ある日、仕事で強いストレスを感じた夜のことでした。
帰宅後も気持ちは落ち着かず、布団に入っても頭の中はぐるぐると仕事のことばかり。なかなか眠れず、スマホを見てしまい、さらに寝つけなくなりました。
ようやく眠りについたのは、夜中の3時頃だったと思います。
本当にあった怖い
歯ぎしり・食いしばり
虫歯でも歯周病でもないのに、歯が痛くなった経験ありませんか?
歯科医院に行ってレントゲンを撮っても虫歯でも歯周病でもありませんので、様子を見ましょうと言われた経験ありませんか?
歯と歯を合わせるだけで、激痛が走り、食べ物を食べるのも億劫になったことありませんか?
今までこんな経験をしたことがなくまさか自分がこんなに歯ぎしりや食いしばりで苦しむ日がくるなんて思ってもいませんでした。
今回は、歯ぎしりや食いしばりで実際にあった症状に関して、詳しくお伝えしたいと思います。
目次
本当にあった
怖い歯ぎしり・食いしばり
「ガキッ」という音で目が覚めた
寝ている最中、突然「ガキッ」という音で目が覚めました。
何の音だろうと思いながら確認すると、なんと装着していたナイトガードが割れていました。
そのまま再び眠りにつきましたが、この時すでに異変は始まっていました。
朝、歯を合わせた瞬間に激痛
朝起きてうがいをし、軽く歯を合わせた瞬間、飛び上がるほどの痛みが走りました。
虫歯でもない歯がここまで痛くなるのか?頭の中は「?」だらけです。
朝食でパンを噛もうとしても痛くて噛めない。歯科医師である自分が何が起きているのか分からない状態でした。
原因は「噛み合わせのズレ」
すぐにレントゲンを撮影しましたが、「虫歯なし」「歯周病なし」と、異常は見つかりません。
同僚に相談し、噛み合わせを確認すると、一部の歯に強く当たりすぎている状態でした。
調整してもらうと、痛みは軽減します。
つまり、夜間に強い歯ぎしり・食いしばりが起こり噛み合わせがズレてしまったということです。
ナイトガードをしても痛みが出る理由
その日のうちに新しいナイトガードを作り装着しましたが、翌朝も同じように痛みが出ました。
CTでも異常は見つかりません。
最終的に分かったのは、歯に細かいヒビ(マイクロクラック)が入っていたということでした。
実は「昼間」も原因だった
さらに後から気づいたのは、以下のような事実です。
- 治療中に無意識に歯を食いしばっていた
- 日中も歯に強い力がかかっていた
つまり、夜だけでなく、昼間も歯に大きなダメージを与えていたのです。
専門医として伝えたいこと
正直に言うと、私は歯ぎしり・食いしばりを軽く考えていました。
しかし今回の経験で、以下のような歯ぎしり・食いしばりの恐ろしさを実感しました。
- ナイトガードが割れるほどの力
- 噛めなくなるほどの痛み
- 歯にヒビが入るダメージ
まとめ
- 歯ぎしり・食いしばりは想像以上に強い力がかかる
- 一晩で噛み合わせがズレることもある
- ナイトガードをしていても防ぎきれない場合がある
- 昼間の食いしばりも大きな原因になる
最後に
「私は大丈夫」と思っている方ほど注意が必要です。
- 朝起きると顎がだるい
- 歯がしみる・痛い
- 無意識に歯を噛みしめている
このような症状がある方は、一度しっかりチェックすることをおすすめします。
歯ぎしり・食いしばりで
歯がしみる?
「歯ぎしりや食いしばりで歯がしみる」そう聞いても、なかなかイメージできないのではないでしょうか?
実は私自身、歯科医師でありながら最初は全く想像できませんでした。
「虫歯でもないのに、なぜ歯がしみるのか?」そう疑問に思うのも当然です。

しみる原因は“ヒビ”です
歯ぎしり・食いしばりによって起こるのは、歯のすり減りではなく、”ヒビ(マイクロクラック)”です。
その流れを簡単に説明すると、以下の通りです。
① 歯ぎしり・食いしばり
強い力が歯にかかります。
② 歯にヒビ(マイクロクラック)が入る
目では見えない細かい亀裂が発生します。
③ 本来は修復されるが…
通常は唾液によって再石灰化されますが、睡眠中は唾液の働き(緩衝能)が低下するため、修復が追いつきません。
④ ヒビがさらに進行
繰り返しの負担でダメージが蓄積されます。
⑤ 神経に刺激が伝わる
ヒビから刺激が内部に入り、象牙細管を通して神経に伝わります。
⑥ 歯がしみる
アブフラクションとの違い
歯ぎしり・食いしばりによる「しみ」は、歯と歯の接触によって生じるヒビ(マイクロクラック)が原因です。
一方で、歯の根元がえぐれる「アブフラクション」も同じように知覚過敏の原因になりますが、これは別のメカニズムです。
まとめ
- 歯ぎしり・食いしばりで歯は
“割れるようにダメージを受ける” - ヒビ(マイクロクラック)がしみる原因になる
- 寝ている間は修復が追いつかない
- 虫歯がなくても歯はしみる
最後に
「虫歯じゃないのにしみるのはおかしい」そう思っていた方も多いと思います。
しかし実際には、歯ぎしり・食いしばりは”静かに歯を壊していく原因”です。
気になる症状がある方は、早めのチェックをおすすめします。
歯ぎしり・食いしばりで
歯が痛む?
「歯ぎしりや食いしばりで歯が痛くなることはあるの?」多くの患者さんは、そう思われるかもしれません。
しかし実際には、歯ぎしり・食いしばりが原因で歯が痛むことは十分にあります。
痛みの原因① ヒビからの刺激
前述の通り、歯ぎしり・食いしばりによって歯にヒビ(マイクロクラック)が入ります。
このヒビから「細菌」「冷たいもの」「噛む力」などの刺激が入り込み、象牙細管を通して神経に伝わることで痛みが出ます。
痛みの原因② 虫歯の侵入
さらに注意が必要なのは、ヒビから虫歯菌が侵入することです。
見た目では虫歯がなくても、内部で刺激が神経に届くことで、「原因不明の痛み」として感じることがあります。
痛みの原因③ 噛み合わせの異常
歯ぎしり・食いしばりが強くなると、一部の歯だけに強く当たる状態が起こります。すると、「噛んだ時に痛い」「特定の歯だけ違和感がある 」といった症状が出てきます。
まとめ
- 歯ぎしり・食いしばりで歯は痛くなる
- 原因は「ヒビ」「細菌」「噛み合わせ」の複合
- 見た目に異常がなくても痛みが出ることがある
最後に
「虫歯じゃないのに痛い」その原因は、歯ぎしり・食いしばりによるダメージかもしれません。
違和感を放置すると、ヒビが大きくなり症状が悪化する可能性があります。気になる方は、早めのチェックをおすすめします。
歯ぎしり・食いしばりで
噛めない?
「歯ぎしりや食いしばりで、噛めないほど痛くなることなんてあるの?」
そう思われる方も多いかもしれません。
しかし結論から言うと、実際に“噛めなくなるほどの痛み”が出ることはあります。
実際に起こる症状
歯ぎしり・食いしばりによるダメージが蓄積すると、以下のような状態になることがあります。
- 噛んだ瞬間に激痛が走る
- 食事ができない
- 特定の角度で強い痛みが出る
原因は「ヒビの進行」
原因として多いのが、「歯のヒビ(マイクロクラック)の進行」です。
最初は目に見えない小さなヒビでも、以下のような刺激によって徐々に大きくなります。
- 繰り返しの強い力
- 夜間の歯ぎしり
- 日中の食いしばり
その結果、神経にダメージが届くレベルまで進行し噛むたびに激痛が出る状態になります。
噛み合わせも関係する
さらに、歯ぎしり・食いしばりによって「噛み合わせがズレる」「一部の歯に過剰な負担がかかる」ことで、特定の角度だけ痛いという症状も出てきます。
実際の経過
噛み合わせの調整を行うことで痛みが軽減することもありますが、「ヒビが残っている場合」「ダメージが深い場合」は、完全に痛みが消えないこともあります。
まとめ
- 歯ぎしり・食いしばりで「噛めない」状態になることはある
- 原因はヒビ(マイクロクラック)の進行
- 噛み合わせのズレも関与する
- 症状が長引くケースもある
最後に
「ただの食いしばり」と軽く考えていると、噛めなくなるほどの状態になることもあります。
違和感や痛みがある場合は、早めにチェックすることが重要です。
歯ぎしり・食いしばりで
銀歯が削れる?
「銀歯って金属なのに削れるの?」そう疑問に思う方は多いと思います。
結論から言うと、銀歯は削れます。
なぜ金属が削れるのか?
歯ぎしり・食いしばりの力は非常に強く、自分の体重以上の力がかかることもあります。
この強い力が毎晩のように繰り返されることで、金属であっても徐々に削れていきます。
実は「歯の方が硬い」
ここが重要なポイントです。天然の歯(エナメル質)は非常に硬い組織です。
一般的な歯科用金属と比較すると、エナメル質の方が硬い場合もあります。
そのため、以下のような現象が起こります。
- 天然歯 vs 銀歯=銀歯が削れる
削れると何が起こるのか?
銀歯が削れることで、以下のような悪循環が生まれます。
- 噛み合わせが変わる
- 特定の歯に負担が集中する
- さらに歯ぎしりが悪化する
まとめ
- 銀歯は金属でも削れる
- 原因は歯ぎしり・食いしばりの強い力
- 天然歯のエナメル質は非常に硬い
- 削れることで噛み合わせにも影響が出る
最後に
「金属だから大丈夫」は危険な思い込みです。歯ぎしり・食いしばりは、歯だけでなく、詰め物・被せ物も壊していきます。
気になる方は、早めの対策をおすすめします。
歯ぎしり・食いしばりで
セラミックは割れる?
「セラミックは硬いから割れない」そう思っていませんか?
結論から言うと、セラミックは割れます。しかも意外と簡単に割れることがあります。
セラミックの種類による違い
セラミックには主に2種類あります。
① ガラスセラミック
- 見た目が非常にきれい
- 透明感があり天然歯に近い
- ただし、割れやすい
② ジルコニアセラミック
- セラミックの中で最も強度が高い
- 割れにくいが、絶対ではない
なぜ割れるのか?
原因はシンプルです。歯ぎしり・食いしばりの力が強すぎるからです。
この力は、「金属を削る」「歯にヒビを入れる」「噛み合わせを変える」ほど強力です。
そのため、どんなに硬いセラミックでも負けることがあります。
実際に起こること
臨床では、以下のようなケースを実際に見かけます。
- セラミックの欠け
- 破折
- 表面の摩耗
特にガラスセラミックは注意が必要です。
まとめ
- セラミックは割れる
- ガラスセラミックは特に割れやすい
- ジルコニアも絶対ではない
- 原因は歯ぎしり・食いしばりの強い力
最も重要な対策
ここが一番大切です。歯ぎしり・食いしばりがある方はナイトガードが必須です。
どんなに良い素材を使っても、力のコントロールをしなければ壊れます。
最後に
「高いセラミックを入れたから安心」ではありません。
歯ぎしり・食いしばりがある状態では、どんな素材でも壊れる可能性があります。
歯ぎしり・食いしばりで
歯が割れる?折れる?
「歯ぎしりや食いしばりで歯が割れる?折れる?」そう聞くと、にわかには信じられないかもしれません。
私自身も以前は、「そこまでのことは起きないだろう」と思っていました。
しかし――実際に歯が折れることはあります。
実際にあったケース
ある患者さんが「噛むと痛くて何も食べられない」という主訴で来院されました。
数日間、流動食しか摂れない状態でした。
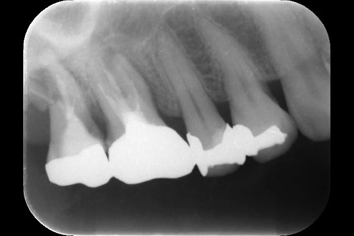
レントゲンを撮影すると、歯の根が横方向に折れている状態(破折)が確認されました。
原因は「就寝中の歯ぎしり」
患者さんに経過を伺うと、「寝て起きたら急に痛くて噛めなくなった」とのことでした。
つまり、寝ている間の歯ぎしり・食いしばりで歯が折れた可能性が高いと考えられます。

なぜそこまでの力がかかるのか?
歯ぎしり・食いしばりの力は非常に強く、「自分の体重以上の力がかかることもある」「無意識で長時間続く」「コントロールできない」という特徴があります。
その結果、歯にヒビが入り(マイクロクラック)、それが進行して最終的に破折するという流れが起こります。
これは“特別なケース”ではありません。
今回のように明確にレントゲンで確認できるケースは稀ですが、小さなヒビは多くの方に起きています。
そしてその一部が、ある日突然「割れる・折れる」状態になるのです。
まとめ
- 歯ぎしり・食いしばりで歯は割れる・折れる
- 原因は強い力の蓄積
- 就寝中に起こることが多い
- 前兆は「しみる」「違和感」「軽い痛み」
最も重要な予防
ナイトガード(マウスピース)の使用が非常に重要です。
若いうちから対策をすることで、歯の破折リスクを大きく下げることができます。
最後に
歯ぎしり・食いしばりは、静かに歯を壊し、ある日突然「噛めない状態」を引き起こします。
「大丈夫」と思っている今が、対策のタイミングです。
ナイトガードは、世界を救う!歯ぎしり・食いしばりで
虫歯になる?
「歯ぎしりや食いしばりで虫歯になるの?」あまり結びつかないように感じるかもしれません。
しかし実際には、歯ぎしり・食いしばりが虫歯の原因になることはあります。
虫歯になる仕組み
虫歯になる流れを分かりやすく説明すると、以下の通りです。
① 歯ぎしり・食いしばり
歯と歯が強く擦れ合います。
② ヒビ(マイクロクラック)が入る
目に見えない細かい亀裂ができます。
③ 再石灰化が追いつかない
通常は唾液によって修復されますが、寝ている間は唾液が少なく乾燥するため修復されにくいです。
④ 細菌が侵入
ヒビから虫歯菌が入り込みます。
⑤ 虫歯になる
特徴的な虫歯の場所
歯ぎしり・食いしばりが原因の場合、歯と歯の接触部分(隣接面)から虫歯が進行することが多いという特徴があります。
【通常の虫歯】
- 噛む面(溝)
- 汚れが溜まりやすい場所
【歯ぎしり由来の虫歯】
- 歯と歯が当たる部分
- 擦れてダメージを受けた場所
見逃されやすい理由
このタイプの虫歯は、「見た目では分かりにくい」「痛みが出るまで気づかない」という特徴があります。
まとめ
- 歯ぎしり・食いしばりで虫歯になることがある
- 原因はヒビ(マイクロクラック)からの
細菌侵入 - 寝ている間は修復されにくい
- 歯と歯の間にできやすい
最後に
「歯ぎしり=歯が削れるだけ」ではありません。虫歯の原因にもなる可能性があります。
気づかないうちに進行していることも多いため、気になる方は定期的なチェックをおすすめします。
歯ぎしり・食いしばりで
歯周病になる?
「歯周病は細菌が原因でしょ?」そう思われる方がほとんどだと思います。
しかし実は――歯ぎしり・食いしばりでも、歯周病のような状態になることがあります。
なぜ骨が溶けるのか?
毎日毎日、強い力で歯ぎしり・食いしばりをしていると、歯がわずかに揺さぶられる状態が続きます。
この状態が長期間続くと、歯の周りの骨がダメージを受けて吸収(溶ける)してしまいます。
ポイントはここ
細菌がいなくても骨は減ります。
通常の歯周病は細菌が原因ですが、歯ぎしりの場合は、“力”によって骨が壊されていくというのが大きな違いです。
実際に起こる流れ
- 歯ぎしり・食いしばりが続く
- 歯が揺さぶられる
- 骨に負担がかかる
- 骨が少しずつ吸収される
- 噛むと違和感が出る
- 歯がグラグラしてくる
患者さんのよくあるパターン
- 「最近なんか噛むと違和感がある」「歯が少し揺れている気がする」
- 歯科医院で検査
- 「骨がかなり減っています」
- 「この歯は残せない可能性があります」
なぜ気づかないのか?
歯ぎしり・食いしばりは無意識(特に睡眠中)に徐々に進行し、痛みが出にくいため、気づいた時には進行していることが多いのが特徴です。
まとめ
- 歯ぎしり・食いしばりでも骨は溶ける
- 細菌ではなく「力」が原因
- 歯周病に似た状態になる
- 気づいた時には進行していることが多い
最後に
歯周病は「菌」だけではありません。
「力」でも歯は失われます。
歯ぎしり・食いしばりで
肩こり首こりになる?
「肩こりや首こりと歯は関係あるの?」そう思われる方も多いと思います。
しかし実際には――歯ぎしり・食いしばりが原因で肩こり・首こりが起こることは十分にあります。
なぜ首や肩がこるのか?
寝ている間に、無意識で100kg近い力でギシギシと噛み続ける。
この状態が続けば、首や肩に負担がかかるのは当然です。
噛む筋肉の影響
歯ぎしり・食いしばりで使われる筋肉は、すべて顎まわりに集中しています。
- 側頭筋:こめかみ〜頭の横
- 咬筋:頬から顎にかけて
(体の中でも非常に強い筋肉) - 外側翼突筋:顎の外側
- 内側翼突筋:顎の内側
ここが重要なポイント
これらの筋肉は、首・肩の筋肉とつながって連動しています。
つまり、噛む筋肉が緊張すると、首や肩の筋肉も引っ張られて緊張します。
結果どうなるか?
- 顎まわりが常に緊張
- 首の筋肉も硬くなる
- 肩まで張ってくる
- 慢性的な肩こり・首こりにつながる
よくあるサイン
こんな症状はありませんか?
- 朝起きると肩が重い
- 首が回しづらい
- こめかみが張る
- 顎がだるい・疲れている
これらは歯ぎしりのサインの可能性があります。
まとめ
- 歯ぎしり・食いしばりで
肩こり・首こりは起こる - 原因は筋肉の過緊張
- 噛む筋肉と首・肩は連動している
- 無意識に負担が蓄積する
歯ぎしり・食いしばりは
昼でも?
歯ぎしり・食いしばりは、「寝ているときに起こるもの」と思っていませんか?実は――昼間でも普通に起こっています。
現代人に急増している理由
特に多いのが以下のような時に、気づかないうちにグッと歯を噛みしめている状態になっていることです。
- スマホを見ながら
- パソコン作業をしながら
- 集中しているとき
- ストレスを感じているとき
これは“現代病”です
スマホやPCの使用時間が増えたことで、無意識の食いしばりが増加しています。
実際に、歯ぎしり・食いしばりが原因で来院する患者さんは増えています。
よくある来院パターン
患者さんは「歯が痛いので見てください」とおっしゃいます。
しかし検査をすると…「虫歯ではない」「歯周病でもない」。
原因は「食いしばり」というケースが非常に多いです。
なぜ気づかないのか?
昼間の食いしばりは、「無意識」「習慣化している」「痛みが後から出る」ため、本人はほぼ気づいていません。
セルフチェック
こんな癖はありませんか?
- 気づくと奥歯が当たっている
- 集中すると歯を噛みしめている
- 肩や顎が疲れやすい
- 舌に歯の跡がついている
ひとつでも当てはまれば要注意です。
重要なポイント
本来、安静時は、上下の歯は接触していません。しかし現代人は常にどこかで接触している(TCH)状態になりやすいです。
まとめ
- 歯ぎしり・食いしばりは昼でも起こる
- スマホ・PCが大きな原因
- 虫歯じゃないのに痛い原因になる
- 無意識だから気づきにくい
最後に
歯は「使っていないときは離しておく」のが正常です。
気づいたら“歯を離す”習慣をつけましょう。
歯ぎしり・食いしばりで
インプラントのネジが緩む?
インプラントは、「骨と結合したインプラント体」「その上に装着されるかぶせ物」をネジで固定する構造になっています。
実は知られていない事実
多くの患者さんは、「インプラントは一体化していて動かないもの」と思われていますが、実際にはネジで固定されているため、緩むことがあります。
なぜネジが緩むのか?
インプラントのネジは、適切な力(トルク)で締められています。(例:35N前後 ※メーカーにより異なる)
しかしそれ以上の強い力が加わると、「ネジが緩む」「ネジが折れる」という現象が起こることがあります。
なぜ”緩む設計”なのか?
ここが非常に重要です。
インプラント本体を守るためです。
もし力を逃がす構造がなければ、インプラント体そのものが「割れる」「折れる」といった重大なトラブルにつながります。
そのため、先にネジが緩むことでダメージを回避する設計になっています。
歯ぎしり・食いしばりとの関係
非常に強い力が繰り返しかかるためインプラントにも負担が集中し、ネジの緩みが起こるリスクが高くなります。
こんな症状は要注意
- 噛むと違和感がある
- なんとなく高く感じる
- 少し動く感じがする
これはネジの緩みのサインかもしれません。
そのまま放置すると…
- ネジの破折
- かぶせ物の破損
- インプラントへのダメージ
このような破損やトラブルにつながる可能性があります。
対応はシンプルです
早めに歯科医院でネジを締め直す。
これだけで大きなトラブルを防げます。
まとめ
- インプラントはネジで固定されている
- 強い力でネジが緩むことがある
- 歯ぎしり・食いしばりはリスクを高める
- 早期対応で大きな問題は防げる
最後に
ネジが緩むのは「失敗」ではありません。
インプラントを守るための”安全装置”です。
歯ぎしり・食いしばりで
口が開かない?
顎の関節には、関節円板(かんせつえんばん)というクッション(軟骨)があります。このクッションがあることで、スムーズに口を開け閉めできています。
歯ぎしり・食いしばりの影響
強い力が繰り返しかかると、関節円板に圧力が加わり、本来の位置からズレてしまうことがあります。
その結果…
関節円板が顎の動きを邪魔して口が開かない状態(開口障害)になります。
実際の症状
- 口がほとんど開かない
- 指1本分も開かない
- 無理に開けると強い痛み
- 顎が引っかかる感じ
重症の場合は「1ミリも開かない」こともあります。
絶対にやってはいけないこと
- 無理やり口を開けること
これをすると、「関節にさらにダメージ」「痛みの悪化」「症状の長期化」につながります。
どうすればいい?
- 無理に開けない
- 硬いものを食べない
- 早めに歯科医院を受診する
これが大切です。
まとめ
- 歯ぎしり・食いしばりで
口が開かなくなることがある - 原因は関節円板のズレ
- 無理に開けるのは危険
- 早めの対応が回復を早める
最後に
「口が開かない」は軽く見てはいけないサインです。
顎からのSOSかもしれません。
まとめ
いかがでしたでしょうか?
歯ぎしり・食いしばりは、想像以上に多くのトラブルを引き起こします。
- 歯がしみる
- 歯が痛む
- 噛めない
- 詰め物や被せ物が壊れる
- 顎が痛い・口が開かない
- 肩こり・首こり
その影響はお口の中だけにとどまりません。
私は患者さんに、よくこうお伝えしています。
「歯ぎしり・食いしばりは、お口の中の災害です。」
なぜなら、まさに「地震」と同じような症状が起こるからです。
- 気づかないうちに起こる
- 突然症状が出る
- ダメージが大きい
- 忘れた頃に再発する
だからこそ大切なのは、“予防する意識”です。
予防のポイント
- ナイトガードの使用
- 噛み合わせのチェック
- 日中の食いしばりの意識改善
- 定期的なメンテナンス
最後に
歯ぎしり・食いしばりは、完全に無くすことが難しい習慣です。
だからこそ、コントロールして付き合っていくことが重要です。
「歯ぎしりは止めるものではなく、“守るもの”です。」
