虫歯の治療を途中のまま、歯医者に行かなくなって1年以上が経ちました。
最近歯がぐらぐらし始めそのまま丸々取れてしまいました。かなり焦っていて治療法を探していますが、インプラントをするしかないと思ってます。
20代ということもあり、インプラントでも後悔したくないのでインプラントで後悔しないために必要な知識などあれば教えていただきたいです。
現在の治療費と異なる場合がございます。最新の治療費は料金表をご確認ください。
目次
虫歯の治療を途中のまま、歯医者に行かなくなって1年以上が経ちました。
最近歯がぐらぐらし始めそのまま丸々取れてしまいました。かなり焦っていて治療法を探していますが、インプラントをするしかないと思ってます。
20代ということもあり、インプラントでも後悔したくないのでインプラントで後悔しないために必要な知識などあれば教えていただきたいです。
「インプラント治療」と言われても、治療する上で何が大事かわかりませんよね。
今回20代の方ということでインプラント治療を選択してよかった!と思えるように色々な観点で説明していきます。
歯を失った時にどんな治療がよいのかわかりませんよね。まず簡単にインプラントというものがどんなものかを説明します。インプラントは歯がない部分に代わりとなる人工歯根を骨の中に入れて、歯を作るものです。
義眼と義足と同じように失ったものを補うものです。インプラントは3つの構造からできています。
インプラントは若い方が外科処置を行っても治癒能力が高いため、インプラントの適合も良いことが多いです。
しかし、25歳まではあごの骨の成長が続いてる可能性があるので、インプラント治療が行えるか確認をします。
高齢者は代謝が低下し、治癒能力も若年者と比較して低いですが、健康状態に問題がなければ行うことができます。
あごの骨の成長が完全に停止しておらず、インプラント治療は行うことはできません。
インプラントを行う上で血圧測定は必須です。
手術中の緊張により血圧が上昇し、止血困難になる場合、術後出血が起こることもあり危険です。
そのため最高血圧が180mmHg以上の場合は手術を行えません。
※降圧剤を服薬してる場合は、かならずお薬手帳の提示もしくは歯科医師にお伝え下さい。
※普段の血圧が分かる場合も問診票へのご記入をお願い致します。
喫煙者はニコチンの摂取により、血管収縮を起こし、酸素の循環が悪くなっています。そのため外科処置後の治りが悪くなり、あごの骨とインプラント体との結合が上手く行かない場合があります。
※最初の問診の際、「喫煙経験年数、1日の喫煙量、飲酒習慣の有無」を調査します。
※喫煙者はインプラント治療に先立って術前術後3週間程度の禁煙指導をします。
歯ぎしり、食いしばりが強いとインプラント治療が成功した後、就寝時に噛む力をコントロールできずにインプラントを破壊してしまう可能性があります。
その場合は、ナイトガード(寝る時に使用するマウスピース)を装着して寝ると破壊を抑えることができます。
当院は、初診時にすぐインプラント治療を行いません。患者様のお口の状態を模型にしてかみ合わせの状態を確認し、CT撮影を行い、あごの骨の状態をしっかり観察します。
それを踏まえてインプラント体を入れるシミュレーションを行い、骨を造成する必要があるのかを確認します。
そしてインプラント治療の1週間前にクリーニングを行い、治療を行います。
※当院はオペ室、CTを完備しております。
※治療する上で不安がある場合は麻酔医による静脈内鎮静法を行い、寝てる間に治療を終えられます。
当院の理事長は「国際インプラント学会専門医・指導医」、「日本口腔インプラント学会専門医」を取得しています。
インプラントのプロフェッショナルの治療を受けることができます。


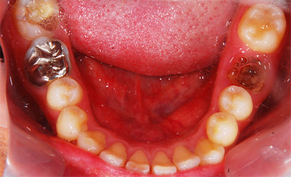
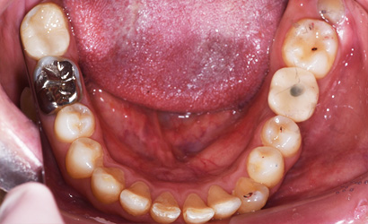
| 年齢・性別 | 20代・男性 |
|---|---|
| 主訴・治療部位 | 歯が痛い 下顎左側第一大臼歯 |
| 治療内容 | インプラント治療 |
| 治療費 | 保険外治療 約560,000円 |
| 治療期間 | 約半年 |
| リスク・副作用 | 外科処置により痛み、腫れを伴う |
インプラントは虫歯にはなりませんが歯周病にはなります。
日々のブラッシングやフロッシングが重要になります。2〜3ヶ月に1度定期検診を受診することをオススメします。
歯を失った場合、しっかり噛める点、また他の歯を削らない点からインプラント治療がオススメです。
リスクとして喫煙により成功率が下げてしまいます。
インプラントを長くもたせるためには定期検診が重要です。