前歯のセラミック
目次
前歯のセラミックの特徴と費用
「前歯のセラミック」ですが、皆さんは、なぜ、このページをクリックされましたか?ほとんどの方が、芸能人のようになりたいとこのページをクリックされたのではないでしょうか?
最近、非常に芸能 人の方が多く、前歯のセラミックを行うようになりましたね。なぜ、芸能人の方は、口元まで気にする ようになってきたのでしょうか?まずは、白い歯っていいなーって事よりお話したいと思います。

前歯のセラミックの種類
前歯のセラミックを行う場合にも様々な種類があります。代表的なものをここで紹介します。
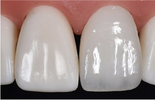
ジルコニアボンドクラウン
ジルコニアは、人工ダイヤと呼ばれるくらい、非常に強度のある素材になります。象が踏んでも壊れないという耐久性があります。 そのジルコニアの上にセラミックを盛り上げて自然な歯の仕上がりが再現できます。今のところ、前歯のセラミッック材料としては、最も良い材料となります。
オールセラミッククラウン
以前より前歯のセラミックといえばオールセラミッククラウンを指しておりました。見た目も非常にきれいな仕上がりとなります。 問題点は、強度になります。セラミック単体ですので、壊れやすいというデメリットもあります。
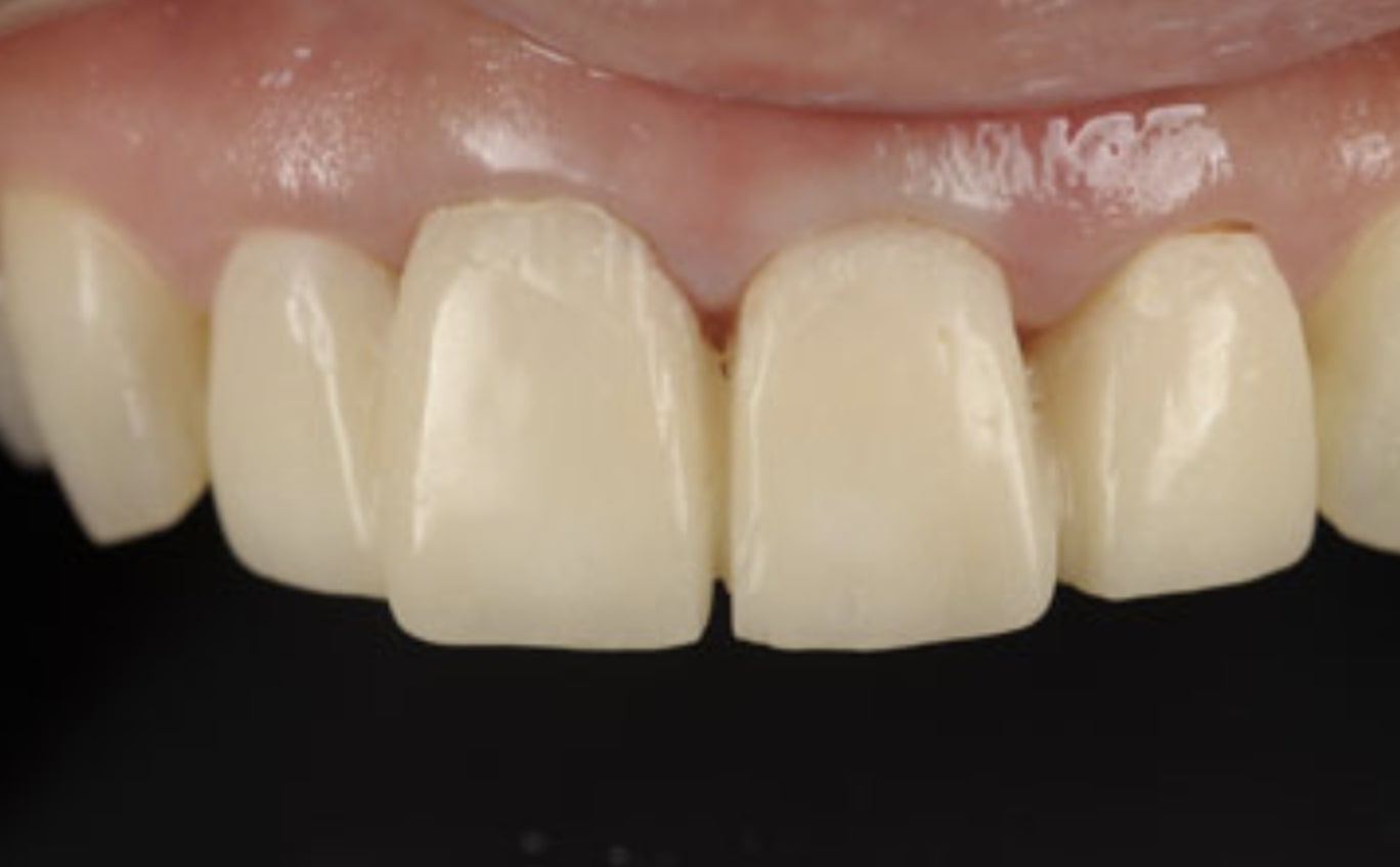
メタルボンドクラウン
金属の上にセラミックを盛り上げたかぶせ物になります。金属を用いているので、強度があります。見た目に関しても、技工士の卓越した技術で、非常にきれいな仕上がりとなります。 ひとつ問題といえば、金属アレルギーになります。金属を使用するために、金属アレルギーの方には、使用できませんし、金属イオンの流失により歯茎が黒くなったりすることがあります。前歯のセラミック費用相場
前歯のセラミックは、それぞれの材料により費用が変わります。また、それ以外にも費用がかかる場合 があります。 例えば、仮歯です。その他にも土台です。土台が保険な場合、金属ですので、のちのち金属イオンの流失 で歯茎が黒くなったりするため、レジンコアと呼ばれるプラスティックな素材にやりかえる費用が発生します。また、根本的に歯の根の状態が良くない場合は、根の治療をやり直す必要があります。下記にそれぞれの平均的な費用相場を掲載しましたので参考にしてください。※ 横にスクロールできます
| 仮歯(テック) | 1本 2,750円(税込) |
|---|---|
| 土台 | 1本 約3,000円(保険) |
| 根の治療 | 1根 約3,000円(保険) |
| ジルコニアボンドクラウン | 1本 165,000円(税込) |
| オールセラミッククラウン | 1本 110,000円(税込) |
| メタルボンドクラウン | 1本 132,000円(税込) |
前歯のセラミックの寿命
セラミックの寿命は、素材の寿命というよりも、日々の歯ブラシや定期検診で大きく変わってきます。セラミック自体の寿命は、割れない限り使い続ける事ができます。 他の寿命を左右する因子は、虫歯・歯周病・歯ぎしり・食いしばりとなり、日々のブラッシングやナイ トガードによる予防で寿命が大きく変わります。やり変えなく過ごせる期間は、平均10年と言われおり、それよりも長く使い続けるには、歯ブラシとナイトガードが重要です。 また、変わる口腔内環境に対応していくには定期検診が重要となります。定期検診により、歯のバイオ フィルム・歯石除去して、かみ合わせや歯肉の状態も確認する必要があります。セラミックを行ったから、定期検診や歯のクリーニングやナイトガードが必要なのではなく、ご自分の歯であっても同じことで、メンテナンスや予防は必須となります。セラミックの寿命
前歯のセラミック注意点
- 神経の治療 以前に歯の神経の治療を行っている場合は、根の治療を行う必要があるかもしれません。歯の土台 歯の神経の治療をした際に、歯の土台を通常入れています。その土台が金属である場合は、やりかえる必要があます。初めは少し歯がしみる 歯の神経の治療を行わない場合は、歯の神経が生きていますので、初めは、しみることがありますが、正常な反応です。
- 歯ぎしり・食いしばり セラミックは、強度的に弱い部分があります。ぶつけたり、夜間の歯ぎしり・食いしばりでかけたり、壊れたりすることがあります。虫歯や歯周病 セラミックのかぶせ物をしても、虫歯や歯周病になります!かぶせ物をしたら虫歯や歯周病にならないと思っている患者さんがいますが、そんなことはありません。歯を磨かなければ隙間から虫歯になりますし、歯周病にもなります。
- 仮歯の状態で放置は厳禁 治療中の仮歯は、仮のセメントですので、とれやすいですし、そのままにしていると虫歯や歯周病になり、かぶせ物を入れることも難しくなります。仮歯の状態で放置することは、絶対に避けましょう。 仮歯の調整に時間がかかる場合がある セラミックを入れるには、患者さんの日々の歯ブラシで歯肉から出血しないという条件も必要で すが、歯科医師の仮歯と歯肉とのマッチングの技術も必要になり、こだわるドクターは、仮歯の調整に回数をかけます。 また、仮歯で最終的なかぶせ物の形態を再現することができれば、最終的なセラミックも非常に綺麗に仕上がります。
前歯のセラミックのメリット・デメリット
前歯のセラミックのメリット
- 歯列矯正と違い、歯並びを短期間で整えることができる やはり歯列矯正だと2年くらい歯に装置を装着する必要がありますが、セラミックだと1ヶ月から 2ヶ月で治療が終わるので比較的短期間となります。
- セラミックは短期間で白い歯を手に入れることができる 歯の色は、ホワイトニングで歯の漂白をすることにより、歯を白くすることができますが、後戻りや時間もかかりますので、一気に輝く白い歯を得たいという人は、セラミックがおすすめになります。
- 経年劣化が少ないのがセラミックの特徴です(ハイブリッドセラミックを除く) セラミックは、陶材をさし、お茶碗や湯のみをイメージしてもらえば判りやすいと思いますが、どんなにお茶を飲んでも、どんなにお皿にソースをかけても着色しないように、セラミックも同じことが言えます。
- 金属アレルギーにならない 最近では花粉症など様々なアレルギーがみられ、そのひとつに金属アレルギーもあります。金属アレルギーは、金属イオンの流失により、体内に金属イオンが取り込まれてアレルギー反応がおこりますが、セラミックの場合は、金属を使用していませんので、金属アレルギーの心配がありません。(メタルボンドクラウン除く)
- 歯肉への影響が少ない セラミックは、歯肉への影響が少なく、汚れなどもつきにくいというメリットがあります。
前歯のセラミックのデメリット
- 歯を削らないといけない セラミッククラウンを入れる際の1番のデメリットは、歯を削らないといけないことです。一旦削った歯は、もとに戻すことができません。やはり、歯を削ることへの歯へのダメージは、否めないと思います。 歯科医師の腕により差が出る、またセラミッククランを作製する歯科技工士の腕も関係があります。セラミック治療は、ドクターの仮歯の調整や歯肉の仕上がりなど、ただ削ってかぶせ物を行うといった美容 歯科レベルから審美歯科最高峰レベルまで、様々なレベルのドクターがいます。 腕のあるドクターかどうかを選ぶ基準は、症例写真になります。自信のある歯科医師は、綺麗な症例写真をたくさん載せていると思います。それ対して、自信のない歯科医師は、数枚の症例写真のHPへの掲載で終わっていると思います。
前歯のセラミック治療の流れ
1日目
- レントゲン診査
- 歯周病検査
- 口腔内写真
- 顔貌写真
- 模型作製用型採り
- かみ合わせ

2日目
- 診断用ワックスアップの確認(仕上がりの確認)
- 仮歯の形をチェック
- 深い虫歯などなければ削って仮歯を合わせます
- 根の治療が必要ならば行う
- 土台のやり変えが必要なら行う
- 歯肉の高さを変える手術を希望ならば行っていく
- 虫歯が深く根の治療が必要ならば行う

3日目
- 仮歯と歯肉マッチング具合をチェックする
- 仮歯のかみ合わせをチェックする

4日目
- 仮歯の状態に問題がなければ精密な型採りを行う
- 歯の色味をとる

5日目
- 試し入れを行い、フィットやかみ合わせや色味をチェック

6日目
- 完成したセラミックをセメントで歯に接着

7日目
メンテナンスを3ヶ月から4ヶ月に1度行っていきます。メンテナンス時には、他の歯のクリーニングも行い、セラミックの部分は、バイオフィルム除去やクリ ーニングを行います。前歯のセラミック保険
小臼歯(前から数えて4・5番目)は、CAD/CAM冠と呼ばれるハイブリッドセラミッククラウンは、2017年4月より保険診療として認められるようになりました。 残念ながら前歯では、認められていないために、適応とはなりません・将来的に材料などが進化して安くて強度が高いセラミックブロックが開発されると保険でも認められるようになると思います。 写真のようにハイブリッドセラミックのCADCAMブロックを削り出し前歯も保険適用になる日は、そう遠くはないのではないでしょうか?前歯の白いかぶせ物が保険で!
他の前歯の治療
セラミックを行わないで治療する方法もいくつかあります。
歯並びを変えたい・歯の色を変えたい・かぶせ物を新しくしたい・歯の形を変えたい、などと目的により違います。
- 矯正歯科で歯並びを変える
- 保険のかぶせ物で歯の色を変える(レジン前装冠 ※右画像)
- CRやダイレクトボンディング歯の形を変える

