歯のクリーニングの症例
目次
- 1 歯のクリーニング症例1
- 2 歯のクリーニング症例2
- 3 歯のクリーニング症例3
- 4 歯のクリーニング症例4
- 5 歯のクリーニング症例5
- 6 歯のクリーニング症例6
- 7 歯のクリーニング症例7
- 8 歯のクリーニング症例8
- 9 歯のクリーニング症例9
- 10 歯のクリーニング症例10
- 11 歯のクリーニング症例11
- 12 歯のクリーニング症例12
- 13 歯のクリーニング症例13
- 14 歯のクリーニング症例14
- 15 歯のクリーニング症例15
- 16 歯のクリーニング症例16
- 17 歯のクリーニング症例17
- 18 歯のクリーニング症例18
- 19 歯のクリーニング症例19
- 20 歯のクリーニング症例20
- 21 歯のクリーニング症例21
- 22 歯のクリーニング症例22
- 23 歯のクリーニング症例23
- 24 歯のクリーニング症例24
- 25 歯のクリーニング症例25
- 26 歯のクリーニング症例26
- 27 歯のクリーニング症例27
- 28 歯のクリーニング症例28
- 29 歯のクリーニング症例29
- 30 歯のクリーニング症例30
- 31 歯のクリーニング症例31
- 32 歯のクリーニング症例32
- 33 歯のクリーニング症例33
- 34 歯のクリーニング症例34
- 35 歯のクリーニング症例35
- 36 歯のクリーニング症例36
- 37 歯のクリーニング症例37
- 38 歯のクリーニング症例38
- 39 歯のクリーニング症例39
- 40 歯のクリーニング症例40
- 41 歯のクリーニング症例41
- 42 歯のクリーニング症例42
- 43 歯のクリーニング症例43
- 44 歯のクリーニング症例44
- 45 歯のクリーニング症例45
- 46 歯のクリーニング症例46
- 47 歯のクリーニング症例47
- 48 歯のクリーニング症例48
- 49 歯のクリーニング症例49
- 50 歯のクリーニング症例50
- 51 歯のクリーニング症例51
- 52 歯のクリーニング症例52
- 53 歯のクリーニング症例53
- 54 歯のクリーニング症例54
- 55 歯のクリーニング症例55
- 56 歯のクリーニング症例56
- 57 歯のクリーニング症例57
- 58 歯のクリーニング症例58
- 59 歯のクリーニング症例59
- 60 歯のクリーニング症例60
- 61 歯のクリーニング症例61
- 62 歯のクリーニング症例62
- 63 歯のクリーニング症例63
- 64 歯のクリーニング症例64
- 65 歯のクリーニング症例65
- 66 歯のクリーニング症例66
- 67 歯のクリーニング症例67
- 68 歯のクリーニング症例68
- 69 歯のクリーニング症例67
- 70 歯のクリーニング症例68
- 71 歯のクリーニング症例69
- 72 歯のクリーニング症例70
- 73 歯のクリーニング症例71
- 74 歯のクリーニング症例72
- 75 歯のクリーニング症例73
- 76 歯のクリーニング症例74
- 77 歯のクリーニング症例75
- 78 歯のクリーニング症例76
- 79 歯のクリーニング症例77
- 80 歯のクリーニング症例78
歯のクリーニングのリスク・副作用
・歯肉の炎症がある場合は歯石除去中に出血を伴う可能性があります
・処置後、知覚過敏(歯が沁みる)が起こる可能性があります。
・歯肉の炎症が治ると、歯肉が引き締まる為歯が長く見えるようになることがあります。
・着色は1度綺麗に除去しても、再度付着します。
・ホワイトニングとは異なり、白くする効果はありません。
・処置後に一時的にしみる可能性があります。
・歯石除去によって、歯茎が下がって見えることがあります。
・歯石除去をすると、歯と歯の間の隙間が目立つことがあります。
※歯を白くする目的の施術ではありません。
現在の治療費と異なる場合がございます。最新の治療費は料金表をご確認ください。
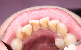
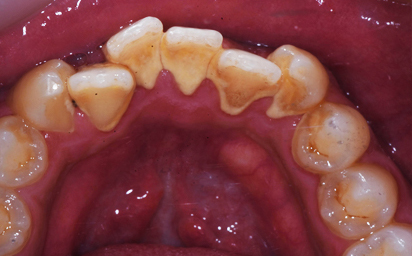
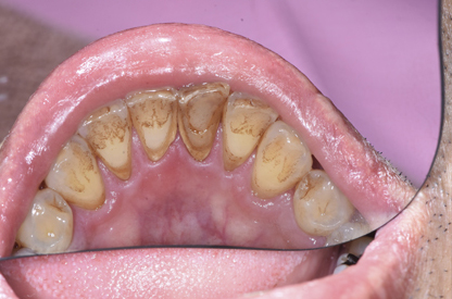
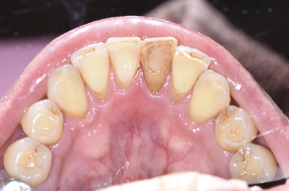
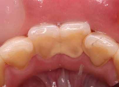
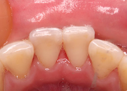
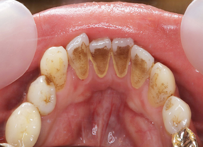
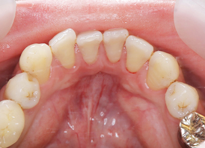
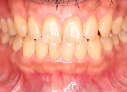
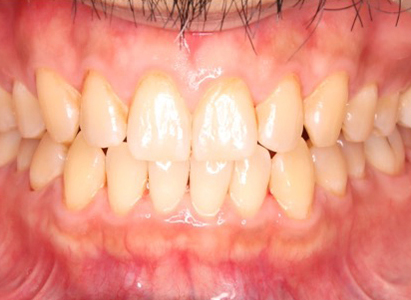
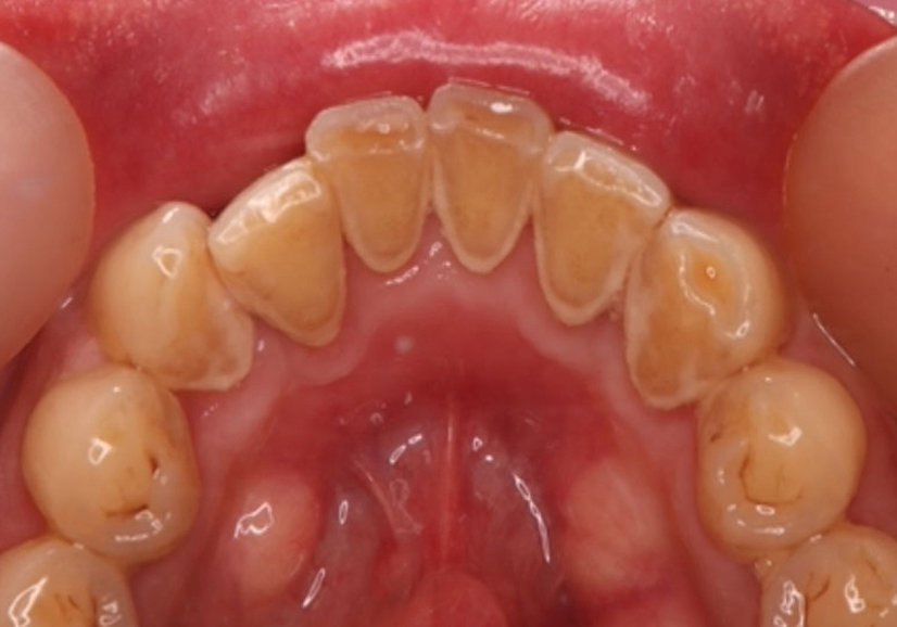
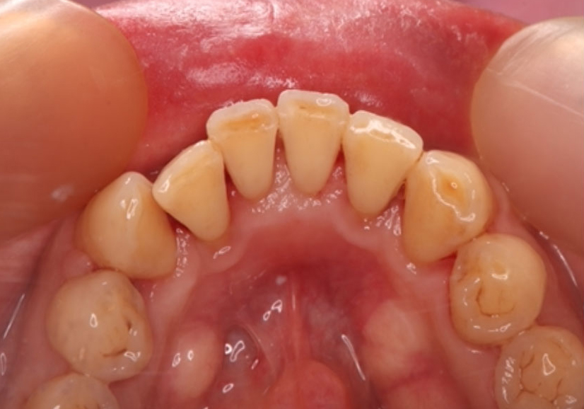
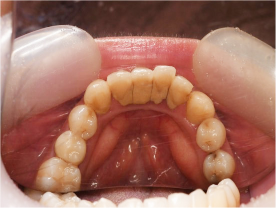
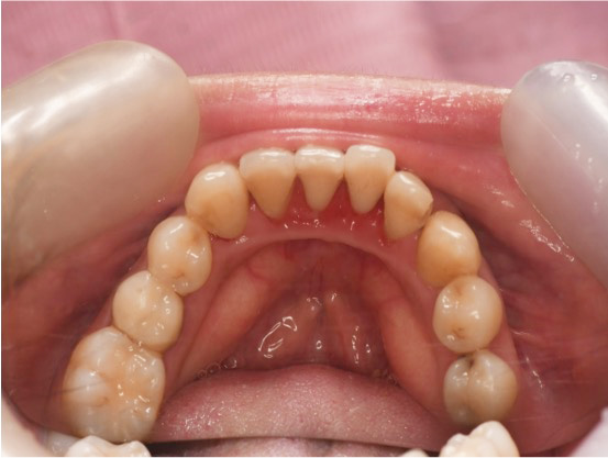
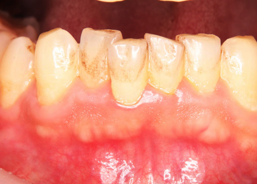
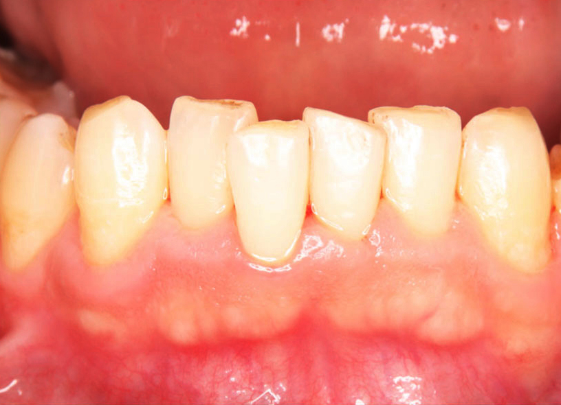
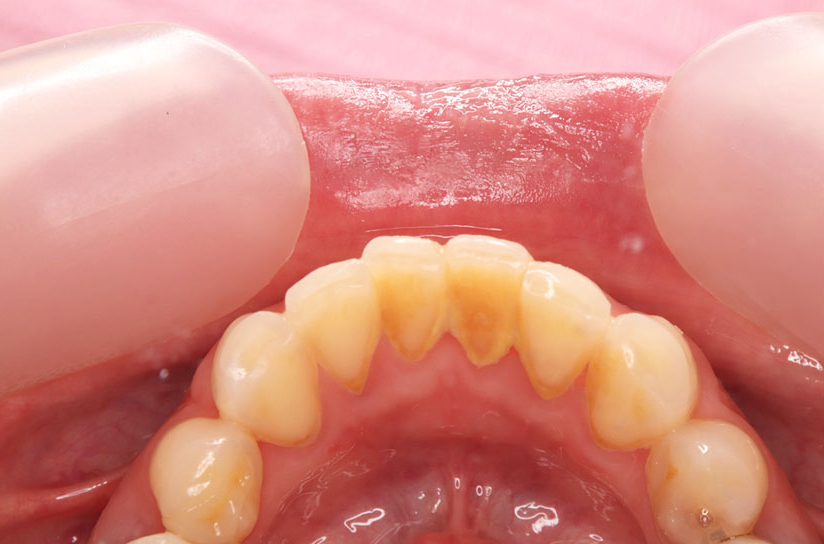
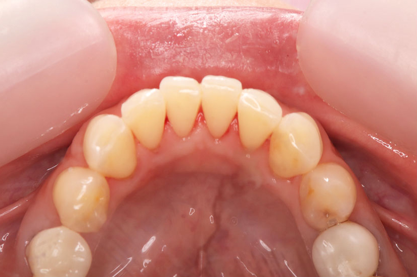
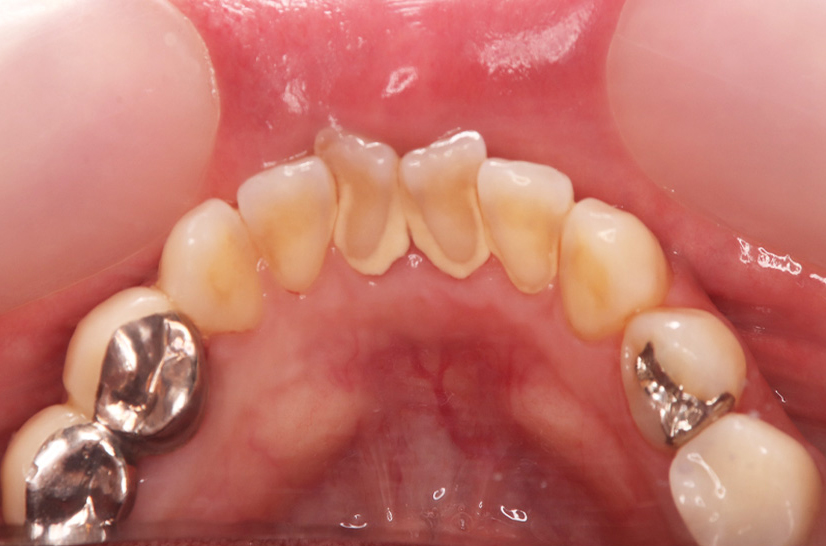
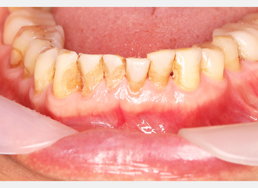
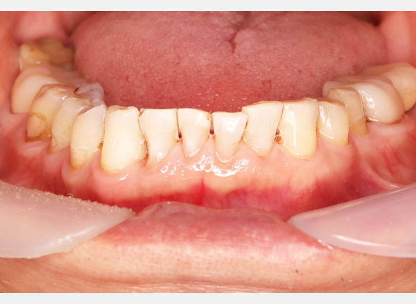
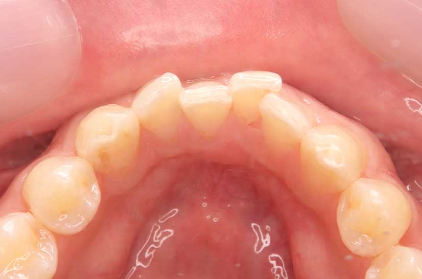
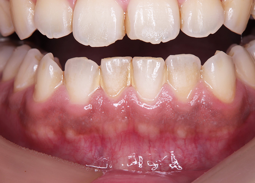
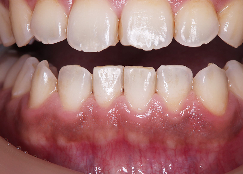
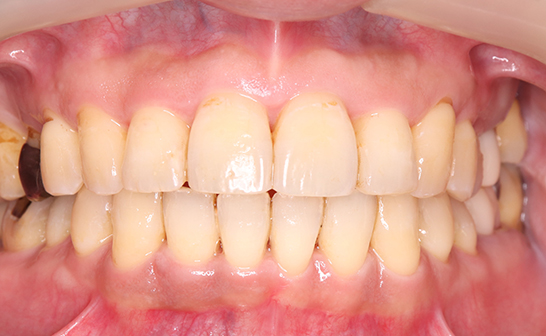
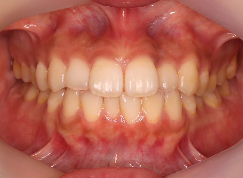
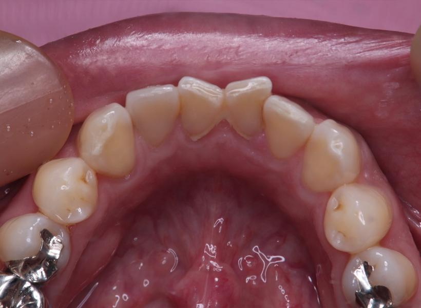
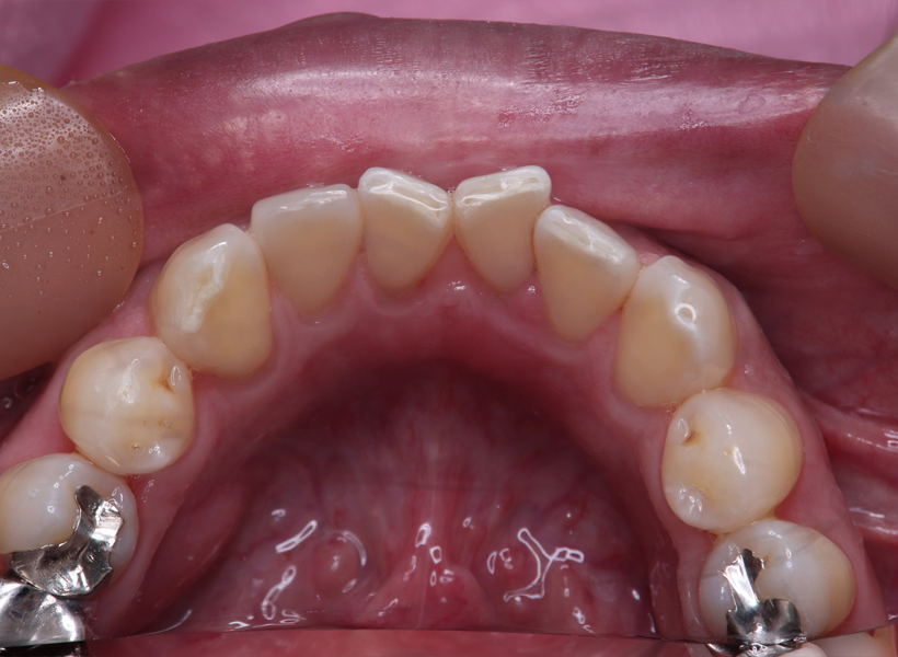
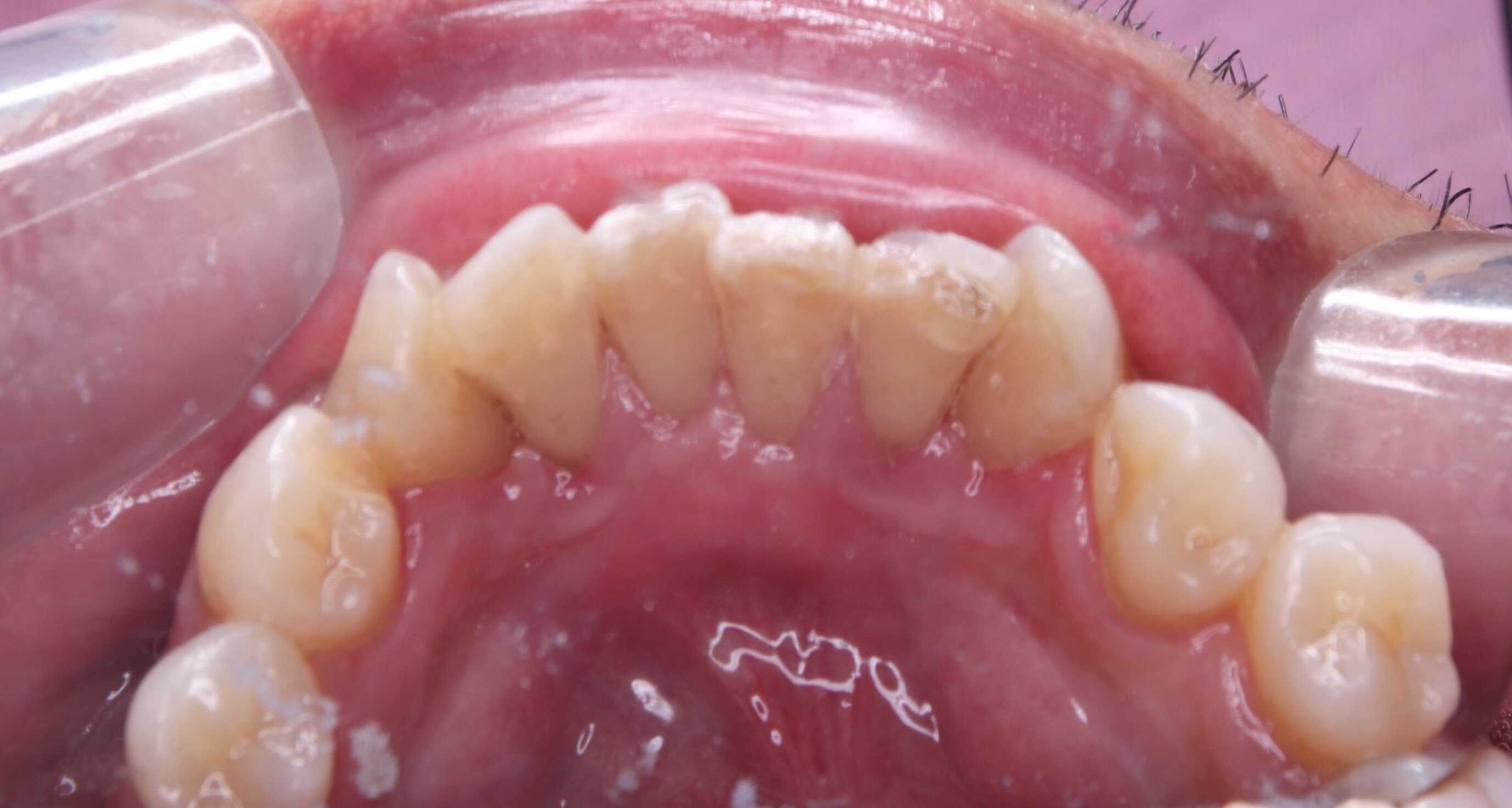
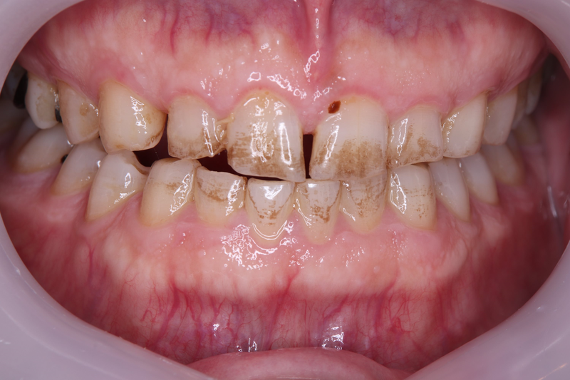
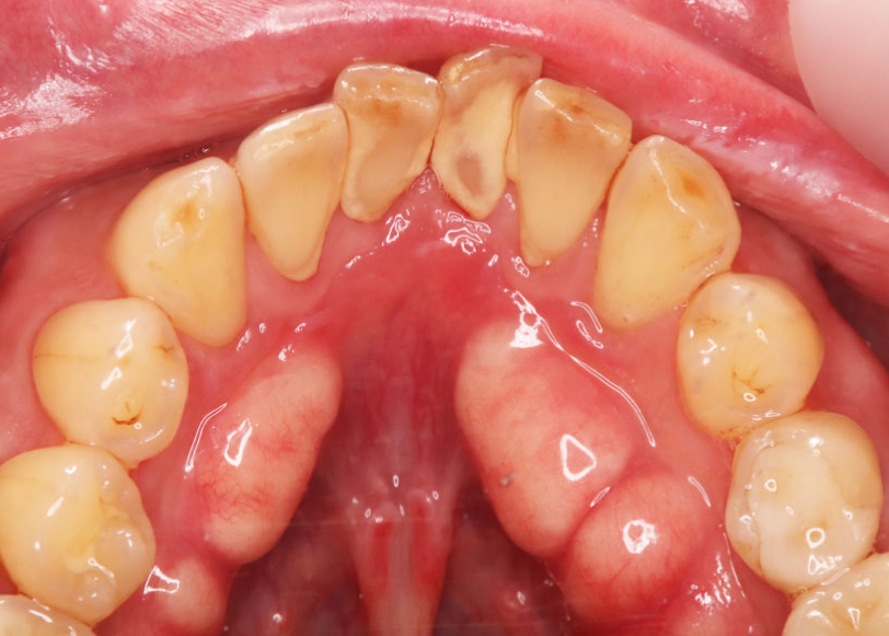
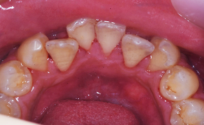
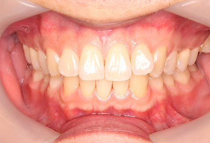
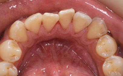
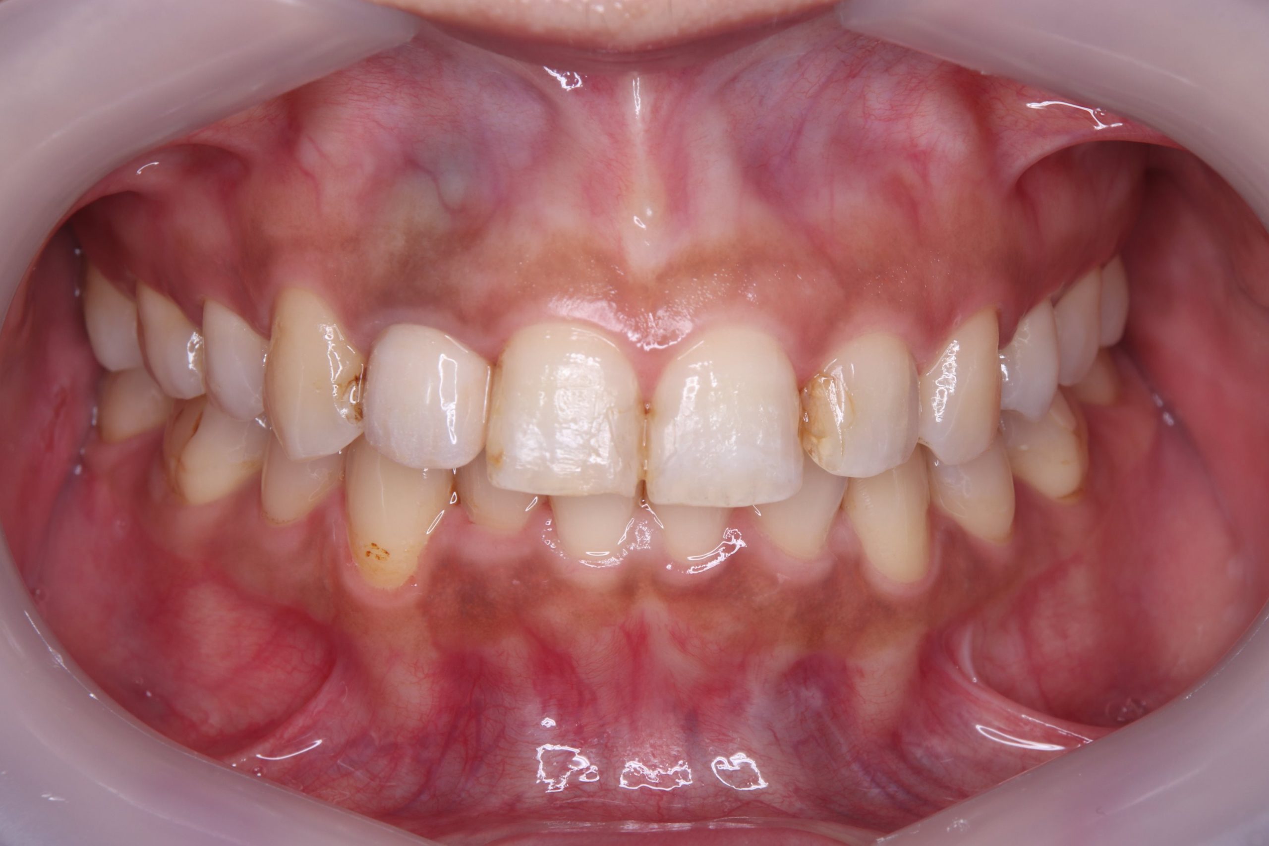
歯のクリーニング症例1
| 年齢・性別 | 46歳・男性 |
|---|---|
| リクエスト | 歯石、着色をとりたい |
| クリーニング頻度 | 6か月前 |
| 時間 | 約60分 |
| 治療費用 | 歯石除去 約1,500円 着色除去 5,500円 |
| 患者さんの特徴 | 喫煙者、コーヒー1日3杯、今回のクリーニングは前回より少し間があいてしまったので 今後はなるべく期間をあけずに行っていく。 歯ぎしり、食いしばりもあり、顎関節症で長時間お口を開けているのが困難なため バイトブロックというお口を開けておくのを助けてくれる器具を入れながらクリーニングしました。 セルフケアでも、着色が付きにくい歯磨剤を使用していくことにしました。 |
| 治療の リスク |
・歯肉の炎症がある場合は歯石除去中に出血を伴う可能性があります。 ・処置後、知覚過敏が起こる可能性があります。 ・歯肉の炎症が治ると、歯肉が引き締まる為歯が長く見えるようになることがあります。 |
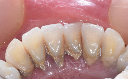
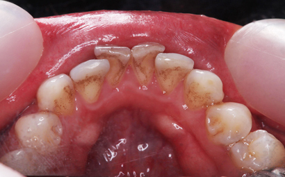
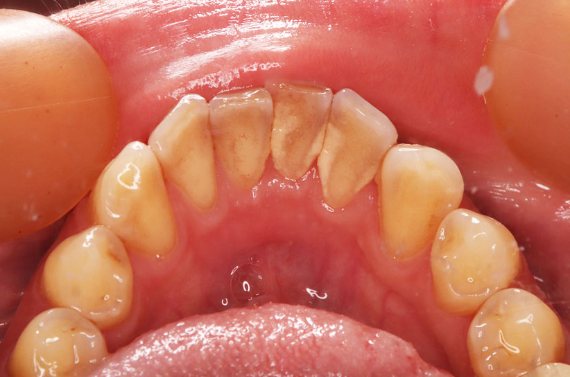
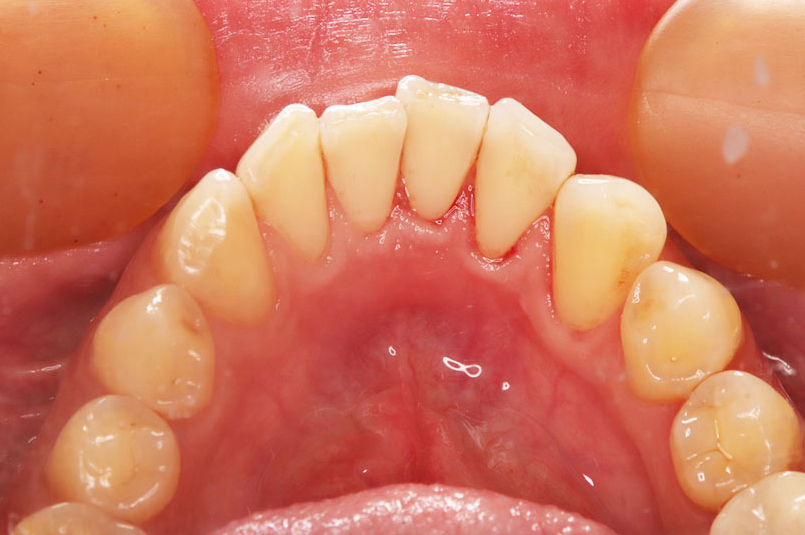
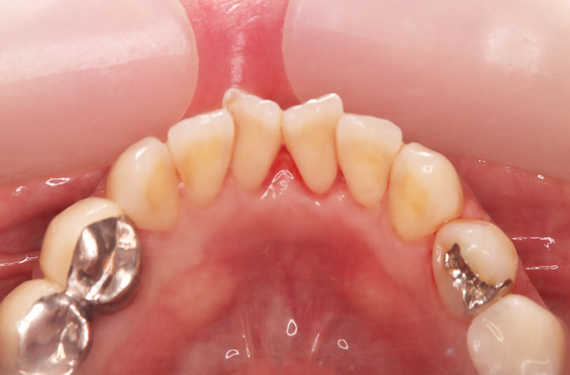
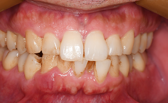
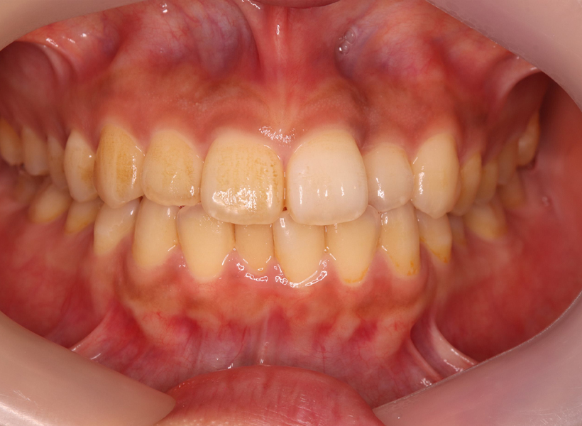
歯のクリーニング症例2
| 年齢・性別 | 30代・男性 |
|---|---|
| リクエスト | 歯石とりたい |
| クリーニング頻度 | 3年ぶり |
| 時間 | 60分 |
| 治療費用 | 初診料含めて約4,500円 |
| 患者さんの特徴 | 久しぶりの歯科医院への受診。 歯石除去後は、すっきりして舌ざわりの感覚の違いに驚かれていました。 今後も定期的にクリーニングを行い、定期健診で診ていきます。 |
| 治療の リスク |
・歯肉の炎症がある場合は歯石除去中に出血を伴う可能性があります。 ・処置後、知覚過敏が起こる可能性があります。 ・歯肉の炎症が治ると、歯肉が引き締まる為歯が長く見えるようになることがあります。 |
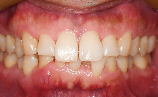
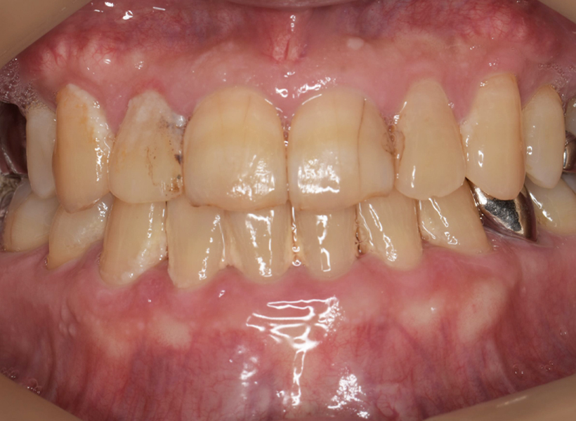
歯のクリーニング症例3
| 年齢・性別 | 30代・男性 |
|---|---|
| リクエスト | 定期健診 |
| クリーニング頻度 | 3ヶ月に1回 |
| 時間 | 60分 |
| 治療費用 | 保険 約4,000円 |
| 患者さんの特徴 | 3か月ごとの定期健診にいらしている方。 下の前歯に歯石がたまりやすく、定期的に来院されてクリーニングを行っています。 歯石がたまってくるとご本人も歯石があることを自覚されています。 今後も定期健診で、クリーニングを行い歯石除去をおこなっていきます。 |
| 治療の リスク |
・歯肉の炎症がある場合は歯石除去中に出血を伴う可能性があります。 ・処置後、知覚過敏が起こる可能性があります。 ・歯肉の炎症が治ると、歯肉が引き締まる為歯が長く見えるようになることがあります。 |
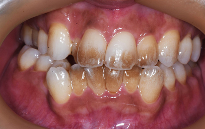
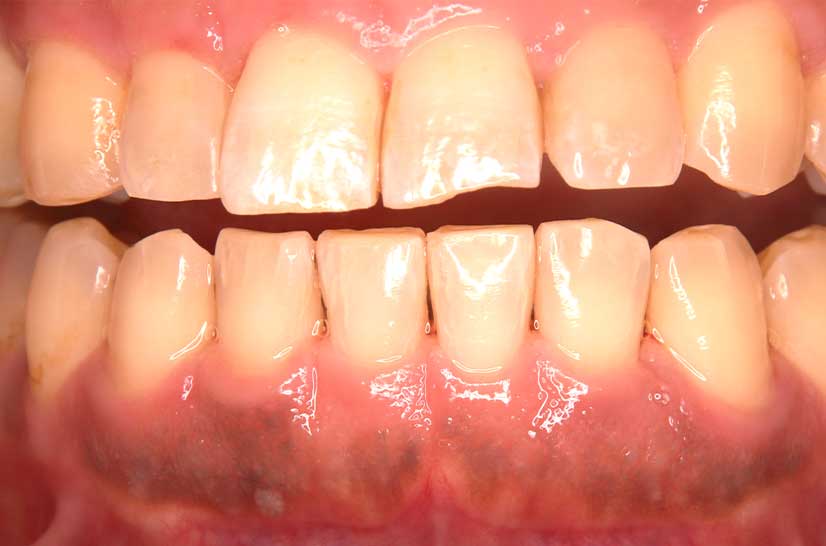
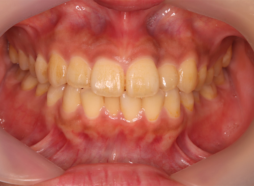
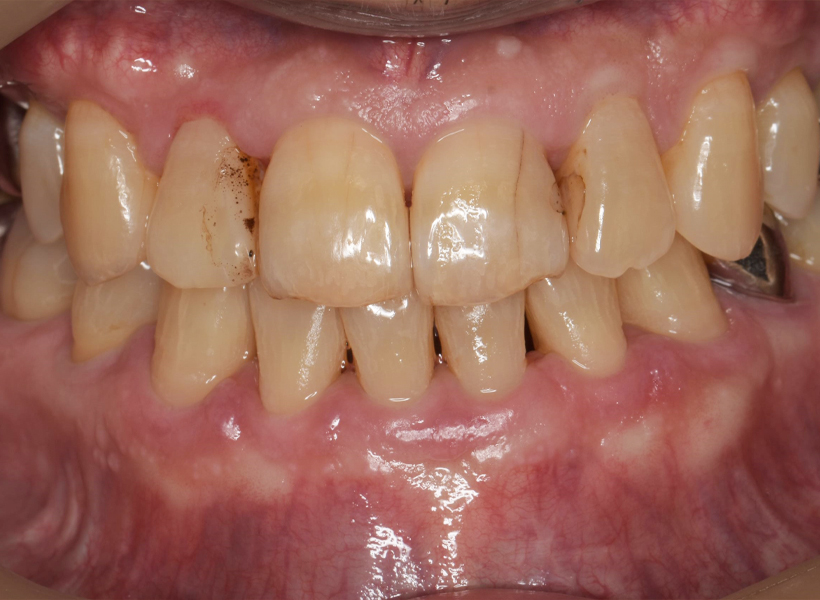
歯のクリーニング症例4
| 年齢・性別 | 20代・女性 |
|---|---|
| リクエスト | ホワイトニングしたい |
| 期間 | 1日 |
| 回数 | ホワイトニング1回(薬液3度塗り)ガムピーリング1回 |
| 治療費用 | ホワイトニング8,800円 ガムピーリング上下11000円 |
| 患者さんの特徴 | ホワイトニングご希望で、全体のお色味をより明るく見せるために、ガムピーリングもご提案させていただきました。 ガムピーリングを併用して施術を行ったことで、全体のトーンがより上がってみえます。 |
| 治療の リスク |
・ホワイトニング後に一時的に知覚過敏が起こることがあります。 ・ホワイトニングの効果は永久ではありませんので、後戻りを起こさない為に定期的なクリーニング、 ホワイトニングが必要になります。 ・天然の歯のみ白くすることができます。 ・被せものやプラスチックに関しては白くなりません。 ・ピーリング後2、3日違和感があることがあります。 ・生活習慣にもよりますが、ピーリングは永久的ではありません。 ・担当歯科医師、衛生士と相談して予後を見ていきましょう。 |
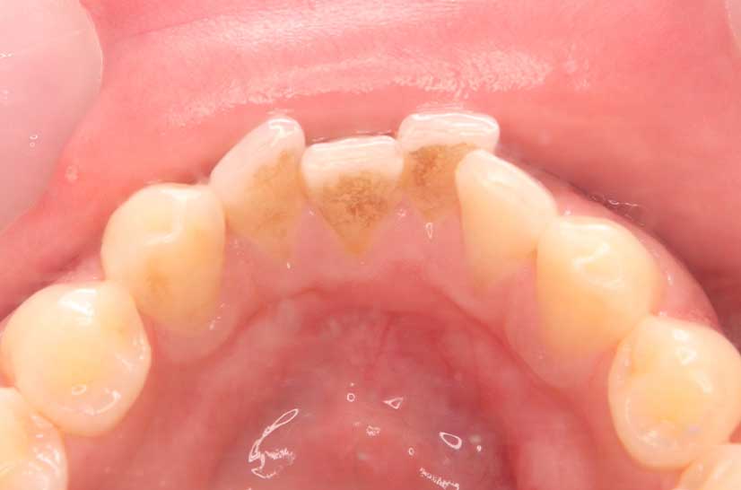
歯のクリーニング症例5
| 年齢・性別 | 20代・男性 |
|---|---|
| リクエスト | 全体的にきれいにしたい |
| クリーニング頻度 | 1か月に1回 |
| 時間 | 30分×2回 |
| 治療費用 | 保険内の処置 1回目約1,400円 2回目2,150円 |
| 患者さんの特徴 | 歯肉からの出血は歯肉の腫れには、ご本人で気付いておらず、初回のクリーニングの際に現状をご説明させてもらいました。 クリーニング後は歯ブラシでの出血もほとんどなくなり、変化に気付いて喜んでいました。 今後は2~3か月ごとのクリーニングで経過を見ていきます。 |
| 治療の リスク |
・歯肉の炎症がある場合は歯石除去中に出血を伴う可能性があります。 ・処置後、知覚過敏が起こる可能性があります。 ・歯肉の炎症が治ると、歯肉が引き締まる為歯が長く見えるようになることがあります。 |
歯のクリーニング症例6
| 年齢・性別 | 20代・女性 |
|---|---|
| リクエスト | 歯石をとりたい |
| クリーニング頻度 | 週に1回 |
| 時間 | 1回30分~60分 |
| 治療費用 | 保険診療 1回約1,500円 |
| 患者さんの特徴 | 中国人の患者様で、今まで歯石を除去した経験がない患者さんでした。 初診でいらした1か月後には中国に帰国するとのことで、できる範囲での治療になってしまいましたが、全体的に歯石も多く、出血も全部の歯からしていたので歯肉の下まで歯石を除去しました。 |
| 治療の リスク |
・歯肉の炎症がある場合は歯石除去中に出血を伴う可能性があります。 ・処置後、知覚過敏が起こる可能性があります。 ・歯肉の炎症が治ると、歯肉が引き締まる為歯が長く見えるようになることがあります。 |
歯のクリーニング症例7
| 年齢・性別 | 30代・男性 |
|---|---|
| リクエスト | 歯石除去、ホワイトニング |
| クリーニング頻度 | 2か月に1回 |
| 時間 | 1回約60分 |
| 治療費用 | クリーニング(保険)約4,000円、 ホワイトニング(自費)5,500円 |
| 患者さんの特徴 | 前歯に着色、歯石が付きやすいので歯ブラシの当て方と、当てやすい歯ブラシ、着色が付きにくい歯磨き粉をご提案させていただきました。また、以前別の歯科医院にてホワイトニングを行った際にすごくしみてお痛みが強くでてしまっていたけれど、歯を白くしていきたいとのもとで治療前後に知覚過敏予防の処置をしっかりとさせていただいてから、ホワイトニングの施術も行いました。お痛みもそこまで出ることなく、白さをご実感いただけました。 |
| 治療の リスク |
・歯肉の炎症がある場合は歯石除去中に出血を伴う可能性があります。 ・処置後、知覚過敏が起こる可能性があります。 ・歯肉の炎症が治ると、歯肉が引き締まる為歯が長く見えるようになることがあります。 ・ホワイトニング後に一時的に知覚過敏が起こることがあります。 ・ホワイトニングの効果は永久ではありませんので、後戻りを起こさない為に定期的なクリーニング、 ホワイトニングが必要になります。 ・天然の歯のみ白くすることができます。 ・被せものやプラスチックに関しては白くなりません。 |
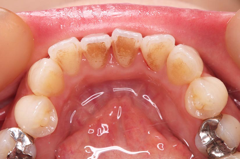
歯のクリーニング症例8
| 年齢・性別 | 30代・男性 |
|---|---|
| リクエスト | クリーニング、ホワイトニング |
| クリーニング頻度 | 1回 |
| 時間 | 30分 |
| 治療費用 | 1本・1部位(税抜):クリーニング(自費)8,800円、 ホワイトニング(自費)3,300円 |
| 患者さんの特徴 | コーヒーをよく飲む方で着色が気になる、クリーニング希望した患者様です。ホワイトニング、初診検査も一緒に行いました。 |
| 治療の リスク |
・歯肉の炎症がある場合は歯石除去中に出血を伴う可能性があります。 ・処置後、知覚過敏が起こる可能性があります。 ・歯肉の炎症が治ると、歯肉が引き締まる為歯が長く見えるようになることがあります。 ・ホワイトニング後に一時的に知覚過敏が起こることがあります。 ・ホワイトニングの効果は永久ではありませんので、後戻りを起こさない為に定期的なクリーニング、 ホワイトニングが必要になります。 ・天然の歯のみ白くすることができます。 ・被せものやプラスチックに関しては白くなりません。 |
歯のクリーニング症例9
| 年齢・性別 | 20代・男性 |
|---|---|
| リクエスト | クリーニング |
| クリーニング頻度 | 1回 |
| 時間 | 30分 |
| 治療費用 | 1本・1部位(税抜):クリーニング(保険)約2,000円(負担区分によって費用負担には個人差があります) |
| 患者さんの特徴 | 定期検診希望の歯石とりです。 |
| 治療の リスク |
・歯肉の炎症がある場合は歯石除去中に出血を伴う可能性があります。 ・処置後、知覚過敏が起こる可能性があります。 ・歯肉の炎症が治ると、歯肉が引き締まる為歯が長く見えるようになることがあります。 |
歯のクリーニング症例10
| 年齢・性別 | 20代・男性 |
|---|---|
| リクエスト | クリーニング |
| クリーニング頻度 | 1回 |
| 時間 | 30分 |
| 治療費用 | 1本・1部位(税抜):クリーニング(保険)約2,000円(負担区分によって費用負担には個人差があります) |
| 患者さんの特徴 | 定期検診希望の歯石とりです。 |
| 治療の リスク |
・歯肉の炎症がある場合は歯石除去中に出血を伴う可能性があります。 ・処置後、知覚過敏が起こる可能性があります。 ・歯肉の炎症が治ると、歯肉が引き締まる為歯が長く見えるようになることがあります。 |
歯のクリーニング症例11
| 年齢・性別 | 40代・男性 |
|---|---|
| リクエスト | クリーニング |
| クリーニング頻度 | 1回 |
| 治療費用 | 1本・1部位(税抜):クリーニング(自費)8800円 |
| 患者さんの特徴 | 着色気になるので来院しました。初診検査も行いました。 |
| 治療の リスク |
・着色は1度綺麗に除去しても、再度付着します。 ・ホワイトニングとは異なり、白くする効果はありません。 |
歯のクリーニング症例12
| 年齢・性別 | 40代・男性 |
|---|---|
| リクエスト | クリーニング、歯石をとりたい |
| 時間 | 60分 |
| 治療費用 | クリーニング(保険)約4,000円(負担区分によって費用負担には個人差があります) |
| 治療の リスク |
・歯肉の炎症がある場合は歯石除去中に出血を伴う可能性があります。 ・処置後、知覚過敏が起こる可能性があります。 ・歯肉の炎症が治ると、歯肉が引き締まる為歯が長く見えるようになることがあります。 ・着色は、再度付着します。 |
歯のクリーニング症例13
| 年齢・性別 | 40代・男性 |
|---|---|
| リクエスト | クリーニング、歯石取り着色取り |
| 時間 | 60分 |
| 治療費用 | 自費 8,800円 |
| 治療の リスク |
歯石除去をおこなっているため、 ・歯石を除去する際に、出血することがあります。 ・処置後に一時的にしみる可能性があります。 |
歯のクリーニング症例14
| 年齢・性別 | 20代・男性 |
|---|---|
| リクエスト | 歯石除去 |
| クリーニング頻度 | 1年ぶり1回 |
| 治療費用 | クリーニング(保険) 約1,500円 |
| 治療方針 | 定期的なメンテナンスで歯石除去、着色除去を行っていく。 |
| 患者さんの特徴 | 歯列不正も自覚しており、歯石があることは、わかっていたけれどなかなか歯医者に行くタイミングもなく親知らずが痛くなったついでに、先生あらの勧めもあり歯石除去することになりました。歯ブラシが当たりにくい場所の磨き方もアドバイスさせてもらいました。今後も引き続き親知らずを抜いていきますが、歯肉の状態も確認しながら定期的なクリーニングを行っていきます。 |
| 治療の リスク |
・歯肉の炎症がある場合は歯石除去中に出血を伴う可能性があります。 ・処置後、知覚過敏が起こる可能性があります。 ・歯肉の炎症が治ると、歯肉が引き締まる為歯が長く見えるようになることがあります。 |
歯のクリーニング症例15
| 年齢・性別 | 40代・男性 |
|---|---|
| リクエスト | クリーニング |
| 治療費用 | 初診料+クリーニング (保険) 4,330円 |
| 治療期間 | 1日(60分) |
| 治療の リスク |
・SC(歯石除去)を行うことで、知覚過敏になる場合があります。 歯石で覆われていた部分が歯石除去によって露出され、一時的に歯がしみることがあります。 ・歯石除去によって、歯茎から出血する場合があります。これは細菌の毒素によって炎症を起こしている為です。 なお、歯茎が腫れている場合は、血が出るのは異常なことではありません。 やわらかめの歯ブラシにてマッサージするように歯を磨いてください。 ・歯石除去によって、歯茎が下がって見えることがあります。 歯石を除去したことで、腫れていた歯茎が引き締まることが要因です。歯茎が下がったように見えますが、 炎症が抑えられ、本来の状態に戻った証拠です。 ・歯石除去をすると、歯と歯の間の隙間が目立つことがあります。 これは歯の間を覆うようについてしまった歯石を除去したときによく見受けられます。 |
歯のクリーニング症例16
| 年齢・性別 | 30代・男性 |
|---|---|
| リクエスト | メンテナンスでの来院、 ステイン除去 |
| 治療費用 | 約4,300円 |
| 治療期間 | 1回 |
| 治療方針 | 定期的なメンテナンスで着色除去を行っていきました。 |
| 患者さんの特徴 | 特別磨き残しが多い訳ではないですが、磨きにくいところに着色が多く残ってしまうので定期検診の間隔を1度短くして、今後はどれ位着色するかをみて間隔を決めていく様にしました。 ステイン除去効果のある歯磨き粉を併用していきました。 |
| 治療の リスク |
・着色は1度綺麗に除去しても、再度付着します。 ・ホワイトニングとは異なり、白くする効果はありません。 |
歯のクリーニング症例17
| 年齢・性別 | 30代・男性 |
|---|---|
| リクエスト | メンテナンスでの来院、 ステイン除去 |
| 治療費用 | 約4,300円 |
| 治療期間 | 1回 |
| 治療方針 | 定期的なメンテナンスで着色除去を行っていく |
| 治療の リスク |
・着色は1度綺麗に除去しても、再度付着します。 ・ホワイトニングとは異なり、白くする効果はありません。 |
| 担当者 所見 |
在宅勤務で、コーヒーを飲む回数が増え着色が付きやすくなっていました。ステイン除去効果のある歯磨剤を使用していくことになりました。 今後も在宅ワークが続くとのことなので着色の付き具合を見ながらメンテナンスの間隔を決めていきます。 |
歯のクリーニング症例18
| 年齢・性別 | 30代・男性 |
|---|---|
| リクエスト | メンテナンスでの来院、 歯石除去 |
| 治療内容 | クリーニング |
| 治療費用 | 約4,300円 |
| 治療期間 | 1回 |
| 治療方針 | 定期的なメンテナンスで着色除去を行っていく |
| 治療の リスク |
・歯肉の炎症がある場合は歯石除去中に出血を伴う可能性があります。 ・処置後、知覚過敏が起こる可能性があります。 ・歯肉の炎症が治ると、歯肉が引き締まる為歯が長く見えるようになることがあります。 |
| 担当者 所見 |
下の歯の裏側が歯ブラシ頑張っても歯石がついてしまうとのことでしたので定期的なメンテナンスで歯石除去を行っていく。 |
歯のクリーニング症例19
| 年齢・性別 | 30代・男性 |
|---|---|
| リクエスト | 定期検診 |
| 治療内容 | スケーリング、PMTC |
| 治療費用 | 約3,500円 |
| 治療期間 | 1日 |
| 治療方針 | 2〜3ヶ月に1度の定期的なクリーニングを行い、歯石着色共につきにくい環境を作っていきます。 また生活習慣の見直していただきます。 |
| 治療の リスク |
歯石を除去したことでしみることがあります。 歯石も着色も1度除去しても、再度付着するため定期的なクリーニングが必要になります。 |
| 担当者 所見 |
すごく目立つ着色ではないですが、定期的なクリーニングをして着色のつきにくい状態に持っていければ良いなと思います。 |
歯のクリーニング症例20
| 年齢・性別 | 30代・男性 |
|---|---|
| リクエスト | メンテナンスでの来院 |
| 治療内容 | クリーニング |
| 治療費用 | 約4,360円(保険診療) |
| 治療期間 | 1回 |
| 治療方針 | 定期的なメンテナンスで歯石除去、着色除去 |
| 治療の リスク |
歯石除去をおこなっているため、 ・歯石を除去する際に、出血することがあります。 ・処置後に一時的にしみる可能性があります。 |
| 担当者 所見 |
下の歯の前歯はどんな方でも歯石が溜まりやすい場所ですが、そこに溜まりやすいので歯ブラシの当て方なども一緒にアドバイスさせて頂きました。 今後も、3ヶ月に1度の定期検診でしっかりクリーニングをしていきます。 |
歯のクリーニング症例21
| 年齢・性別 | 40代・男性 |
|---|---|
| リクエスト | メンテナンスでの来院、 ステイン除去 |
| 治療内容 | クリーニング |
| 治療費用 | 約4,300円(保険診療・3割負担) |
| 治療期間 | 1回 |
| 治療方針 | 定期的なメンテナンスで着色除去を行っていく |
| 治療の リスク |
歯石除去をおこなっているため、 ・歯石を除去する際に、出血することがあります。 ・処置後に一時的にしみる可能性があります。 |
| 担当者 所見 |
下の前歯の裏側に歯石が付きやすいため、歯磨き指導を行いました。 またコーヒーをよく飲むとのことでしたので、ステイン除去歯磨剤を提案させていただきました。 |
歯のクリーニング症例22
| 年齢・性別 | 60代・男性 |
|---|---|
| リクエスト | メンテナンスでの来院 |
| 治療内容 | クリーニング |
| 治療費用 | 8,800円(自由診療) |
| 治療期間 | 1回 |
| 治療方針 | 定期的なメンテナンスで歯石除去、着色除去を行っていく |
| 治療の リスク |
歯石除去をおこなっているため、 ・歯石を除去する際に、出血することがあります。 ・処置後に一時的にしみる可能性があります。 |
| 担当者 所見 |
3ヶ月に1度、定期的にクリーニングを行なっていますが、数ヶ月経つと上下の前歯の表面にうっすらと着色がついてきます。クリーニングするだけで、全体のトーンも明るくなり清潔感が増します。 |
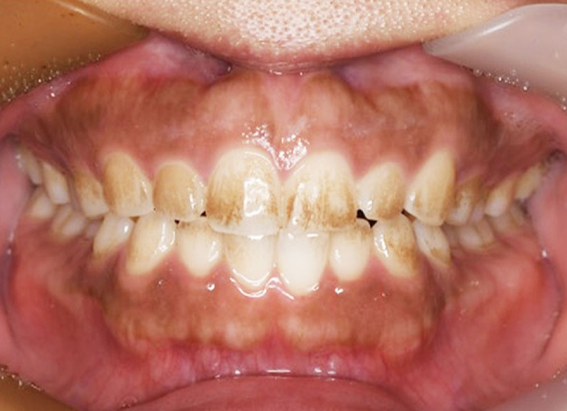
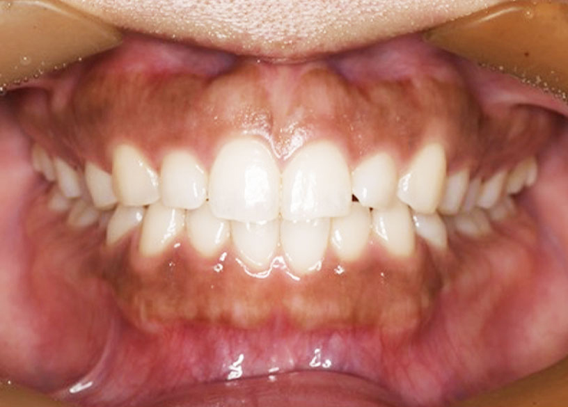
歯のクリーニング症例23
| 年齢・性別 | 40代・女性 |
|---|---|
| リクエスト | 親知らず抜きたい |
| 治療内容 | クリーニング・歯石取り |
| 治療費用 | 約4,300円 (保険診療・3割負担) |
| 治療期間 | 1回 |
| 治療方針 | 1か月でメンテナンスで歯石除去を行っていく。 歯ブラシレッスン |
| 治療の リスク |
歯石除去をおこなっているため、 ・歯石を除去する際に、出血することがあります。 ・処置後に一時的にしみる可能性があります。 |
| 担当者 所見 |
1日2回の歯ブラシで普段はフロスを使用していないことでしたので、フロスの指導。 忙しくてしっかりと磨く事ができないとのことなので、1か月に1度来ていただいてクリーニングを行う。 |
歯のクリーニング症例24
| 年齢・性別 | 50代・男性 |
|---|---|
| リクエスト | メンテナンスでの来院、 歯石除去 |
| 治療内容 | クリーニング |
| 治療費用 | 約4,300円 (保険診療・3割負担) |
| 治療期間 | 1回 |
| 治療方針 | 定期的なメンテナンスで着色除去を行っていく。 |
| 治療の リスク |
歯石除去をおこなっているため、 ・歯石を除去する際に、出血することがあります。 ・処置後に一時的にしみる可能性があります。 |
| 担当者 所見 |
下の前歯の裏側に歯石がつきやすいため、歯ブラシ指導を行い定期的に、歯石取りをおこなっていく。 |
歯のクリーニング症例25
| 年齢・性別 | 50代・男性 |
|---|---|
| リクエスト | メンテナンスでの来院、 ステイン除去 |
| 治療内容 | クリーニング |
| 治療費用 | 約4,300円 (保険診療・3割負担) |
| 治療期間 | 1回 |
| 治療方針 | 定期的なメンテナンスで着色除去を行っていく。 |
| 治療の リスク |
歯石除去をおこなっているため、 ・歯石を除去する際に、出血することがあります。 ・処置後に一時的にしみる可能性があります。 |
| 担当者 所見 |
下の歯の裏側に歯石が付着しているため、歯石取り、歯ブラシの指導をおこなった。 |
歯のクリーニング症例26
| 年齢・性別 | 30代・女性 |
|---|---|
| リクエスト | 虫歯治療してほしい |
| 治療内容 | スケーリング |
| 治療費用 | 1,240円 |
| 治療期間 | 1回 |
| 治療方針 | 虫歯治療をすすめながら全体的なクリーニングを行います。 普段のセルフケア、歯科医院での定期検診(プロフェッショナルケア)の重要性を伝えます。 |
| 治療の リスク |
知覚過敏、歯がしみること、歯茎からの出血を伴うことがあります。 処置前と比較すると歯茎が下がったように見えることがあります。 |
| 担当者 所見 |
歯科医院での歯石除去はかなり久しぶり。プラークコントロールは悪くないです。 定期的にクリーニングを行いbeforeの状態にならないように診ていきます。 |
歯のクリーニング症例27
| 年齢・性別 | 30代・女性 |
|---|---|
| リクエスト | 定期検診での来院 |
| 治療内容 | スケーリング、PMTC |
| 治療費用 | 約4,340円 |
| 治療期間 | 1回 |
| 治療方針 | PMTCで着色除去、 食生活指導 |
| 治療の リスク |
・歯石を除去する際に、 出血することがあります。 ・処置後に一時的に しみる可能性があります。 ・着色は再び付着します。 ・ホワイトニングと異なり歯を白くする効果はありません。 |
| 担当者 所見 |
喫煙歴はなし。 最近紅茶やコーヒーをよく飲むようになったみたいなので飲んだ後は口をゆすぐこと、 研磨剤が入っている着色しにくい歯磨き粉をおすすめしました。 希望があればリコール間隔を短くすることもお話しました。 |
歯のクリーニング症例28
| 年齢・性別 | 42歳・男性 |
|---|---|
| リクエスト | 定期検診での来院 |
| 治療内容 | スケーリング、PMTC |
| 治療費用 | 4,360円(保険診療) |
| 治療期間 | 60分 |
| 治療方針 | 定期的なメンテナンス |
| 治療の リスク |
・歯石を除去する際に、 出血することがあります。 ・歯石除去をすることで、 一時的に知覚過敏が起こることがあります。 ・生活習慣(喫煙・コーヒーなど)により 再度着色する可能性があります。 |
| 担当者 所見 |
どうしても、下の歯の歯列不正がある箇所が磨きにくくて歯石と着色共に付着してしまうので今後もしっかりメンテナンスで管理していきます。 |
歯のクリーニング症例29
| 年齢・性別 | 30代・男性 |
|---|---|
| リクエスト | 歯石をとりたい |
| 治療内容 | スケーリング |
| 治療費用 | 約4,000円 (初診療+スケーリング) |
| 治療期間 | 1回 |
| 治療方針 | 初回は縁上歯石除去。 次回以降でSRP進めていくことお話並行して染出し、TBIを行いセルフケアの確立、定期検診の重要性についてお話。 C治療必要箇所もあるので行っていきます。 |
| 治療の リスク |
・歯肉の炎症がある場合は歯石除去中に出血を伴う可能性があります。 ・処置後、知覚過敏が起こる可能性があります。 ・歯肉の炎症が治ると、歯肉が引き締まる為歯が長く見えるようになることがあります。 |
| 担当者 所見 |
歯科医院は小学生ぶりとのこと。 歯科医院に通院する習慣がないので歯茎の状態が安定するまでは2,3週間間隔で来ていただいてP処していく。 患者様にはセルフケアとプロフェッショナルケアの両方が大事だと伝え治療していきます。 |
歯のクリーニング症例30
| 年齢・性別 | 51歳・女性 |
|---|---|
| リクエスト | 定期検診 |
| 治療内容 | 歯石取り、PMTC |
| 治療費用 | 3,000〜4,000円前後 (初診料) |
| 治療期間 | 60分 |
| 治療方針 | 定期検診の際は検査をさせて頂いております。 (レントゲン、口腔内写真、歯式、歯周病検査、歯石取り、PMTC、フロス、 フッ素塗布) |
| 治療の リスク |
歯石除去をおこなっているため、 ・歯石を除去する際に、出血することがあります。 ・処置後に一時的にしみる可能性があります。 |
| 特記事項 | 年に1回レントゲン撮影をします。 |
| 担当者 所見 |
下の前歯の裏側に歯石がつきやすい為、ブラッシングレッスンを行いま した。 |
歯のクリーニング症例31
| 年齢・性別 | 35歳・男性 |
|---|---|
| リクエスト | 検診希望 |
| 治療内容 | クリーニング (歯石取り・PMTC) |
| 治療費用 | 3,000〜4,000円前後 (初診料) |
| 治療期間 | 60分 |
| 治療方針 | 定期検診の際は検査をさせて頂いております。 (レントゲン、口腔内写真、歯式、歯周病検査、歯石取り、PMTC、フロス、 フッ素塗布) |
| 治療の リスク |
歯石除去をおこなっているため、 ・歯石を除去する際に、出血することがあります。 ・処置後に一時的にしみる可能性があります。 |
| 特記事項 | 年に1回レントゲン撮影をします。 |
| 担当者 所見 |
下の歯の並びが少し傾きがあるため歯ブラシが当たりずらいため歯ブラシレッスンを行いました。 |
歯のクリーニング症例32
| 年齢・性別 | 40歳・女性 |
|---|---|
| リクエスト | 虫歯治療がしたい |
| 治療内容 | 歯石取り・定期健診 |
| 治療費用 | 約3,000〜4,000円前後 (保険の負担額で変わります) |
| 治療期間 | 60分 |
| 治療方針 | 下の前歯の裏側に歯石が付きやすいため、ブラッシングの仕方についてお伝えします。 3か月に1回の定期検診でメインテインを行っていきます。 |
| 治療の リスク |
・歯茎に違和感や痛みを覚える場合があります。 ・1週間程、歯を磨くと出血することがあります。 ・腫れていた歯茎が引き締まることで、歯茎が下がったように見えます。 ・実際には歯茎が下がった訳ではなく、本来の歯茎に戻ったことにより見た目の変化です。 ・また歯がしみやすくなることがあります。 |
| 担当者 所見 |
歯石が除去を行ったことで歯茎が下がることお伝えしました。 |
歯のクリーニング症例33
| 年齢・性別 | 48歳・男性 |
|---|---|
| リクエスト | クリーニングがしたい |
| 治療内容 | 定期検診 (歯のクリーニング) |
| 治療費用 | 8,800円 |
| 治療期間 | 3ヶ月に1度 |
| 治療方針 | 定期的にクリーニングを行い、歯石や着色を除去していきます。 |
| 治療の リスク |
・歯石除去後、歯が沁みることがあります。 ・着色は除去しても再度ついてきてしまうことがあるので、定期的にクリーニングを行う必要があります。 |
歯のクリーニング症例34
| 年齢・性別 | 50歳・男性 |
|---|---|
| リクエスト | 定期検診 |
| 治療内容 | スケーリング、PMTC |
| 治療費用 | 約3,500円 |
| 治療期間 | 1日 |
| 治療方針 | 2〜3ヶ月に1度の定期的なクリーニングを行い、歯石着色共につきにくい環境を作っていく。 |
| 治療の リスク |
・歯石を除去したことでしみることがある。 ・歯石も着色も1度除去しても、再度付着するため定期的なクリーニングが必要になる。 |
| 担当者 所見 |
3ヶ月のクリーニングを10年以上続けているので、大きなトラブルなくメンテナンスを行なっています。 今後もメンテナンスをしっかり継続しながら今の状態をキープしていけると良いなと思っています。 |
歯のクリーニング症例35
| 年齢・性別 | 30歳・男性 |
|---|---|
| リクエスト | 定期検診 |
| 治療内容 | スケーリング、PMTC |
| 治療費用 | 約3,500円 |
| 治療期間 | 1日 |
| 治療方針 | 2〜3ヶ月に1度の定期的なクリーニングを行い、歯石着色共につきにくい環境を作っていく。 生活習慣の見直し。 |
| 治療の リスク |
・歯石を除去したことでしみることがある。 ・歯石も着色も1度除去しても、再度付着するため定期的なクリーニングが必要になる。 |
| 担当者 所見 |
どうしても、歯ブラシが当たりにくい部位が歯石や着色が付きやすいため、下の歯の裏側を意識しながらブラッシングしていく。 |
歯のクリーニング症例36
| 年齢・性別 | 43歳・女性 |
|---|---|
| リクエスト | 定期検診・クリーニング希望 |
| 治療内容 | 歯石取り、PMTC (定期検診) |
| 治療費用 | 4,010円(保険診療のため負担割合で金額が異なります。) |
| 治療期間 | 60分 |
| 治療方針 | 定期的なクリーニング |
| 治療の リスク |
歯がしみたり痛みが出る場合があります。1日~2日でおさまるので心配はありません。 |
| 担当者 所見 |
コーヒーをよく飲むとのことでステイン(着色)つきやすい。 |
歯のクリーニング症例37
| 年齢・性別 | 41歳・男性 |
|---|---|
| リクエスト | 定期検診 |
| 治療内容 | SC、PMTC |
| 治療費用 | 約4,500円 (2022年7月現在) |
| 治療期間 | 1日 |
| 治療方針 | 定期的なクリーニング |
| 治療の リスク |
歯石を除去することで知覚過敏が起こることがあります。 1度歯石除去をしても、再度付着しますので定期的なクリーニングが必要になります。 |
| 担当者 所見 |
海外との行き来がある方なので日程調整が難しいこともありますが、できるだけ3ヶ月に1度は定期的にいらしてもらうようにする。海外の方なので、フロスの習慣はあるので継続して貰いながら歯科医院でのクリーニングをしていく。 |
歯のクリーニング症例38
| 年齢・性別 | 37歳・男性 |
|---|---|
| リクエスト | 定期検診(全顎) |
| 治療内容 | スケーリング(歯石除去) PMTC |
| 治療費用 | 約4,500円 (2022年7月現在) |
| 治療期間 | 1日 |
| 治療方針 | 2〜3ヶ月に1回の クリーニング |
| 治療の リスク |
歯石を除去することで知覚過敏が起こることがあります。 1度歯石除去をしても、再度付着しますので定期的なクリーニングが必要になります。 |
| 担当者 所見 |
少し久しぶりの来院でしたが、歯石が以前より付着していましたが、ご本人でも歯石が付着していることに気付いていたので、なるべく2〜3ヶ月に1度は来院するようにしていくとのことでした。 |
歯のクリーニング症例39
| 年齢・性別 | 88歳・男性 |
|---|---|
| 主訴と治療部位 | ホワイトニング |
| 治療内容 | オフィスホワイトニング 3回 |
| 治療費用 | 合計9,900円 オフィスホワイトニング3,300円×3 (2022年7月現在) |
| 治療期間 | 1日 |
| 治療方針 | 定期検診、 ホワイトニング |
| 治療の リスク |
・ホワイトニング後数日間しみることがあります ・数日知覚過敏の症状が出ることがあります ・歯の色むらが目立つことがあります ・詰め物や被せ物が白くならないためムラが目立つことがあります |
| 担当者 所見 |
定期検診に普段は通われていてホワイトニングを試してみたいとのことで3回行いました。 歯頚部はコンポジットレジン治療を行っているため白くならないことを説明して行いました。 白くなったと喜んでいただき再度ホワイトニングのアポイントを取りました。 |
歯のクリーニング症例40
| 年齢・性別 | 38歳・男性 |
|---|---|
| 主訴と治療部位 | 着色が気になる |
| 治療内容 | PMTC |
| 治療費用 | 5,500円 (2022年6月現在) |
| 治療期間 | 30分 |
| 治療方針 | 一か月で着色が付きやすいとのことでしたので、歯磨剤を提案させていただきました。 |
| 治療の リスク |
着色汚れは除去できますが、歯本来の色味を白くする効果はありません。 色味を白くしたい場合は、PMTCの後にホワイトニングすると効果的です。 |
| 担当者 所見 |
毎日コーヒーを飲むとのことで着色、茶渋が表側に付着しているのが気になるとのこと。 また、先月クリーニングをしたとのことなのでPMTCを提案しました。 |
歯のクリーニング症例41
| 年齢・性別 | 47歳・男性 |
|---|---|
| 主訴と治療部位 | 定期検診 |
| 治療内容 | 定期検診、歯石取り、PMTC、フッ素塗布 |
| 治療費用 | 3,870円 (2022年6月現在) |
| 治療期間 | 60分 |
| 治療の リスク |
治療後、歯茎に違和感や痛みを覚える場合がありますが、歯周病が改善していくと違和感や痛は軽減されます。また、歯が染みやすくなることがあります。 |
| 担当者 所見 |
しっかりと定期検診に通っていただいている方で三か月くらいで着色が気になってくるとのことで、 三か月に1度クリーニングをさせていただいてます。また歯磨剤もヒスケアを使用していただいてます。 |
歯のクリーニング症例42
| 年齢・性別 | 26歳・男性 |
|---|---|
| 主訴と治療部位 | クリーニング全顎 |
| 治療内容 | PMTC |
| 治療費用 | 約4,600円 (2022年6月現在) |
| 治療期間 | 1日 |
| 治療の リスク |
生活習慣にもよりますが、着色は再度付着します。 |
| 担当者 所見 |
クリーニング自体がお久しぶりの方でした。 ご予定と相談しながらですが、最初は月1回くらいのペースでクリーニングを入れていき、ご自身でも良い状態が保てるようになったらメンテナンスの間隔を徐々に伸ばしていければと思います。 |
歯のクリーニング症例43
| 年齢・性別 | 65歳・男性 |
|---|---|
| 主訴と治療部位 | 歯石除去したい |
| 治療内容 | スケーリング、PMTC |
| 治療費用 | 約1,500円 (2022年7月現在) |
| 治療期間 | 2ヶ月に1回 30分 |
| 治療の リスク |
・歯肉の炎症がある場合は歯石除去中に出血を伴う可能性があります。 ・処置後、知覚過敏が起こる可能性があります。 ・歯肉の炎症が治ると、歯肉が引き締まる為歯が長く見えるようになることがあります。 |
| 担当者 所見 |
下の前歯に歯石がつきやすい患者様。ご自身でもそれは理解していて、歯ブラシを2本使い分けて磨いてくれているそうです。 歯ブラシだけでは歯と歯の隙間が磨きにくいと感じたので歯間ブラシをお勧めさせていただき、ブラッシング指導も一緒に行いました。 |
歯のクリーニング症例44
| 年齢・性別 | 58歳・男性 |
|---|---|
| 主訴と治療部位 | 定期検診(全顎) |
| 治療内容 | スケーリング、PMTC |
| 治療費用 | 約4,500円 (2022年8月現在) |
| 治療期間 | 1日 |
| 治療方針 | 3ヶ月に1度しっかり通ってくださる方なので、 お口の中の状態に合わせて今後も引き続き定期的にクリーニングをおこなっていきます。 |
| 治療の リスク |
歯石は1度除去しても再度付着するので、定期的な除去が必要です。 歯石を除去したことで、知覚過敏が起こることがあります。 |
| 担当者 所見 |
ご自身でも1日2〜3回の歯ブラシはしっかり行えていますが、 どうしても下の前歯の裏側は歯石が溜まりやすいです。 歯ブラシの選び方、当て方、補助清掃用具の使用についてアドバイスさせていてただきました。 また、奥歯は歯肉縁下にも歯石が少し付着していたのでそこの部分も注意深く経過を追って診ていきます。 |
歯のクリーニング症例45
| 年齢・性別 | 47歳・男性 |
|---|---|
| 主訴と治療部位 | 定期検診(全顎) |
| 治療内容 | 定期検診 |
| 治療費用 | 4,650円 (2022年9月現在) |
| 治療期間 | 1日 |
| 治療方針 | 3ヶ月に1度定期的にクリーニングをおこなっていく。 ステイン除去効果のある歯磨剤を使用する。 |
| 治療の リスク |
着色は1度綺麗に除去しても再度付着します。 |
| 担当者 所見 |
現在は3ヶ月に1度のクリーニングをおこなっています。 全体的に表面に着色がついていますが、定期的にクリーニングをおこなっているので、除去するのにそこまで時間もかからずに施術が行えます。 歯の根本の部分にプラスチックで治療しているところの周りは少し茶色くなっていますが、もっと目立つようになってきたり患者さん自身が気になってきた場合は、プラスチックを詰め直す処置をすると綺麗にすることができます。 生活習慣によりステインが強く付着する時とそうでない時とありますが、引き続き定期的にクリーニングを行っていきます。 |
歯のクリーニング症例46
| 年齢・性別 | 49歳・男性 |
|---|---|
| 主訴と治療部位 | 海外在住の方 日本に帰国したタイミングでクリーニングしたかった |
| 治療内容 | 歯石取り、PMTC |
| 治療費用 | 8,800円(自費クリーニング60分) (2022年11月現在) |
| 治療期間 | 1日 |
| 治療方針 | 帰国したタイミングで今後もクリーニングをしていきましょう。 |
| 治療の リスク |
処置後、知覚過敏が起こる可能性があります。また歯茎が引き締まり、歯が長く見えることがあります。 1度歯石を除去しても、再度歯石が付着します。定期的なクリーニングが必要です。 |
| 担当者 所見 |
海外在住の為通うのが難しい方。クリーニングはかなり久しぶりで、ご自身ではあまり気になっていなかったそう。 こちらからクリーニングをお勧めし、行いました。 海外の歯医者も通っているそうなので、今後はそちらの歯医者でもクリーニングを行っていきましょう。 |
歯のクリーニング症例47
| 年齢・性別 | 53歳・男性 |
|---|---|
| 主訴と治療部位 | 主訴:着色が気になる 部位:全顎 |
| 治療内容 | PMTC |
| 治療費用 | 5,500円 (2022年12月現在) |
| 治療期間 | 1日 |
| 治療方針 | 定期的なクリーニングを行っていきます。 他医院にて3ヶ月前にクリーニングをしたものの割とすぐ戻ってしまったとのことだったので、1~2ヶ月後に状態を確認させていただき、患者様とご相談しながら来院頻度を決めていきます。 |
| 治療の リスク |
着色は除去しても再度付着します。 良い状態をキープするには、定期的なクリーニングが必要です。 知覚過敏が起こる可能性があります。 |
| 担当者 所見 |
極端に歯ブラシが当たっていないわけではなかったですが、歯ブラシのポイントをいくつかお伝えさせて頂きました。 また、前回歯ブラシ交換したのは3ヶ月前とのことだったので、月に1回は交換することをおススメしました。 初診の患者様だったので今後のペースを決めていくにあたり、次回1~2ヶ月後くらいに状態確認させて頂き決めていきます。 |
歯のクリーニング症例48
| 年齢・性別 | 58歳・男性 |
|---|---|
| 主訴 | 定期検診(全顎) |
| 治療内容 | 定期検診(SC.PMTC) |
| 治療期間 | 1日 |
| 治療費用 | 4,650円 (2022年11月現在) |
| 治療方針 | 2~3ヶ月に1度の定期検診 |
| 治療の リスク |
歯石、着色は1度除去しても再度付着します。 一時的に知覚過敏が起こることがあります。 |
| 担当者所見 | ヘビースモーカーの患者様で、唾液の量も少なく着色しやすい患者様です。 歯肉退縮もあり、知覚過敏に気をつけながらクリーニングを行いました。 まだ日常生活でも知覚過敏が始まっているわけではないですが、今後しみてくる可能性もあるのであまり強く磨きすぎずにしっかり当てるやり方と歯並びが少しでこぼこしているので、そこの部分の歯ブラシの当て方も確認しました。 歯磨剤の選び方もアドバイスさせていただきました。 次回2ヶ月後に定期検診を入れているので、どれくらい着色が戻っているか確認していきます。 |
歯のクリーニング症例49
| 年齢・性別 | 68歳・男性 |
|---|---|
| 主訴 | ・定期検診 ・全顎スケーリング |
| 治療内容 | ・全顎スケーリング ・PMTC |
| 治療期間 | 3ヵ月ごと定期検診、6回目 |
| 治療費用 | 4,020円 (2022年11月現在) |
| 治療の リスク |
・歯肉の炎症がある場合は歯石除去中に出血を伴う可能性があります。歯周病が改善していれば、出血する可能性は低くなっていきます。 ・処置後、知覚過敏が起こる可能性があります。 ・歯肉の炎症が治ると、歯肉が引き締まる為歯が長く見えるようになることがあります。 |
| 特記事項 | 左上6、7番入れ歯使用中 |
| 担当者所見 | 3か月ごとの定期検診にいらしている方。 下の前歯に歯石がたまりやすく、定期的に来院されてクリーニングを行っています。 今後も定期健診で、クリーニングを行い歯石除去をおこなっていきます。 |
歯のクリーニング症例50
| 年齢・性別 | 50代・男性 |
|---|---|
| 主訴と治療部位 | 主訴:定期検診 部位:全顎 |
| 治療内容 | SC(スケーリング:歯石除去) PMTC(歯石除去・歯面清掃) |
| 時間 | 1日 |
| 治療費用 | 約4,620円 (2022年12月現在) |
| 治療方針 | 3ヶ月に1度のクリーニングを継続していく。 |
| 治療の リスク |
着色は除去しても再度付着します。 一時的に知覚過敏が起こりしみる場合があります。 |
| 治療の リスク |
1日1.5箱タバコを吸う方で、量を減らすのは難しいとのことでした。 歯と歯茎の境目部分に、プラークが残っているので歯ブラシのあて方についてもお話ししました。 現在は知覚過敏にはなっていませんが歯肉退縮があるので今後知覚過敏になる可能性があるので注意しながら診ていきます。 3ヶ月に1度しっかり来院してくれているので今後も定期検診を継続して行っていきます。 |
歯のクリーニング症例51
| 年齢・性別 | 38歳・男性 |
|---|---|
| 主訴・治療部位 | 主訴:定期検診 部位:全顎 |
| 治療内容 | SC,PMTC |
| 治療費 | 4,620円 (2022年12月現在) |
| 治療期間 | 1日 |
| リスク・副作用 | 歯石を除去した後、しみる可能性があります。 歯肉の炎症が強いと出血を伴うことがあります。 腫れていた歯肉が引き締まることで歯肉が下がることがあります。 |
| 治療方針 | 2~3ヶ月に1度の定期的なクリーニング |
| 担当者所見 | 下の前歯の裏はどんな方でも歯石が溜まりやすいですが、特に矯正の保定装置が付いている場合はより歯石がつきやすいです。 歯ブラシの当て方、選択方法等アドバイスさせて頂きました。 今のところは施術中も施術後も知覚過敏は起きていませんが、今後も気を付けながらクリーニングを行っていきます。 |
歯のクリーニング症例52
| 年齢・性別 | 52歳・男性 |
|---|---|
| 主訴・治療部位 | 主訴:クリーニング 部位:全顎 |
| 治療内容 | 歯石取り、PMTC、フッ素塗布 |
| 治療費 | 4,000円 (2023年1月現在) |
| 治療期間 | 1日 |
| リスク・副作用 | 歯石を除去した後、しみる可能性があります。 歯肉の炎症が強いと出血を伴うことがあります。 腫れていた歯肉が引き締まることで歯肉が下がることがあります。 |
| 治療方針 | 今後も3ヵ月に1度の頻度でクリーニングしていきましょう。 |
| 担当者所見 | 下顎の裏側に歯石はつきやすい方。 ブラッシング指導も一緒に行い確認しました。 フロスなどの補助道具を使用することもおすすめしました。 |
歯のクリーニング症例53
| 年齢・性別 | 46歳・女性 |
|---|---|
| 主訴・治療部位 | 主訴:全体的に着色が気になる。(特に右上1番、左上1番) クリーニングもしてほしい |
| 治療内容 |
SC(スケーリング:歯石除去) PMTC(歯石除去・歯面清掃) |
| 治療費 | 約4,620円 (2023年1月現在) |
| 治療期間 | 1日 |
| リスク・副作用 | ・歯肉の炎症がある場合、歯石除去中に出血する可能性があります。 ・処置後、一時的に知覚過敏が起こる可能性があります。 ・着色は再び付着します。 ・ホワイトニングと異なり歯を白くする効果はありません。 ・歯肉の炎症が治ると、歯肉が引き締まる為歯が長く見えるようになることがあります。 |
| 治療方針 | 定期的なメンテナンスで着色除去、歯石除去を行っていきます。 |
| 担当者所見 | 喫煙歴なし。 仕事柄、紅茶やコーヒーをよく飲むとのことで着色が付きやすくなっていました。 飲んだあとは口をゆすぐこと、ステイン除去効果のある歯磨剤を使用していくことをオススメしました。 今後も着色の付き具合を見ながらメンテナンスをすすめていく。 |
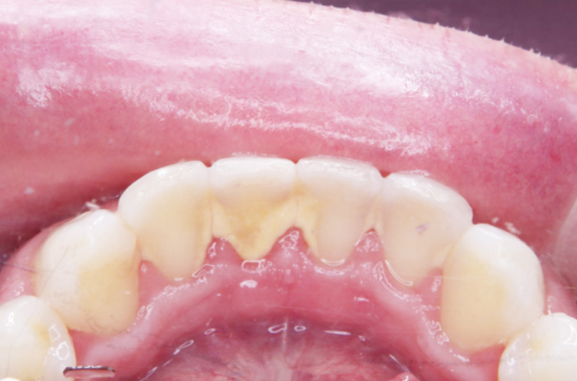
歯のクリーニング症例54
| 年齢・性別 | 27歳・男性 |
|---|---|
| 主訴・治療部位 | 主訴:クリーニング 部位:全顎 |
| 治療内容 | 歯石除去、PMTC、フッ素塗布 |
| 治療費 | 約4,000円 (2023年1月現在) |
| 治療期間 | 1日 |
| リスク・副作用 | 歯茎付近の歯石除去を行っているので、2~3日は、歯磨きのタイミングで出血する可能性があります。 施術後2~3日は知覚過敏の症状が現れる可能性があります。 歯石は1度除去しても再度、付いてきます。定期的なクリーニングが必要です。 |
| 治療方針 | 歯石等はついていましたが、出血などはあまりなかったので、今後も3ヶ月毎に定期検診して様子を見ていきましょう。 |
| 担当者所見 | この写真では下の前歯の歯石が目立ちますが、全体的に歯と歯茎の境目に磨き残しがあったため、ブラッシング指導も行いました。 また、歯石は歯と歯の間についていたのでフロスなども併用し、セルフケアを行っていくことで歯石が付きにくくなると感じました。 |
歯のクリーニング症例55
| 年齢・性別 | 27歳・男性 |
|---|---|
| 主訴・治療部位 | 全体の着色が気になるので落としたい。 |
| 治療内容 | 歯石除去、PMTC、フッ素塗布、ドクターによる虫歯チェック |
| 治療費 | 約4,000円 (2023年1月現在) |
| 治療期間 | 1日 |
| リスク・副作用 | 着色汚れは1度落としても、再度付着します。定期的なクリーニングで歯の表面の傷を少なくしていくことで、着色はつきにくくなります。 歯石除去で歯茎付近の歯石を除去しているため、2~3日知覚過敏の症状が出る可能性があります。 |
| 治療方針 | 今後も3ヵ月ごとの定期検診で着色汚れを付きにくくしていきましょう。また、着色予防の歯磨剤等を使用し、毎日のセルフケアで着色を予防するのもお勧めです。 |
| 特記事項 | ホワイトニングとは異なり歯自体を白くする施術ではありません。 |
| 担当者所見 | 着色が付く原因は様々ですが、飲み物や食べ物、口呼吸でも着色してしまいます。コーヒーや緑茶を飲んだ後はうがいをするなどして予防していくことも大切です。 着色を落とすだけでも、口元の印象が明るくなり、清潔感が出ます。 |
歯のクリーニング症例56
| 年齢・性別 | 31歳・男性 |
|---|---|
| 主訴・治療部位 | 全顎の着色が気になる |
| 治療内容 | 全顎歯石除去、PMTC |
| 治療費 | 約4,020円 (2023年2月現在) |
| 治療期間 | 1日 |
| リスク・副作用 | ・歯石除去をおこなっているため処置後に一時的にしみる可能性があります。 ・歯石を除去する際に、出血することがあります。 ・炎症が治ると、歯肉が引き締まる為歯が長く見えるようになることがあります。 ・着色は除去しても再度付着します。 良い状態をキープするには、定期的なクリーニングが必要です。 ・ホワイトニングと異なり歯を白くする効果はありません。 |
| 治療方針 | 定期的なメンテナンスで歯石除去、着色除去を行っていく。 |
| 特記事項 | ホワイトニングとは異なり歯自体を白くする施術ではありません。 |
| 担当者所見 | 喫煙歴はなし。 昔から紅茶やコーヒーをよく飲むとのことなので飲んだ後は口をゆすぐことと、セルフケアでも研磨剤が入っている着色しにくい歯磨き粉をおすすめしました。 気が向いた時にしかクリーニングには行かないとおっしゃっていたため、今後はなるべく期間をあけずにクリーニングに来て頂くことをおすすめしました。 また、患者様にはセルフケアとプロフェッショナルケアの両方が大事だとお伝えしました。 |
歯のクリーニング症例57
| 年齢・性別 | 41歳・女性 |
|---|---|
| 主訴・治療部位 | 定期検診をしたい |
| 治療内容 | 歯石除去、PMTC、ドクターによる虫歯のチェックなど |
| 治療費 | 約4,000円※保険診療 (2023年4月現在) |
| 治療期間 | 3か月に1度 |
| 治療方針 | 今後も3か月に1度の定期健診で、汚れをつきにくくしていきましょう。 |
| 特記事項 | ホワイトニングとは異なり歯自体を白くする施術ではありません。 |
| 担当者所見 | ・患者様は施術後の写真を比較するまで、着色汚れがついていると自覚されていませんでした。 ・実際に写真で比較し、かなり驚かれていました。 ・着色汚れなどは日々の積み重ねで徐々に汚れていくので、自分では認識しにくいです。 ・着色汚れは普段の歯ブラシでは落とすことが難しいので、定期的なクリーニングで除去する必要があります。 |
歯のクリーニング症例58
| 年齢・性別 | 30代・男性 |
|---|---|
| 主訴・治療部位 | 全顎の着色が気になる |
| 治療内容 | 全顎歯石除去、PMTC |
| 治療費 | 約4,020円※保険診療 (2023年5月現在) |
| 治療期間 | 1日 |
| 治療方針 | ・着色汚れは1度落としても再度付着します。 ・定期的なクリーニングで歯の表面の傷を減らしていくことで着色はつきにくくなります。 ・歯石除去で歯肉付近の歯石を除去しているため、約2~3日ほど知覚過敏の症状が出る場合があります。 ・詰め物や被せ物が白くならないためムラが目立つことがあります |
| 治療方針 | 定期的なメンテナンスで歯石除去、着色除去を行っていく。 |
| 特記事項 | ホワイトニングとは異なり歯自体を白くする施術ではありません。 |
| 担当者所見 | 喫煙歴はなし 着色が付く原因は様々ですが、飲み物や食べ物、口呼吸でも着色してしまいます。コーヒーや緑茶を飲んだ後、カレーやトマトソースなど色の濃い食べ物の後はうがいをするなどして予防していくことも大切です。 着色を落とすだけでも口元の印象が明るくなり、清潔感が出ます。 また今回は、前回のクリーニングから期間が空いてしまっていたため、定期的に来院するようお伝えしました。 |
歯のクリーニング症例59
| 年齢・性別 | 30代・男性 |
|---|---|
| 主訴・治療部位 | クリーニング全顎、オフィスホワイトニング1回 |
| 治療内容 | クリーニング全顎、オフィスホワイトニング1回 |
| 治療費 | 合計:7,320円 ・内訳 ・ホワイトニング:3300円×1回 ・クリーニング4,020円 (2023年5月現在) |
| 治療期間 | 1日 |
| 治療方針 | ・着色汚れは1度落としても再度付着します。 ・定期的なクリーニングで歯の表面の傷を減らしていくことで着色はつきにくくなります。 ・歯石除去で歯肉付近の歯石を除去しているため、約2~3日ほど知覚過敏の症状が出る場合があります。 ・詰め物や被せ物が白くならないためムラが目立つことがあります |
| 治療方針 | 定期検診を3ヵ月ごとに通っていただいている患者さまのため定期的なメンテナンスで歯石除去、着色除去を行っていきます。 また、検診時にオフィスホワイトニングしていくことを提案しました。 セルフケアでも、着色が付きにくい歯磨剤を提案しました。 |
| 特記事項 | 矯正器具のついてる部分にはホワイトニングの薬剤は塗布できません。 |
| 担当者所見 | 在宅勤務になったとのことでコーヒーや紅茶を飲むことが増え着色が付きやすくなっています。ステイン除去効果のある歯磨剤を使用していくことになりました。在宅ワークは今後も続くようで引き続き3ヵ月に一度のクリーニングのためしっかりと来院し、着色の除去をしていくことを提案しました。 |
歯のクリーニング症例60
| 年齢・性別 | 30代・男性 |
|---|---|
| 主訴・治療部位 | 主訴:定期検診 部位:全顎 |
| 治療内容 | スケーリング、PMTC |
| 治療費 | 4,630円 (2023年5月現在) |
| 治療期間 | 1日 |
| 治療方針 | 3ヶ月毎の定期的なクリーニング |
| 治療方針 | 定期検診を3ヵ月ごとに通っていただいている患者さまのため定期的なメンテナンスで歯石除去、着色除去を行っていきます。 また、検診時にオフィスホワイトニングしていくことを提案しました。 セルフケアでも、着色が付きにくい歯磨剤を提案しました。 |
| 特記事項 | 矯正器具のついてる部分にはホワイトニングの薬剤は塗布できません。 |
| 担当者所見 | 定期検診で以前より通院していた患者さまですが、お仕事のご都合で1年ぶりの来院でした。 以前からフロスの使用方法についてお伝えしていましたが、中々継続することが難しいとのことだったので、糸ようじの使用を提案しました。 今後は元々の3ヶ月に1度のペースに戻してクリーニングを継続して行なっていきます。 |
歯のクリーニング症例61
| 年齢・性別 | 30代・男性 |
|---|---|
| 主訴・治療部位 | 3ヵ月ごとの定期検診 部位:全顎 |
| 治療内容 | 歯石除去、PMTC、歯科医師による虫歯のチェックなど |
| 治療費 | 約4.000円 (2022年6月現在) |
| 治療期間 | 1日 |
| 治療方針 | 今後も3ヵ月に1度の頻度で定期検診していきましょう。 |
| 担当者所見 | 患者さまは着色汚れをあまり気にしてはいませんが、写真で比較すると着色汚れを落とすだけで、口元に清潔感が出ます。 定期的にクリーニングし、着色汚れの付きにくい歯にしていきましょう。 |
歯のクリーニング症例62
| 年齢・性別 | 40代・男性 |
|---|---|
| 主訴・治療部位 | SC、PMTC(全顎) 部位:全顎 |
| 治療内容 | 全顎クリーニング |
| 治療費 | SC、PMTC 約4,020円 (P検査、口腔内写真、フッ素塗布含む) 保険診療 3割負担 (2023年5月現在) |
| 治療期間 | 1日 |
| 治療方針 | 3ヶ月に1回、しっかり定期検診に通ってくださっている患者さまのため、お口の中の状態に合わせて今後も引き続きクリーニングをおこなっていきます。 |
| 特記事項 | ホワイトニングとは異なり歯自体を白くする施術ではありません。 |
| 担当者所見 |
喫煙歴なし。 仕事柄、紅茶やコーヒーをよく飲むとのことで着色が付きやすくなっていました。 飲んだあとは口をゆすぐこと、ステイン除去効果のある歯磨剤を使用していくことをオススメしました。 今後も着色の付き具合を見ながらメンテナンスをすすめていきます。 またブラッシング指導も一緒に行いました。特に下顎の前歯が歯列不正のため磨きにくいとのことで、歯ブラシを縦にして1本ずつ磨くように指導しました。 フロスなどの補助道具を使用することも提案しました。 |
歯のクリーニング症例63
| 年齢・性別 | 30代・男性 |
|---|---|
| 主訴・治療部位 | 全体 |
| 治療内容 | 歯石取り、PMTC |
| 治療費 | 約4,000円(保険適用) (2023年5月現在) |
| 治療期間 | 1日 |
| 治療方針 | 今後も3ヵ月ごとの定期検診を行っていきましょう。 |
| 担当者所見 | コーヒーを飲まれる方で、3ヵ月に1度のクリーニングをしていても着色がついてしまう患者さまです。 コーヒーを飲んだ後は口をゆすぐこと、研磨剤の配合されている歯磨き粉をご提案しました。 |
歯のクリーニング症例64
| 年齢・性別 | 50代・男性 |
|---|---|
| 主訴・治療部位 | 下顎前歯の着色が気になる |
| 治療内容 | 定期検診(PMTC) |
| 治療費 | (保険診療) 定期検診 約4,480円 (2022年7月現在) |
| 治療期間 | 1回 |
| 治療方針 | 喫煙習慣があり着色がつきやすいので定期的なクリーニングを提案しました |
| 特記事項 | 喫煙習慣あり |
| 担当者所見 | 3カ月に1回の定期検診を行っているが、目に見える部分の着色なので気になるようならクリーニング間隔を短くすることも提案。ステイン除去効果のある歯磨き粉を使うこともお話ししました。 |
歯のクリーニング症例65
| 年齢・性別 | 20代・女性 |
|---|---|
| 主訴・治療部位 | 主訴:クリーニング 部位:全顎 |
| 治療内容 | スケーリング |
| 治療費 | 約1,300円 (2023年5月現在) |
| 治療期間 | 1日 |
| 治療方針 | 2~3ヶ月のクリーニング |
| 担当者所見 | 下の歯の前歯の裏側は、どんな方でも歯石が溜まりやすい場所なので定期的に歯科医院にて歯石を除去し、ご自宅でのケアでフロスや糸ようじの使用が必要になります。 この患者さまはまだ若く、手先も器用だったのでフロスのやり方を一緒に確認しました。 年齢や、口腔内の状況を見て患者さまに合ったセルフケアを提案させていただければと思います。 |
歯のクリーニング症例66
| 年齢・性別 | 20代・女性 |
|---|---|
| 主訴・治療部位 | 主訴:クリーニングしたい 部位:全顎 |
| 治療内容 | スケーリング |
| 治療費 | 約1,300円 (2023年7月現在) |
| 治療期間 | 1日 |
| 治療方針 | 口腔内の状況を見て、1~3ヶ月毎の定期的なクリーニングを行なっていく。 |
| 担当者所見 | 歯科医院での処置が苦手な患者さまで、クリーニングもなるべく時間を短くすることを意識しながら行いました。 どうしても、歯列不正がある部分は歯石着色共につきやすいです。 ご自宅でのケアも少し頑張っていただけるよう、歯ブラシの当て方や選び方についてもお話しさせていただきました。 クリーニングに時間がかからないようにまずは、月に1回の来院で様子を見ていきながらクリーニングの間隔を少しずつ伸ばしていければと思います。 |
歯のクリーニング症例67
| 年齢・性別 | 30代・男性 |
|---|---|
| 主訴 | 定期検診 |
| 治療内容 | ・レントゲン撮影 ・口腔内のチェック ・磨き残しチェック ・口腔内写真撮影 ・歯周検査 ・虫歯の有無の確認 ・全顎SC、PMTC ・フッ素塗布 |
| 治療費 | 約5,630円(保険診療3割負担) (2023年5月現在) |
| 治療期間 | 4年 |
| 治療方針 | 今後も継続して定期検診を繰り返し行います。 |
| 担当者所見 | 約4年間3ヵ月に1度の定期検診を続けている患者さまで、セルフケアもしっかり頑張ってくださるので今では初診時のような着色はほぼ付着しなくなりました。 今後も定期検診で状態を確認しながらクリーニングを行なっていきます。 |
歯のクリーニング症例68
| 年齢・性別 | 40代・男性 |
|---|---|
| 主訴 | クリーニング希望 (全顎) |
| 治療内容 | 全顎クリーニング |
| 治療費 | SPT:約4,030円 ※保険診療3割負担 (2023年5月現在) |
| 治療期間 | 1日 |
| 治療方針 | 今後も3か月に1度の定期検診で、汚れをつきにくくしていきましょう。 |
| 特記事項 | ホワイトニングとは異なり歯自体を白くする施術ではありません。 |
| 担当者所見 | 着色が付く原因は様々ですが、飲み物や食べ物、口呼吸でも着色してしまいます。コーヒーや緑茶を飲んだ後はうがいをする、ストローを使用して飲むなど工夫して予防していくことも大切です。 着色を落とすだけでも、清潔感が出て口元の印象が明るくなります。 また、気が向いた時にしかクリーニングには行かないとのことだったため、今後はなるべく期間を空けずにクリーニングに来て頂くことを提案しました。 セルフケアでも研磨剤の入っている着色しにくい歯磨き粉をおすすめしました。 また、ブラッシング指導も行いました。 ブラッシング圧が強く、すぐに歯ブラシの毛先が広がってしまうそうなので、歯肉と歯の堺にブラシの先を入れて優しく小刻みに磨くよう指導しました。 |
歯のクリーニング症例67
| 年齢・性別 | 20代・男性 |
|---|---|
| 主訴 | 主訴;全体的に歯石を取ってほしい。 部位;全体 |
| 治療内容 | 歯石除去(スケーリング) |
| 治療費 | 約4,000円
(初診検査含む) (2023年8月現在) |
| 治療期間 | 1日 |
| 治療方針 | 今後は定期的にクリーニングしていきましょう。 |
| 担当者所見 | 他院で歯石除去した方が良いと言われ来院していただいた患者さま。歯石除去をするのは今回が初めてでした。今後は定期的にクリーニングを行い、歯周病を予防していく必要があることをお話しさせていただきました。 |
歯のクリーニング症例68
| 年齢・性別 | 30代・男性 |
|---|---|
| 主訴 | 主訴:全体的なクリーニング希望 |
| 治療内容 | 定期検診(スケーリング) |
| 治療費 | 4,630円 (2023年8月現在) |
| 治療期間 | 1回 |
| 治療方針 | 歯石が付きやすいため間隔をあまり空けないほうがよいことをお話し、定期検診を行っていく フロスの使用頻度を増やす |
| 特記事項 | 定期的なクリーニングが必要と説明 |
| 担当者所見 | 唾液量多く、歯列不正によって歯石つきやすい |
歯のクリーニング症例69
| 年齢・性別 | 40代・女性 |
|---|---|
| 主訴 | 主訴:クリーニング、ホワイトニンング、歯ぐきの色気になる 部位:全顎 上下5~5 上下歯ぐき |
| 治療内容 | 全顎クリーニング(SC、PMTC) オフィスホワイトニング ガムピーリング |
| 治療費 | 合計:25,530円 (内訳) クリーニング:4,630円(保険診療3割負担) オフィスホワイトニング:9,900円 ガムピーリング:11,000円 (2023年9月現在) |
| 治療期間 | 1日 |
| 治療方針 | 2〜3ヶ月毎の定期的なクリーニングを行いながら、歯の黄ばみが気になったタイミングでホワイトニングを入れていきます。 歯ぐきの黒ずみに関しては経過を見ながら、再度付着があったり患者さま自身が気になったタイミングで再度行います。 |
| 担当者所見 | 患者さまとご相談させていただきながらホワイトニングやピーリングを合わせて行なっていきます。 左上1に被せ物が入っているので、周りの色との差が出過ぎないようにホワイトニングの回数に気をつけながら行なっていきます。 |
歯のクリーニング症例70
| 年齢・性別 | 20代・男性 |
|---|---|
| 主訴 | 主訴:歯石除去 部位:全顎 |
| 治療内容 | ・レントゲン写真 ・口腔内の状態確認 ・歯肉の状態確認 ・口腔内写真撮影 ・歯石除去 ・着色除去、表面の清掃 |
| 治療費 | 合計:9,850円 (内訳) クリーニング:約4,350円(保険診療3割負担) PMTC(着色除去):5,500円 (2023年9月現在) |
| 治療期間 | 1日 |
| 担当者所見 | 歯ブラシの選択方法、当て方の確認と、少し歯列不正があり歯ブラシのみのケアだと磨ききれないのでフロスの使用をお勧めさせていただきました。 1ヶ月後に状態を確認して、今後のメンテナンス期間を決めていきます。 |
歯のクリーニング症例71
| 年齢・性別 | 30代・男性 |
|---|---|
| 主訴 | 主訴:定期検診 部位:全顎 |
| 治療内容 | 定期検診 |
| 治療費 | 定期検診:約4,030円 (2023年11月現在) |
| 治療期間 | 1日 |
| 治療方針 | 3ヵ月に1度の定期検診を継続していく。 |
| 特記事項 | 全体的に着色が付きやすく、特に右上1番に毎回着色がついてしまう患者さまなので、コーヒーや赤ワインなどの色の濃い飲み物を飲んだ後はすぐにうがいをしたり、飲む頻度を減らすことをお伝えしました。 |
| 担当者所見 | 全体的にしっかりお掃除できている患者さまですが、奥歯に磨き残しが特に目立ったので、ブラッシング指導も一緒に行い確認しました。 フロスなどの補助道具も現在使用されているとのことで、継続していくことの重要性を説明しました。 |
歯のクリーニング症例72
| 年齢・性別 | 20代・女性 |
|---|---|
| 主訴 | 全顎クリーニング |
| 治療内容 | PMTC |
| 治療費 | 定期検診 4,020円 (2024年1月現在) |
| 治療期間 | 1日 |
| リスク・副作用 | ・歯ぐきの炎症が治ると引き締まる為、歯が長く見えるようになることがございます。 ・歯石は1度除去しても再度付いてきます。定期的なクリーニングが必要となります。 ・歯ぐきの炎症がある場合は歯石除去中に出血を伴う可能性があります。 ・処置後、知覚過敏が起こる可能性があります。 |
| 治療方針 | 定期的にクリーニングを行い、歯石や着色を除去していきます。 |
| 特記事項 | ホワイトニングとは異なり歯自体を白くする施術ではありません。 |
| 担当者所見 | 患者さまも上顎前歯部の着色を特に気にされてました。 引き続き、定期的にクリーニングを行っていきます。 |
歯のクリーニング症例73
| 年齢・性別 | 30代・男性 |
|---|---|
| 主訴 | 定期検診 全顎 |
| 治療内容 | SC、PMTC |
| 治療費 | 約4,620円(保険診療3割負担) (2024年5月現在) |
| 治療期間 | 1日 |
| リスク・副作用 | 着色は除去しても再度付着するので定期的なクリーニングが必要です。 歯石除去後、知覚過敏のように染みることがあります。 歯ぐきの状態によっては出血を伴うことがあります。 |
| 治療方針 | 引き続き3〜4ヶ月毎の定期検診を行なっていきます。 |
| 担当者所見 | 来院し始めた頃よりはステインも歯石もつきにくくなりました。生活習慣によりどうしても着色が付着してきてしまうので、3〜4ヶ月毎の定期検診をずっと繰り返していますが、今後も引き続き定期的にクリーニングを行なっていきます。 |
歯のクリーニング症例74
| 年齢・性別 | 60代・男性 |
|---|---|
| 主訴 | 定期検診 全顎 |
| 治療内容 | SC,PMTC |
| 治療費 | 約4,620円(保険診療3割負担) (2024年5月現在) |
| 治療期間 | 1日 |
| リスク・副作用 | 綺麗に除去しても生活習慣により着色は再度付着するので、定期的なクリーニングが必要です。 歯石の除去後、知覚過敏のように歯が染みることがあります。 着色を防ぐには、自宅でのケアの中でホワイトニング効果のあるものや、研磨剤が入っておらず、着色を落としてくれるような歯磨剤を使用することをお勧めします。 |
| 治療方針 | 3ヶ月に1度の定期検診でクリーニングを引き続き行う。 |
| 担当者所見 | 下の歯は、歯と歯ぐきの境目付近に着色が多く付着しているので、そこの部分に歯ブラシを当てるようにアドバイスさせていただきました。 前歯は意外と磨けているようで磨けていないことが多いです。 今後も定期検診で状態を見ていきます。 |
歯のクリーニング症例75
| 年齢・性別 | 40代・男性 |
|---|---|
| 主訴 | クリーニングがしたい 全顎 |
| 治療内容 | 全顎スケーリング、PMTC |
| 治療費 | 合計:約9,500円 SC:約4,500円(保険診療3割負担、初診料検査等含めて) PMTC:5,000円 (2024年6月現在) |
| 治療期間 | 1日 |
| リスク・副作用 | 着色は1度綺麗に除去しても再度付着するので、定期的なクリーニングが必要です。 歯石を除去した後、染みる可能性があります。 歯ぐきの状態によっては出血を伴うことがあります。 歯科医院でのクリーニングだけでは良い状態はキープできません。ご自宅でのセルフケアが重要になります。 |
| 治療方針 | 虫歯の箇所もありますので、虫歯は虫歯で処置を進めていきながらクリーニングも進めていきます。 クリーニングに関しては、歯ぐきの状態も確認していきながら、歯石やステインの付着具合を見てクリーニングの間隔を決めていきます。 |
| 担当者所見 | 着色をすごく気にされていたので、クリーニングで除去できる着色はクリーニングで綺麗にして、他のクリーニングだと綺麗にできない着色は今後治療していくのか相談していきます。 |
歯のクリーニング症例76
| 年齢・性別 | 40代・男性 |
|---|---|
| 主訴 | 歯石、着色が気になる |
| 治療内容 | PMTC |
| 治療費 | 4,000円〜5,000円 (2024年7月現在) |
| 治療期間 | 60分 |
| リスク・副作用 | 歯ぐきが引き締まることで歯ぐきが下がったように見える 歯石で覆われていた部分が露出することによって一時的に染みることがある |
| 治療方針 | フロスのTBIを行い次回できているか確認し3ヶ月に一回のPMTCを行う |
| 特記事項 | メルサージュ、リナメル使用 |
| 担当者所見 | 患者さまは朝・夜と1日に2回歯磨きを行なっているとのことなので昼磨けない環境ならうがいだけでも行なっていきましょうとお伝え。 また、鏡を見ながら磨いていないとのことなので下顎右側1−3は飛ばして磨いているのではと推測し磨いている部分を鏡を見て磨いていきましょうと説明しました。 |
歯のクリーニング症例77
| 年齢・性別 | 60代・男性 |
|---|---|
| 主訴 | 主訴;定期検診 部位;全顎 |
| 治療内容 | SC,PMTC |
| 治療費 | 約4,390円(保険診療3割負担) (2024年10月現在) |
| 治療期間 | 1日 |
| リスク・副作用 | 着色は除去しても再度付着しますので、定期的にクリーニングが必要です。 施術後は染みることがあります。 状態によって出血を伴うことがあります。 |
| 治療方針 | 普段は2ヶ月に1度のペースでクリーニングを行っていますが、今回はスケジュールの関係で少し時間が空いてしまいましたが今後はまた2ヶ月のペースに戻していきます。 |
| 特記事項 | ヘビースモーカーで、1日2箱喫煙されます。 |
| 担当者所見 | 着色はすごく気になるようですが、禁煙は絶対にできないとのことなのでクリーニングの間隔をなるべく短くして良い状態を少しでも長くキープできるようにしていく。 ご自宅でのケアについても相談しながら決めていきます。 臼歯にはセラミック、下顎の前歯はプラスチックの被せ物が入っています。 セラミックとプラスチックだと着色の付着の仕方が全然違うことがわかります。 |
歯のクリーニング症例78
| 年齢・性別 | 30代・女性 |
|---|---|
| 主訴 | 全体的に歯石が気になる 歯磨きをすると出血する |
| 治療内容 | スケーリング・ルートプレーニング ※歯のクリーニング:専用のブラシやペーストを使用し歯垢や汚れを落とす |
| 治療費 | 合計:3,000円~4,500円 (2024年11月現在) |
| 治療期間 | 45分 |
| リスク・副作用 | 歯ぐきが腫れていることにより施術中の痛みが出る可能性がある 歯ぐきが引き締まることにより歯ぐきが下がったように見える |
| 治療方針 | 染め出しを行い歯ブラシが当たっていないところを明確にする 歯ブラシの届きづらいところにはタフトブラシを使用するよう説明し、使用方法、持ち方等を説明 毎日フロスを使用する重要性を説明 |
| 特記事項 | PMTCペースト(歯のクリーニングに使用する専用ペースト) リナメル使(歯の表面に使用するペースト:歯のクリーニング後に使用) |
| 担当者所見 | 初診時プラーク、歯石が多く歯ぐきからの出血を認めていました。 患者さまは4年前から歯医者に通われてなく虫歯も見受けられました。 虫歯の治療を行うと同時にクリーニング(染め出し)を行い患者さまに見てもらうことによってモチベーションをあげTBIを行いました。 3回ほど通っていただき歯ぐきの腫れも減りました。 補助的器具を使用することによって汚れの除去率を上げることができました。 |

























































































































































