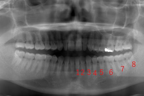
通常は17~22歳頃に出てきますが、まれに30~40歳頃に出てくることもあります。最近では、第三大臼歯は退化する傾向にある為、生えてこない人も増えています。親知らずは、ブラッシングをしても磨き残しが発生したり、まっすぐに生えていない為、歯肉に負担をかけたりするために、虫歯や歯肉炎になってしまう場合があります。写真では、歯に番号が振ってあり、前歯1番から数えて8番目が親知らずになります。このレントゲン写真では、親知らずが卵の状態でまだ抜くに至らない状態です。年齢は、16歳になります。この親知らずが卵の状態では、まだ抜歯するには時期早々になります。
親しらずの生える年齢と抜歯時期
親知らずと年齢
通常永久歯は6歳~12歳の間に乳歯と生え代わって28~32本が生え揃いますが、親知らずは、20歳をこえてから生えてくることが多いため、平均寿命が短かった時代には親が亡くなってから生えてくる歯だったためにこの名前が付けられたと言われています。
英語では親知らずのことをwisdom toothといいます。Wisdomは、知恵や分別をあらわす単語で、これは物事の分別がつく年齢になってから生えてくる歯ということから、こう呼ばれるようになったと言われています。つまり、18歳〜20歳くらいを指していると思われます。
親知らずはいつ出てきますか?
このような状態を避ける為に、親知らずを抜歯することもあります。親知らずを抜歯する年齢は、20歳前後が良いとされています。親知らずが生えてきたときに、そのまま残しておいた方がよいか、抜いてしまった方が良いかを、歯科医に相談して、もし抜歯したほうが良い生え方であった場合には、早めに抜歯をした方が、良い結果になります。
大きな理由としては、親知らずが生えてから長期間たつと、顎の骨に親知らずが定着してしてしまうため、抜歯が困難になるからです。また、年齢的に若い時期に抜歯をした方が骨の回復が早いという利点もあります。
歯科医で診察を受け、レントゲンの結果などから、抜歯をする必要がないと判断された場合以外には、できるだけ早く抜歯をして、虫歯や歯周病にならないようにした方が良いでしょう。
親知らずを抜く時期は?
顎の成長は、20代の内は続くと言われています。そのため、成長している間は、親知らずが顔を出してくる可能性があります。
親知らずが生えてくる際の1番の問題は、虫歯や歯周病や口臭など様々ですが、真っ直ぐ生えてくる場合は、抜く必要がない場合もあります。しかし、現代において多くの場合は、横や斜めに生えてくる方が多く、抜歯をした方が結果的に良い場合があります。また、親知らずが炎症などを起こしてから抜歯をされる方も多いですが、おすすめは、炎症などを起こす前に抜歯をされた方が良いです。理由は痛みが出てから抜歯をする際は、麻酔が効きにくいからです。痛い思いをして抜歯をするのではなく、麻酔が効きやすい状態で抜歯をされた方が患者さんもドクターも楽ですので、思い立ったら吉日です!早めに親知らずを抜歯しましょう。
他の観点から親知らずを抜く時期を考えると女性の場合は、妊娠出産の前に抜歯をされることをお勧めします。妊娠をされると痛み止めや抗生物質を服用することができませんので、腫れや痛みが出てもひたすら我慢するしかなく、清潔に保つために歯ブラシやうがい薬で凌ぐしかありません。またつわりなどで親知らずの1番奥まで磨くのも嗚咽でなかなかできない場合もあります。妊娠されるとホルモンのバランスがただでさえ崩れやすく、歯肉が炎症を起こしやすいので、
親知らずが生えても抜かなくて良い?
親知らずが生えてきたら、全て抜歯しなければならないか?と言えばそんな事はありません。レントゲン写真を見ると親知らずが4本全て真っ直ぐに生えています。このような場合は、親知らずを抜く必要がありません。以前は、日本の方でも多くの方が親知らずまで全て4本生えていましたが、現在は、顎の退化により親知らずが生えるスペースがないために、横や斜めに生えて悪さをするようになっております。
このように親知らずまでしっかりと4本生えている方は、比較的顎がしっかりとしている方が多く、横から顎を見ると角張っていかにも力が強い方に多いです。
