歯を失った場合の治療
目次
歯を失った場合の
治療について
歯を失った場合の治療の種類は下記の3つの治療法があります。
- インプラント治療
- ブリッジ
- 入れ歯
インプラント
メリット
- 隣の歯を削らない
- しっかり噛める
- ブリッジや入れ歯に
比べて違和感は少ない - 見た目が天然の歯に
近いくらい回復できる
- 発音障害が少ない
- 長期間安定した
かみ合わせを維持できる - 顎の骨が痩せるのを
遅らせることができる - 噛む力が同じとは
言えないが天然の歯に近い
デメリット
- 金額が高い(500,000円以上)
- 時間がかかる
- 外科処置になる
- 全身疾患がある場合難しい
ブリッジ
メリット
- 治療期間がインプラントより短い
- 入れ歯と比べて取れない
- インプラントより高くはない
デメリット
- 両隣の歯を削らなければいけない
- 歯の神経がある場合、しみる症状がでる
入れ歯はどんな人に
オススメ?
- 費用をなるべく抑えたい
- 外科的治療が怖い方
- 歯を全体的に削りたくない
- 骨が少ない場合でも対応できる
- 骨粗鬆症の場合でも対応できる
- 全身疾患がある方でも対応できる
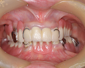
入れ歯で後悔した人が多いケース
- 下の入れ歯
- 片側のみの入れ歯
- 1,2本のみしか歯が
残っていない入れ歯 - 見た目が気になる
(ワイヤーが見える)
- 下の入れ歯は覆う歯ぐきが少ないこと、
舌があることにより入れ歯が安定しづらい - 片側だけだと入れ歯がシーソーのように
なりいたくなることがる - 歯が少ないと入れ歯が不安定になりやすかったり、
入れ歯の下の歯ぐきが痛くなることが多い
入れ歯でのリスク
- 顎の骨が痩せてきて、痛くなったり、外れやすくなる
- 新しい入れ歯は歯ぐきと擦れて痛くなる
- 違和感が大きい
- 話しにくい
- 物が噛みにくい
入れ歯で後悔しない
歯医者選び
- 問診をしっかりしてくれる今使ってる入れ歯の不満や悩みなどをしっかり聞き取ってくれる
- 長期的に寄り添ってくれる歯医者1回の治療で終わらず、ずっと入れ歯のメンテナンスを行ってくれる
まとめ
- 入れ歯のメリットデメリットを知って選択すべき
- 入れ歯の相談をよく聞いてくれる歯医者さんを選ぶ
- 入れ歯を作って終わりではなく定期的に病院に行き、診てもらうことが大切
