ダイレクトボンディングの素材
素材には、保険適用のコンポジットレジン(CR)が用いられます。
ダイレクトボンディングは、ほぼ1日の治療で完了します。
目次
ダイレクトボンディングとは、前歯や虫歯の穴が小さい場合、インレーでの治療ではなく、ペースト状の素材を直接歯に詰める治療法です。
ダイレクトボンディングとは、前歯や虫歯の穴が小さい場合、インレーでの治療ではなく、ペースト状の素材を直接歯に詰める治療法です。
素材には、保険適用のコンポジットレジン(CR)が用いられます。
ダイレクトボンディングは、ほぼ1日の治療で完了します。
銀歯を取り除く際は、削った銀歯が飛び知って体内に入らないように、特殊なゴムのマスクを装着します。写真の銀歯は、銀歯の中でも金銀パラジュウム合金で作られており、銀歯の中では、安定性に優れた材料です。
銀歯を削った際は、細かい銀歯の削りカスがでますので、ゴムのマスクが活躍します。
歯とハイブリッドレジンを接着させるために、初めに接着剤をつけていきます。ほんの数秒ですので、なんの違和感もありません。また、ゴムのマスクをつけているので、喉の方へ流れ込むこともありません。
初めは比較的濃いめのハイブリッドレジンを使用し、中の部分から詰めていきます。
上の部分のハイブリッドレジンを盛り上げて、透明感や色のバランスを計ります。
ゴムのマスクを外して最終研磨を行います。見た目も天然の歯と変わらない綺麗な仕上がりとなります。
以前はアマルガムを充填する治療が盛んに行われていました。金属アレルギーの原因となったり、再び虫歯になりやすいということで、現在ではほとんど行われなくなっています。
まずは虫歯が残っていないか確認を行います。写真の赤い液は、虫歯が残っていないか一目でチェックできる虫歯検知液です。
削った穴の中に茶色の部分が見えると思います。こちらは、虫歯ではなく、金属イオンの着色です。虫歯検知液でしっかりと虫歯が残っていないかをチェックし、この茶色の部分が虫歯かどうかをしっかりと判断します。
保険のコンポジットレジンではなく、保険外のハイブリッドセラミックレジンを削った穴の中に詰め込み、光で固めて、研磨を行った状態です。
自転車の転倒などで前歯が欠けた場合、神経に到達していないかがポイントになります。神経まで達した場合は根の治療が必要となり、治療回数は増えます。
コンポジットレジンを下のベースとして固めてから、ハイブリッドコンポジットを歯の色調を意識して盛り上げ成形します。
※ 横にスクロールできます
| 治療内容 | 写真 | 部位別の価格 | 特徴 | |
|---|---|---|---|---|
| 前歯 | 臼歯 | |||
| コンポジットレジン(CR) 単純 |
![]() |
4,070円 「※870円(2,900円の3割負担) +初診料検査料3,200円」 |
4,070円 「※870円(2,900円の3割負担) +初診料検査料3,200円」 |
プラスティック。 強度が弱く変色しやすい |
| コンポジットレジン(CR) 複雑 |
![]() |
4,280円 「1,080円(3,600円の3割負担) +初診料検査料3,200円」 |
4,280円 「1,080円(3,600円の3割負担) +初診料検査料3,200円」 |
プラスティック。 強度が弱く変色しやすい |
| ハイブリッドセラミック 直接法単純 |
![]() |
10,000円+税 | 10,000円+税 | 強化プラスティック。 強度があり変色しにくい |
| ハイブリッドセラミック 直接法複雑 |
![]() |
30,000円+税 | 30,000円+税 | 強化プラスティック。 強度があり変色しにくい |
現在の治療費と異なる場合がございます。最新の治療費は料金表をご確認ください。


| 年齢・性別 | 40歳・女性 |
|---|---|
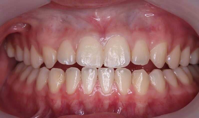
| 主訴 | 矯正の後に前歯の隙間が気になるようになった。 |
| 治療内容 | ダイレクトボンディング |
| 治療期間 | 1日 |
| 治療費用 | 33,000円 (2022年10月現在) |
| 治療方針 | 歯を削らずに修復したいとのことで、直接樹脂を接着し修復しました。 |
| 治療の リスク |
樹脂を接着しているが脱離する可能性があります。 経年的に、樹脂に着色してきます。 |
| 担当者所見 | 前歯の隙間に関して、歯を削らずに隙間を埋めました。 1日で治療が完結するため、通院に回数が少なく治療を終えました。 |


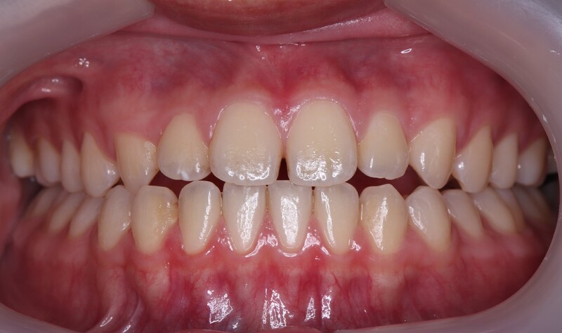
| 年齢・性別 | 20歳・男性 |
|---|---|
| 主訴 | 主訴:前歯の隙間を埋めたい 治療部位:右上1番、左上1番 |
| 治療内容 | 右上1番、左上1番のダイレクトボンディング |
| 治療期間 | 1時間 |
| 治療費用 | 合計66,000円 (内訳) ダイレクトボンディング:33,000円×2本 (2023年8月現在) |
| 治療方針 | 前歯の隙間が気になるとのことでご来院されました。歯ぎしりが強く横に広がってしまうためナイトガードを今後作製していきます。 |
| 治療の リスク |
前歯で固いものを噛むと外れる可能性があります。プラスチックの素材なので着色や変色しやすいです。 |
| 特記事項 | かみ合わせが強いため外れたり欠けやすいことをご了承いただいた上で治療を行いました。 |
| 担当者所見 | 患者さまに色味、形を一緒に確認していただき、ご満足いただけました。 |