一旦仮フタでしみないか?を確認してから、 最終的な型採りをして完成となった。 |


※ 横にスクロールできます
| 年齢・性別 | 50代・男性 |
|---|---|
| 治療期間 | 約2週間 |
| 主訴・治療部位 | 左下6番 定期検診にて虫歯を発見 |
| 治療内容 | 虫歯を除去し、範囲が大きかったためインレーの形体で治療を行いました。 |
| 治療本数 | 1本 |
| 治療費用 | ジルコニアインレー:49,500円 (2023年5月現在) |
| 治療方針 | 今後も定期検診でフォローアップしていく予定です。 |
| 特記事項 | かなりかむ力が強い方なのでジルコニアを選択しました。 |
| リスク・副作用 | 虫歯を取り切った後に、歯の神経が露出しなくとも染みたり痛みが出る可能性があります。 |
| 担当者所見 | 隣接面の虫歯は咬合力に寄るところが大きいため、ナイトガード等も併用していきます。 |




※ 横にスクロールできます
| 年齢・性別 | 30代・女性 |
|---|---|
| 治療期間 | 2日 |
| 主訴・治療部位 | 左下5番に虫歯がある |
| 治療内容 | 左下5番のアマルガムの下が虫歯になっていたため除去しセラミックにて治療を行いました。 また右下6番のアマルガムと虫歯を除去し保険のコンポジットレジンにて修復しました。 |
| 治療本数 | 2本 |
| 治療費用 | 合計:61,200円 (内訳) 左下5番セラミックインレー:60,500円 右下6番コンポジットレジン:約700円(保険) (2023年1月現在) |
| リスク・副作用 | 虫歯を除去し歯の中の神経が露出しなくても修復後に、しみたり痛みが出る可能性があります。 |
| 治療方針 | 古い修復物を除去し虫歯を除去して新しい材料に置き換えます。 治療と並行して歯ぐきの状態を整える治療も行なっています。 |
| 担当者所見 | アマルガムには水銀も含まれており、現在治療で使用することはほとんどない材質です。 そのため、今後の人体への影響も考慮し除去を行いました。 |


※ 横にスクロールできます
| 年齢・性別 | 30代・男性 |
|---|---|
| 治療期間 | 2日 |
| 主訴・治療部位 | 定期検診にて、左下6番に虫歯を認めました。 |
| 治療内容 | 左下6番の銀歯の縁が虫歯になっていたので除去しセラミックにて治療を行いました。 |
| 治療本数 | 1本 |
| 治療費用 | セラミックインレー:60,500円 (2023年8月現在) |
| リスク・副作用 | 虫歯を取り切った後に、歯の神経が露出しなくとも染みたり痛みが出る可能性があります。 |
| 治療方針 | 銀歯を除去し型取りを行い、次の来院時にセットしました。 |
| 担当者所見 | 治療してから5年から10年ほど時間が経過している銀歯の下は痛みがなくとも虫歯になっている可能性があります。 そのため定期検診や、レントゲンでの評価が重要になります。 |