おすすめのクリーニング
おすすめのクリーニングは、歯と歯の間を中心に汚れを除去してもらい、やはりキレイにフロッシングで、普段届かない汚れも除去してからのフッ素コーティングがベストになります。歯の表面のクリーニングももちろん重要ですが、歯と歯の間のクリーニングを中心に行うのがおすすめになります。
目次
お口の中は十人十色
おすすめの歯のクリーニングは、患者さん毎に変わってきます。
えっーとおっしゃる患者さんも多いのですが、実は患者さんのお口の中により、おすすめするクリーニングが変わり、歯科衛生士はそれに合わせてやり方や歯のクリーニングの時間を変更して行います。そんな事まで考えて歯のクリーニングをするの?と言われますが、我々からするとお口の中は、患者さんにより十人十色ですので、それぞれおすすめが変わって当たり前だと思っております。
歯の並びが悪い方の特徴
歯の並びが悪い方の特徴としては、汚れが溜まりやすいことです。
歯並びが良い方であっても、歯の形は海岸のように凸凹しています。皆さんも、ご自分の歯を触ってみると良くわかると思いますが、平らではありません。プラスして歯並びが悪い方は、汚れが溜まりやすいので、通常の方が3ヶ月に1度のクリーニングで良くても、2ヶ月に1度くらいのクリーニングと日々の歯ブラシは、1日4回くらいで時間も長めの10分くらいがおすすめになります。
つまり、歯並びが悪いとリスクが上がりますので、要注意が必要になりますので、歯科医院でのクリーニングはもちろんですが、自宅での日々のブラッシングはもっともっと重要になります。

おすすめのクリーニングは、歯と歯の間を中心に汚れを除去してもらい、やはりキレイにフロッシングで、普段届かない汚れも除去してからのフッ素コーティングがベストになります。歯の表面のクリーニングももちろん重要ですが、歯と歯の間のクリーニングを中心に行うのがおすすめになります。
詰め物が多い方の特徴
詰め物が多い=虫歯になりやすいになります。虫歯になりやすい方は、何が原因でなりやすいのか?を明確にする必要があります。時間(歯を磨く時間、食生活、習慣)・遺伝(歯の質)・糖分(摂取量)・細菌(虫歯菌の数)この4つが組み合わさって虫歯になりますので、自分の原因は、何なのか?を明確にして虫歯予防をする必要があります。
詰め物が多いということは、やはり、歯のクリーニングの間隔も普通の方よりも短めにする必要があります。通常の方よりもリスクが高いことを自覚しましょう。患者さんの中には、虫歯を治せば歯医者に通わなくても良いと思われている患者さんがいらっしゃいますが、そうではありません!定期的に歯科医院にてクリーニングを受けることは、必要最低限の歯の予防となり、日々のブラッシングが1番の予防になります。

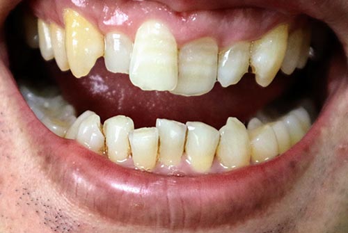
では詰め物が多い方のおすすめクリーニングは、詰め物と歯の隙間のチェックと他に虫歯ができないようなクリーニングとフッ素コーティングがおすすめになります。また、歯ぎしり・食いしばりが原因で詰め物が多くなっている方は、歯と歯の間を中心にクリーニングを行うのがおすすめになります。写真のように歯と歯の間にまたがる詰め物が多い場合は、間違いなく歯ぎしり・食いしばりですので、ナイトガードの作製と噛み合わせのチェックもクリーニングと同時に行ってもらいましょう。
虫歯の多い方の特徴
虫歯の多い方と詰め物が多い方は、共通点があります。それは、治療を行ったのか?行っていないのか?この差になります。虫歯が多い方の特徴としては、知らない間に虫歯が出来ていたではなく、虫歯を放置してしまったという場合が、非常に多いです。そのため、おすすめの歯ブラシも歯磨き粉も歯のクリーニングも変わってきます。

虫歯を放置してしまう方の場合は、やはりフッ素濃度高めの1450ppm配合の歯磨き粉と歯ブラシヘッドが少し大きめで柔らかさは、普通を選択します。クリーニングでは、虫歯にならないようにPMTCでバイオフィルム除去が非常に重要になります。バイオフィルムとは、細菌の塊ですので、それを定期的に除去することで、虫歯細菌を減らす必要があります。
歯周病の方の特徴
歯周病の方は、やはり歯周病菌を出来るだけ口腔内に少なくする必要があります。のためには、歯周病菌の温床となる歯石を除去する必要があります。歯石は、放置すればするほど硬くなります。なので早め早めに除去を行い、PMTCで歯石ができにくい歯の面を作り上げる必要があります。
歯石は、プラーク(食べかす)を放置することによりできますので、普段の歯ブラシは、毎食後しっかりと行ってもらい。定期検診で歯石除去やPMTCを行う必要があります。

歯周病は、1にも2にも3にも歯周病菌を減らすということが、歯のクリーニングの目的になります。歯石が歯肉の上についているような場合は、クリーニングの回数も少なくすみますが、歯石が歯肉の下についており、頑固な付着の場合は、回数も非常に多くなりますし、その後のメンテナンスに通ってもらう頻度も期間も短くして対応していく必要があります。
タバコを吸う方の特徴
タバコは、百害あって一利なしと言われていますが、その通りになります。タバコを吸う事により歯肉への血液供給は、断たれるわけであり、歯肉にとって良いことは、1ミリもありません。
ですがタバコを吸われている方にとって、着色が、非常に気になるようですので、歯のクリーニングでは、着色除去がメインになることが多いです。歯の着色除去は、保険では行うことはできませんので、保険外での治療となります。費用に関しては、8,800円となります。

タバコを吸われる本数によっても違いますが、やはり着色が歯についているとイメージダウンとなりますので、3ヶ月に1度くらいのペースで着色除去のエアフローを含めた歯のクリーニングを繰り返す必要あがります。
インプラントの方の特徴
歯を虫歯や歯周病により歯を失っ場合は、要注意が必要になります。なぜ?歯を失ったのかを良く考えましょう。
そうです!やはり歯ブラシが足りなかったがために、虫歯や歯周病で歯を失ってしまっています。そのため今までの日々の歯ブラシの時間と方法を繰り返しても、また、歯を失う可能性が高いということです。
また、歯のクリーニングも同じ考えとなります。今まで歯科医院に痛くなったりトラブルがあってから通っているようであれば、3ヶ月に1度定期的に歯科医院に通う必要がありますし、インプラントの本数が多いのであれば3ヶ月ではなく2ヶ月に1度のペースで歯科医院に通う必要がります。

つまり今までと同じでは、残念ながら歯を失ってしまうということです。なので歯ブラシの時間も方法も回数も変えて定期的に歯のクリーニングを繰り返すことを忘れないでください。インプラントをしたので、治った訳ではありません。失った歯をネジと被せ物という代用品に置き換えただけです。
ブリッジが入っている方の特徴
ブリッジが入っている患者さんは、歯が1本ないですのでその部位に汚れが溜まりやすいという傾向があります。 また、歯のない部分の汚れを取ろうとしてもなかなか歯ブラシを入り込ませるのも困難ですので、歯間ブラシや特殊なスーパーフロスを用いて掃除をする必要がありますが、患者さんよっては、奥歯で自分で上手く器具を使用することができない方もいらっしゃいます。

ということでブリッジが入っている方へのおすすめクリーニングは、歯の無い部分を重点的に、スーパーフロスや歯間ブラシなどを用いて掃除を行うことになります。
入れ歯の方の特徴
入れ歯の中でも特に部分入れ歯を装着している患者さんになりますね。部分入れ歯を装着されている患者さんのバネがかかる歯は、汚れが非常に付着しやすいってご存知ですか?
バネがかかっている歯は、プラスして歯が横にゆすられやすいので、余計にケアが心配になります。簡単に歯周病になりやすいという特徴があります。

なので部分入れ歯が入っている患者さんは、お口の中に残っている歯を、とにかく失わないような歯のクリーニングが必要になります。虫歯予防+歯周病予防が必須となり、通う頻度もご自分で通える方は、2ヶ月に1度くらいのペースが必要になります。