我々の歯科医院では、セラミックの中でもジルコニアセラミックを得意として扱っています。ジルコニアセラミックは、象が踏んでも割れない強度が売りの材料でした。以前は、硬すぎるが故に加工が難しく歯のかぶせ物としては、不向きだと言われていましたが、材料の進歩と共に加工ができるようになり、現在では、セラミックのかぶせ物でも主流となってきています。
また、機械で削り出して加工するので、時間や手間も以前に比べると改善されて、セラミックの価格も抑えることができるようになりました。昔は、セラミックのかぶせ物1本100,000円は、当たり前の時代でしたがジルコニアセラミック1本55,000円と価格帯をできるだけ抑える事ができるようになりました。
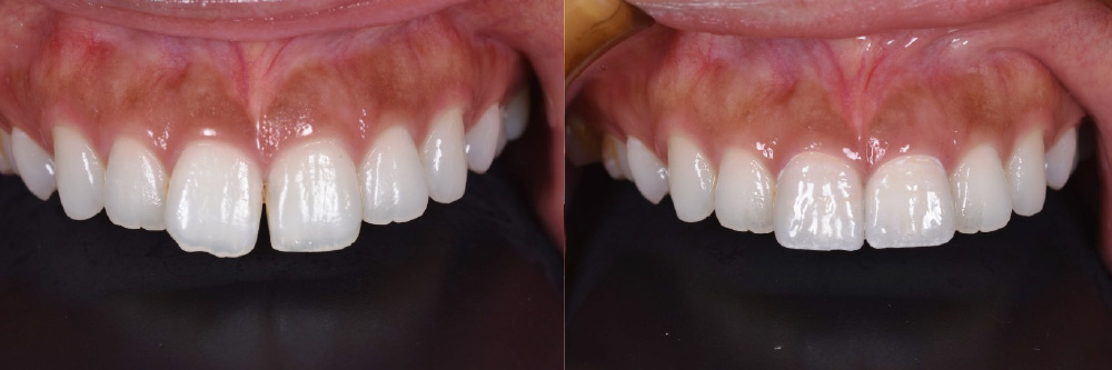
渋谷歯科のジルコニアセラミックは、「安い・軽い・強い・優しく安全」これが1番の特徴になります。前歯で天然の歯のように自然観を持ったセラミッククラウンにしたい場合は、やはりジルコニアボンドクラウン1本187,000円を選択された方が、断然満足度が高いでしょう。なのでご自分の中でどのジルコニアセラミックが自分の希望なのかを予算もあると思うので、前もって選択されて来院されると良いかと思います。




