- 入れ歯は、2つ作ります。
- 初めから直ぐにかめるようにはなりません。
- 歯を抜いた部位が治るまでは、中敷きを敷いて調整を繰り返します。
- 下の入れ歯は、全部歯を抜くので入れ歯が浮いてくる可能性があります。
- 上の入れ歯は、歯が残るので留め金具で入れ歯を固定します。そのためある程度動かない状態となります。
- 保険診療、入れ歯の費用だけで約15,000×4個=約60,000円かかります。
歯がボロボロからの入れ歯
歯がボロボロで歯科医院が怖くて行けなかった。
歯がボロボロで歯科医院に恥ずかしくて行けなかった。
歯がボロボロで歯科医院でどんなことをされるのか?不安で行けなかった。
歯がボロボロでオールオン4しかないと言われたが高くて手が出なかった。
人それぞれ色々と怖かったり我慢されている悩みがあり、なかなか歯科医院に行くことができない人も多いと思います。
今回は、歯がボロボロの患者さまを入れ歯で救ったケースを説明します。
目次
初診日:歯がボロボロ
| 性別 | 女性 |
|---|---|
| 年齢 | 39歳 |
| 主訴 | かめない |
| 現病歴 | 小さな時から歯が弱く、通っていた歯医者で歯を全部削られて、被せ物を入れられた。 それ以来歯を磨くのが難しくなり、日に日に歯が抜け落ちて、残った歯もグラグラで食べ物を食べるのも難しくなってきた。 他の歯科医院では、オールオン4しかないと言われたが、そこまでの費用を出せる余裕はないとのことでした。 |
| 既往歴 | 喘息 |
| 初診日 | 2024.02.20 |
治療計画立案
上あごの左右6番目の歯を残して、それ以外は抜歯し、直ぐに入れ歯をセットして、調整を繰り返す。
半年後に2個目の入れ歯を製作するという治療計画を立てました。
2日目:説明
患者さまに初めに説明した内容です。
3日目:抜歯して入れ歯セット
歯を抜いて、出来上がった入れ歯をセットします。歯を抜く際は、必ず麻酔を効かせてから行うので、患者さまが痛みを感じることはありません。
完成した入れ歯は、歯がゆらゆら揺れている中でのかみ合わせなので、往々にしてズレることがあります。これを想定内として調整します。
患者さまは、初めての入れ歯でしたので、どのようなものか詳しく説明します。
4〜8日目:入れ歯調整
歯を抜いた部位の粘膜は、治っていく過程の中でどんどん変わっていくため、入れ歯の内面を敷き直します。また、かみ合わせも変わりますので、何度も調整が必要になります。
大体半年くらいの期間、調整を繰り返します。
9日目:約半年後チェック
歯を抜いてから、しばらく時間が経ち歯ぐきがだいぶ固まってきました。これより2個目の入れ歯の作製開始です。
保険で入れ歯を作製する際は、「6ヶ月ルール」という保険制度の決まりがあります。保険適用で入れ歯を作製した場合は、6ヶ月後でないと新しい入れ歯を作製することができません。今回もそのルールに則り、入れ歯を作製します。
10日目:簡単な型採り
まずは、固まってきた歯ぐきを確認してから、上下それぞれの入れ歯用に簡単な型をとります。
11日目:精密な型採り
次に当院では、保険治療でも歯科医師が個人トレーを無償で作ります。しかも型どりに使用した材料は、自費診療で使用するシリコン印象材です。
シリコン印象材を用いるとやはり非常にきれいに型をとることができます。
12日目:かみ合わせ
写真がなくて残念ですが、専門用語では、「咬合採得(こうごうさいとく)」と言い、上下のかみ合わせの垂直的な高さや水平的な位置を決めていきます。
13日目:見た目の確認
最終的な入れ歯の見た目を確認してもらいます。
ロウソクの蝋に実際の入れ歯の歯を並べて患者さまに確認してもらいます。また、かみ合わせの位置も確認します。最終チェックです。
患者さまの歯を並べるのも歯科医師が行います。もちろん時間がない時は、歯科技工士さんにお願いしますが、基本的には歯科医師が行います。
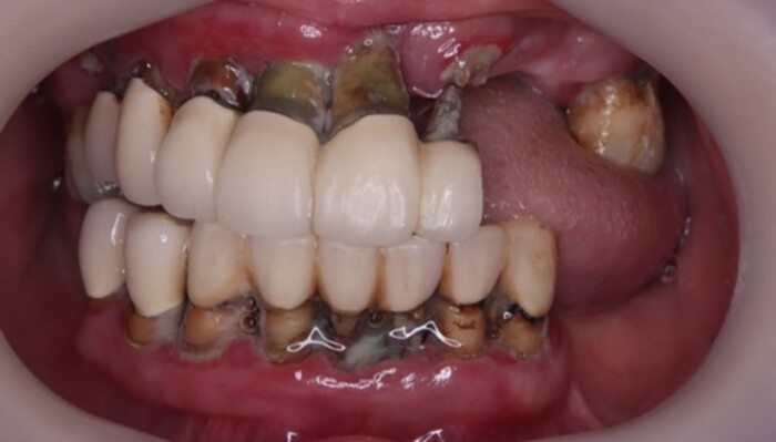
14日目:入れ歯完成
最終的な入れ歯になります。かみ合わせも見た目もしっかりと合っていると思います。
15日目:入れ歯調整
入れ歯をセットしてから1週間後に調整を行います。
患者さまは、下の前歯が少し痛むとおっしゃいましたが、それ以外は問題ないとのことでした。最終的な入れ歯は、かみ合わせも合い、見た目も問題なかったので、患者さまの満足度が高い仕上がりとなりました。
