セラミックを入れても虫歯になることはあります。歯と詰め物の間のミクロンの隙間から細菌が入って虫歯が広がる可能性もゼロではないです。ただ銀歯は平均寿命が5年と言われています。
よく錆びたり汚れたりしている小銭を見たことがありませんか?金属は汚れがつきやすいのです。
それに比べセラミックはツルツルしているため汚れが付きにくく、しっかりと歯にフィットしてくれるため再発率は金属に比べかなり少ないと言われています。
現在の治療費と異なる場合がございます。最新の治療費は料金表をご確認ください。
目次
セラミックを入れても虫歯になることはあります。歯と詰め物の間のミクロンの隙間から細菌が入って虫歯が広がる可能性もゼロではないです。ただ銀歯は平均寿命が5年と言われています。
よく錆びたり汚れたりしている小銭を見たことがありませんか?金属は汚れがつきやすいのです。
それに比べセラミックはツルツルしているため汚れが付きにくく、しっかりと歯にフィットしてくれるため再発率は金属に比べかなり少ないと言われています。
レントゲンは白と黒で画像が出されその中から虫歯なのかどうかを診査しています。金属は真っ白、プラスチックは少し黒くうつり、その間の色がセラミックと言われています。
そのため詰め物(インレー)の下の虫歯に関しては色の差異で虫歯を診断することができますが被せ物(クラウン)に関しては全てが白くうつってきてしまうため虫歯を発見するには至難の技です。
金属でもセラミックでも被せ物が入っている場合は痛みが出て、被せ物を外して虫歯が見つかるのがほとんどになります。
セラミックやインプラントなど高額なものも「機能回復」という治療に入るため医療費控除対象になります。
またデンタルローンも医療費控除の対象になる事もあるので虫歯が多いけどセラミックは高いから厳しい!でも銀歯は嫌!という方はデンタルローンを検討されるのもいいかと思います。
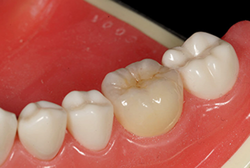
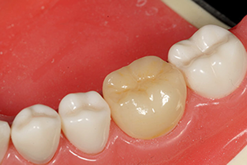
オールセラミック:
e-MAXインレーになります。こちら見た目硬さなど現在セラミックインレーの中で非常に多く使用されている材質になります。
ジルコニア:
非常に硬い材質ですのでそれ自体が壊れたりすることはないですので、セメントの寿命が関係してきます。単色のためお色見合わせはあまりできませんが、最新のジルコニア(FCZ)であればお色見合わせが可能で、硬さもよりはに近いものとなっております。
※ 横にスクロールできます
| 材料 | 治療タイプ | 費用 |
|---|---|---|
| セラミック | インレー | 66,000円 (相場 32,780円〜70,400円) |
| クラウン | 132,000円 (相場 88,000円〜220,000円) |
|
| ジルコニア | インレー | 66,000円 (相場 52,800円〜70,400円) |
| クラウン | 77,000円 (相場 55,000円〜110,000円) |