審美歯科・治療症例Aesthetic dentistry
目次
審美歯科の症例
現在の治療費と異なる場合がございます。最新の治療費は料金表をご確認ください。
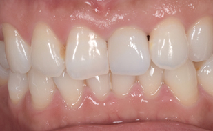
症例①
まずは変色した歯をホワイトニングで変化させることを試みましたが、変色の具合が強くセラミックでの治療にすることになりました。ホワイトニングで白くなった歯に合わせて、差し歯により変色した歯を治療することとしました。
まずは形やかみ合わせなど、セラミックを製作する上で問題点がないか、また患者様からの要望を伺い、治療の方向性を決定します。
形が決まったら仮歯を準備し、削った歯に合わせて仮歯を装着しました。1〜2週間ほど装着してもらい、かみ合わせや形態に問題ないことを確認、セラミックの製作に移行しました。
大まかに形態と色が完成されたセラミックの差し歯を、まずは試しに装着し、見た目の確認をしました。患者様から了承を得たので最終的な仕上げの艶出しを行ったのち装着しました。
※ 横にスクロールできます
| 主訴 | 前歯の色が変色していることが気になる。 (オールセラミックスタンダード) |
|---|---|
| 年齢・性別 | 30代・男性 |
| 治療期間 | 約3週間 |
| 治療内容 | オールセラミックスタンダード |
| 治療本数 | 1本 |
| 治療費用 | 仮歯(テック) 2,750円(税込) +かぶせ物代 (オールセラミック)110,000円(税込) |
| 治療方針 | ①歯の形態、かみ合わせ等を模型上で 診査、患者様と相談した上で形態の決定 ②仮歯の装着 ③セラミックの試適(色・形の確認) ④セラミック装着 |
| リスク・副作用 | 噛む力が強い方の場合、セラミックが欠けてしまうことがあるので、就寝時にマウスピースを装着していただく必要があります。 |
| ドクターのコメント | 治療後はセラミック治療による審美性は 獲得できましたが術前と比べ、 ホワイトニング後の後戻りがあり、 歯が黄ばんできているので、 ホワイトニング後のメンテナンスの 重要性をお伝え致しました。 |
治療過程
- 治療前
- 歯の形成後
- 仮歯装着後(2週間つけていたため変色している)
- 完成前の試適
- 治療終了後
知っておきたいポイント その他のセラミック症例
症例②
※ 横にスクロールできます
| 主訴 | 歯周病治療、ホワイトニング |
|---|---|
| 年齢・性別 | 40代・女性 |
| 治療期間 | 歯周病治療3ヵ月、ホワイトニング1回 |
| 治療内容 | 最初は歯周病治療を中心に行い、 歯肉の状態も安定してきたので月1の クリーニングと一緒にホワイトニングも始めました。 1度の来院で、目に見えて効果を 感じられて喜んでくださいました。 |
| 治療費用 | 保険診療4,300円+ 自費診療8,250円(税込) |
| 治療方針 | 歯肉の状態が安定したのちに、 ホワイトニングも行う。 |
| リスク・副作用 | 知覚過敏 |
| ドクターのコメント | セルフケアも頑張ってくださる患者様でしたので、 歯周病治療は進めやすかった。 歯肉の状態はは今後も継続して確認していきますが、 ホワイトニングも一緒に行い、 より良い状態を継続していけるようにサポート していきます。 |
症例③
※ 横にスクロールできます
| 主訴 | メンテナンス中、 前歯の色味の違いが気になる |
|---|---|
| 年齢・性別 | 50代・女性 |
| 治療期間 | 6ヵ月(2ヵ月に1度の来院) |
| 治療内容 | 当院にずっと継続して通院されている方で、 メンテナンス中の患者様です。 前歯部の色味の違いがあるので ホワイトニングをしてみることにしました。 |
| 治療費用 | 21,150円(保険クリーニング4,300円+ ホワイトニング2,750円を3回) |
| 治療方針 | メンテナンスをするタイミングで ホワイトニングをしていく。 |
| リスク・副作用 | 知覚過敏 |
| ドクターのコメント | 上の歯の2番目が 両サイド被せ物が入っているので、 やりすぎず程よい色味で 継続出来るようにしていく。 |
症例④
※ 横にスクロールできます
| 主訴 | 白くしたい |
|---|---|
| 年齢・性別 | 35歳・男性 |
| 治療期間 | 1日 |
| 治療内容 | オフィスホワイトニング |
| 治療費用 | 8,250円 |
| 治療方針 | ホームホワイトニングは継続が難しいとのこと。 オフィスホワイトニングを中心に行っていく。 |
| リスク・副作用 | 知覚過敏、ホワイトスポット |
| ドクターのコメント | 歯列不正により着色しやすいため、3ヵ月に一回の定期検診を勧める。 |
症例⑤
※ 横にスクロールできます
| 主訴 | オフィスホワイトニング |
|---|---|
| 年齢・性別 | 50代・男性 |
| 治療期間 | 3回 |
| 治療内容 | ホワイトニング 9回 |
| 治療費用 | ホワイトニング 計9回 24,750円 |
| 治療方針 | オフィスホワイトニング後に左上2番のかぶせ物のやり変え、 その後ホームホワイトニング、定期的なクリーニング。 |
| リスク・副作用 | 知覚過敏、歯がしみることがあります |
| ドクターのコメント | コーヒーが好きでよく飲む、後戻りしやすいので控えてもらう。 白くなりづらいのでホームホワイトニング、オフィスホワイトニングを並行して行っていく。 |
症例⑥
途中経過
| 主訴 | 右下3番の下がった歯ぐきを戻したい |
|---|---|
| 年齢・性別 | 50代・女性 |
| 治療期間 | 1日 |
| 治療内容 | 右下3番の歯肉移植 |
| 治療費用 | 歯肉移植(遊離歯肉移植術):約2,230円(保険診療3割負担) (2023年5月現在) |
| 治療方針 | 口蓋より結合組織を搾取し、右下3番へ移植しました。 |
| リスク・副作用 | ・術後痛みは、移植部位(今回なら右下3番)よりも、結合組織を搾取した口蓋の部位が痛みが出やすいです。 ※ただし、痛みは痛み止めでしのげる程度です。 ・移植した歯ぐきの形態は、約1~2ヶ月程で自然な形へと変化します。 |
| 特記事項 | 通常ブラッシングの仕方や歯軋り食いしばりによって下がってしまった歯ぐきは、自然には元の位置には戻りません。そのため、下がった歯ぐきを元に戻すには歯肉移植といった治療を行なっていきます。 |
| 担当者所見 | 下がった歯ぐきに悩まされていませんか?
一度下がった歯ぐきは自然にはなおらないので、治療方法がないと思っていらっしゃる患者様が多くいらっしゃいます。 しかし、下がった歯ぐきも歯肉移植によってここまで回復します。今回の患者様のように、お口を開けた際に見える部位だと、かなり有効な治療方法となります。 術後約1カ月でここまで自然な歯ぐきとなっており、患者様も「外科処置は怖かったけど、決断してよかったです!」と大満足でした。 歯ぐきが下がって見た目が気になってる方がいらっしゃいましたら、ぜひ一度ご相談ください! |












