親知らずの根は、一般的に18〜25歳で完成するといわれています。親知らずの根の先が神経に到達する前の若いうちの抜歯は、神経損傷、麻痺のリスクが軽減されるので、検討してみてはいかがでしょうか。
親知らず(智歯)を
抜く?抜かない?Wisdom-teeth
親知らずを抜くのか?抜かないのか?
これは、非常に難しい問題です。なぜなら、患者さまの年齢やお口の中の環境などにより、異なるからです。
そこで様々なケースの親知らずを例に出来るだけ分かりやすく説明します。
目次
- 1 親知らずを抜く?抜かない?の基本
- 2 1.急に痛み出した親知らず抜く?抜かない?(24歳女性)
- 3 2.鋭い痛みの親知らず抜く?抜かない?(26歳男性)
- 4 3.歯ぐきが腫れた親知らず抜く?抜かない?(19歳女性)
- 5 4.歯ぐきが腫れた親知らず抜く?抜かない?(36歳男性)
- 6 5.口臭がする親知らずを抜く?抜かない?(45歳男性)
- 7 6.食べ物が挟まる親知らず抜く?抜かない?(27歳男性)
- 8 7.妊娠中の親知らず抜く?抜かない?(30歳女性)
- 9 8.同時に2本親知らず抜く?抜かない?(34歳女性)
- 10 9.神経に近い虫歯の親知らず抜く?抜かない?(22歳女性)
- 11 10.歯並びが気になる親知らず抜く?抜かない?(18歳女性)
- 12 11.虫歯治療後、親知らず抜く?抜かない?(20歳女性)
- 13 まとめ
- 14 親知らず抜歯の必要性
親知らずを抜く?抜かない?の基本
基本的に抜いた方が良いケース
- 虫歯になっている親知らず
- 歯周病になっている親知らず
- 親知らずの手前の歯が、親知らずとの間で虫歯になっている
- 歯列矯正で歯を動かすのを邪魔する親知らず
- 口臭の原因となっている親知らず
- 歯ブラシが届いていない親知らず
- 上下どちらかのみの親知らずを抜き、抜いた歯と噛み合っていた親知らず
基本的に抜かなくても良いケース
- 清掃状態が良い
- 真っ直ぐはえている
- 親知らずがはえていない
(歯ぐきの中に埋まっていて、痛みや嚢胞などの所見がない)
※年齢やお口の中の環境により異なります。歯科医師に確認しましょう。
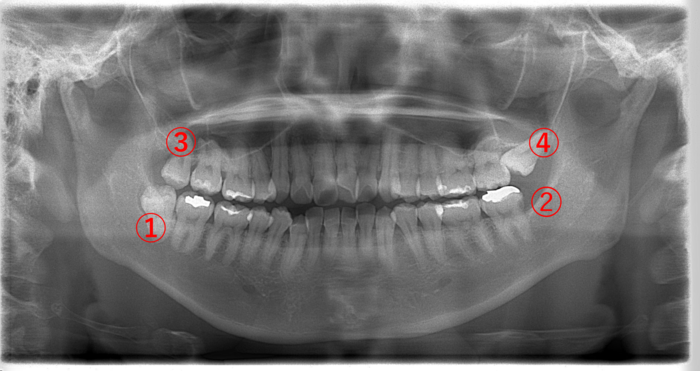
1.急に痛み出した親知らず抜く?抜かない?
(24歳女性)
| 年齢・性別 | 24歳・女性 |
|---|---|
| 主訴 | 右上の親知らず(画像③)が急に痛み始めた。 |
| 歯ブラシ | 毎日歯を磨いている。 親知らずまでは磨けてない。 |
画像③の親知らずを見てみると黒く透けています。虫歯になると歯が溶けて柔らかくなるので、レントゲンでは黒く写ります。虫歯が歯の神経に達すると痛みが強くなります。
③の親知らずを抜歯して、①の親知らずも抜きたいところですが、③の親知らずの痛みが強いこともあり、一緒に抜歯せずに後で③の親知らずを抜く方が良いと説明しました。
親知らず以外の歯に関してはかなりきれいに磨けていました。奥にある親知らずの歯ブラシが難しいことがわかります。
痛みが強い歯は、その状態により対合する歯を一緒に抜くことができないこともあります。
2.鋭い痛みの親知らず抜く?抜かない?
(26歳男性)
| 年齢・性別 | 26歳・男性 |
|---|---|
| 主訴 | 左上の親知らず(画像④)が痛くて我慢ができない。どちらかというと鋭い痛みがある。 |
| 歯ブラシ | 奥まで磨けていない。お口の中に汚れが結構残っている。 このままでは親知らずだけではなく、他の歯が虫歯になる可能性が高い。 |
親知らずが生えることによる痛みとは異なる「鋭い痛み」の原因究明のため、まずはレントゲンを撮影しました。
画像④の親知らずに大きな黒い虫歯の影が見えます。虫歯になると歯が溶けて柔らかくなるので、レントゲンには黒く写ります。
また、1番奥にある親知らずまで歯ブラシが届かずに、気付いたら虫歯が大きくなっていたことが予想されます。
当院は、親知らずを抜くことだけではなく、虫歯や歯周病の治療にも長けています。
虫歯の痛みが強い時に親知らずを抜こうとしても麻酔が効きにくいことが予想され、患者さまの負担を考えると無理に親知らずを抜かないことも選択肢のひとつになります。
そこで、この患者さまには、今すぐに親知らずを抜くのではなく、まずは虫歯の痛みをとる治療を優先させて、虫歯の痛みが無くなってから親知らずを抜きましょうと説明しました。
画像④の親知らずを抜いた場合、下の➁の親知らずを抜かずに放置すると上に伸びて来て、かみ合わせの邪魔をすることがあります。
そのため、上下同時に親知らずを抜くか、④の親知らずを抜いてから➁の親知らずを抜くか、どちらかになります。また、右上④の親知らずがないため、②と④の抜歯後、①の親知らずを抜きます。
上下どちらかの親知らずを抜歯した場合、その対合する親知らずが生えていたら抜歯し、片側の親知らずを抜歯した場合は、もう片側上下にある親知らずを順次抜くことを検討するとその後のトラブルは少ないと思います。
3.歯ぐきが腫れた親知らず抜く?抜かない?
(19歳女性)
| 年齢・性別 | 19歳・女性 |
|---|---|
| 主訴 | 数日前より右下の親知らず(画像①)周りの歯ぐきが急に腫れ始めて、みるみる内に膨らんだところを誤って噛んでしまい、出血が止まらなくなった。 |
| 歯ブラシ | 親知らずは、真っ直ぐ生えているが、歯ぐきが中途半端に被っているために、奥までなかなかキレイに磨くことができない状態。 |
親知らずが生える過程で、このように歯ぐきを押すという現象が起こることがあります。
中途半端に親知らずが顔を出すと中に汚れが溜まりやすくなります。そこが炎症を起こして腫れていたところ、歯ぐきを誤って噛んでしまったため、出血が止まらなくなったという状態です。
今後、画像➁の親知らず周りも腫れることが予想され、同じように噛んで出血するというパターンも考えられるため、できれば4本とも抜いた方が良いでしょう。
初回は、止血処置、抗生剤の投与と服用で腫れを引かせ、後日、画像①の親知らずを抜きました。
4.歯ぐきが腫れた親知らず抜く?抜かない?(36歳男性)
| 年齢・性別 | 36歳・男性 |
|---|---|
| 主訴 | 右下の親知らず(画像➁)が、腫れて痛い。 |
| 歯ブラシ | 1日3回は歯を磨いている。しかし親知らずは上手く磨けていない。 |
親知らず以外はきれいに磨けていますが、親知らず周囲は、磨けていないため、画像①の親知らず周りの歯ぐきが腫れて炎症を起こしていました。
この腫れた歯ぐきを上の歯で噛んでいる状態のため、食事の際は歯ぐきを噛んでしまい、食事が満足に摂れないと思います。
当日は、親知らずを抜かずに歯ぐきを切除し、痛み止め・抗生物質を処方しました。後日、炎症が治まったことを確認し、親知らずを抜きました。
➁の親知らずは、歯ぐきから顔を出していないため、抜かずに様子を見ることになりました。
歯ぐきの腫れ方により、すぐに抜けることもありますが、麻酔が効きにくい状態を避けるために炎症が治まってから抜歯することもあります。
5.口臭がする親知らずを抜く?抜かない?
(45歳男性)
| 年齢・性別 | 45歳・男性 |
|---|---|
| 主訴 | 最近、奥さまより口臭を指摘されるようになった。自分でも違和感がある。 |
| 歯ブラシ | 奥まで磨けていない。お口の中に汚れが結構残っている。 このままでは親知らずだけではなく、他の歯が虫歯になる可能性が高い。 |
画像①の親知らずが真横に生えていて、手前の⑤の歯との間に隙間があります。ここに食べかすが入り込むとどんなに歯を磨いても取れません。取り除かれない食べかすが腐り、口臭の原因となっていると思われます。
早めに抜くことで口臭はなくなると思われます。また➁の親知らずも汚れが溜まりやすそうなので、口臭の原因となる可能性があります。
そして、③の親知らずは、黒く透けていることからして虫歯になっています。
このことから、歯ブラシが親知らずの奥まで十分に届いていないことが考えられます。
とはいえ、親知らずまでしっかりと磨こうとすれば嘔吐反射や隙間の問題もあり、なかなかパーフェクトに磨くのは難しいと思います。
この場合、右側上下(①と③)と②の親知らずを抜くことをオススメします。
④の親知らずは、歯ぐきが被ったまま出てこないのであれば積極的に抜かず様子を見ても良いですし、もし全部抜いてスッキリしたいのであれば、抜いた方が良いと思います。
口臭が気になるときは、歯科医院で診てもらいましょう。
6.食べ物が挟まる親知らず抜く?抜かない?
(27歳男性)
| 年齢・性別 | 27歳・男性 |
|---|---|
| 主訴 | 親知らずに食べ物が挟まる。 |
| 歯ブラシ | 毎日歯を磨いている。汚れが残っていて、うまく磨けていない。 |
親知らずの周りには、汚れがびっしりと付着しています。
画像➁の親知らずは横向きに生えているため、食べる度に手前⑤の歯との隙間に食べ物が挟まり、虫歯になっています。
このような場合は、早めに親知らずを抜いて手前⑤の歯の虫歯を治療した方が良く、また②の親知らずを抜くと上の④の親知らずが下がってくるため、一緒に抜いた方が良いです。
そして反対側①の親知らずは、顔を出しているので、歯ブラシが上手くできないのであれば抜いた方が良いこと、③に関しては、顔を出してない親知らずのため、無理して抜かなくても良いと説明しました。
食べ物が挟まる形態の親知らずは、隣の歯に影響を及ぼすため、抜いた方が良いことが多いです。
7.妊娠中の親知らず抜く?抜かない?
(30歳女性)
| 年齢・性別 | 30歳・女性 |
|---|---|
| 主訴 | 左下の親知らず(画像➁)が1週間前から急に腫れ始めて、痛みが強くて眠ることもできなくなった。 |
| 歯ブラシ | 現在妊娠中で、つわりにより奥まで歯ブラシを入れるのが困難な状態 |
つわりで親知らずまでキレイに磨くことができず、歯ぐきが腫れてしまったうえに腫れた歯ぐきを噛んでしまい、もっと腫れることになってしまった、とても辛いケースです。
こちらのレントゲン写真は、妊娠される前に撮影しました。
妊娠中は、抗生物質の服用をなるべく避けたいです。痛み止めもロキソニンやボルタレンは服用できないので、カロナールなどに限られます。患者さまも赤ちゃんへの影響を考え、薬は飲みたくないと言っています。
そこで、局所麻酔は、通常使用する量であれば胎児への問題は、少ないといわれていることから今回は、局所麻酔をかけて腫れている歯ぐきを切除し、後日、消毒しました。その後は、体調を優先に親知らずの歯ブラシや他の歯のクリーニングに通っていただき、出産後に親知らずを抜くことになりました。妊娠中に親知らずを抜くこともできましたが、やはり母体と赤ちゃんへの影響を考えると無理して抜歯するのではなく、歯ぐきの炎症を出来るだけ小さくするという選択をしました。
画像⑤の大きな虫歯は、今後痛みが出ると判断し、なるべく早く治療しました。
尚、妊娠中は、ホルモンのバランスが崩れやすいので、歯ぐきは非常に腫れやすく、出血しやすい状態となります。これは妊婦さんの特徴ですので、妊娠をする前に親知らずを抜いておくことや歯ブラシで上手に歯を磨くことをマスターしておくことをお薦めします。
8.同時に2本親知らず抜く?抜かない?
(34歳女性)
| 年齢・性別 | 34歳・女性 |
|---|---|
| 主訴 | 親知らず周りの歯ぐきが腫れてきた。 |
| 歯ブラシ | あまりきれいに磨けていない状態。 |
画像①と③の親知らずは、真っ直ぐ生えていますが、2〜3日前より①の親知らず周りの歯ぐきが腫れて痛いとのことでした。
奥まで磨くのは困難と判断し、①の親知らずを抜くことにしました。また説明として、対合歯がない③の親知らずは後々下に伸びてくることを考えると早めに抜いた方が良いことを伝えると同時に抜きたいと希望されたため、初診当日に①と③の親知らずを2本同時に抜きました。
④の親知らずは、歯ぐきから顔を出していないので、抜かずに様子を見ることになりました。
歯ブラシが届きにくい親知らずは、汚れが溜まりやすいため歯ぐきが炎症を起こし、腫れやすくなりがちです。お口の中をキレイに保つことが親知らず周囲を腫らさない秘訣となります。
9.神経に近い虫歯の親知らず抜く?抜かない?
(22歳女性)
| 年齢・性別 | 22歳・女性 |
|---|---|
| 主訴 | 左下の奥が突然痛み始めた。痛みがひどく我慢ができなくなってきたので、電話して直ぐに来た。 |
| 歯ブラシ | なかなか奥まで磨くことが難しく、他にも歯並びが悪くて磨きにくいところがある。 |
画像➁の親知らずが原因で、その手前の歯との間に虫歯ができてしまったケースです。
痛みの原因は親知らずではなく、手前の虫歯が神経に近いところまで達したため痛みが強くなってしまった、実に難しいケースです。
これ以上虫歯が進行した場合は、歯を抜かなければなりません。今回は幸いにして抜くほどには進行していなかったため、初日は②の手前の歯に神経の痛みをとる薬を入れて、2回目以降に根の治療をしました。
その後、ある程度落ち着いたところで、親知らずを4本一気に抜きました。
仕事の関係で長期間休んだり、何度も腫れたりすることが無いことを希望される方は、1度に親知らずを4本抜歯することもあります。
10.歯並びが気になる親知らず抜く?抜かない?
(18歳女性)
| 年齢・性別 | 18歳・女性 |
|---|---|
| 主訴 | 歯並びが悪くならないように出来るだけ早く親知らずを抜きたい。 |
| 歯ブラシ | 非常にブラッシングが丁寧でキレイに磨かれている。 |
患者さまの1番の心配事は「親知らずが生えることで、小さい頃からしている歯列矯正に影響を及ぼすのではないか、歯並びが悪くなるのではないか」ということでした。
お口の中が非常にキレイに磨かれていて、今後、親知らずが虫歯や歯周病になる可能性は低いですが、まずは親知らずの根が神経にぶつかっていないことを確認して、問題ないようであれば親知らずを抜きましょうと説明しました。
下あごの親知らずが神経に接していないため抜歯は問題ないと考え、せっかくキレイに並んだ歯並びを崩したくないという患者さまの想いを尊重することとなりました。
まず、画像:①と②の親知らずを抜き、③と④の親知らずは生えてから抜くという手順になりました。
歯列矯正中の親知らず抜歯は、矯正の先生とも相談しながら、抜歯を検討するとよいでしょう。
11.虫歯治療後、親知らず抜く?抜かない?
(20歳女性)
| 年齢・性別 | 20歳・女性 |
|---|---|
| 主訴 | 虫歯が痛い |
| 歯ブラシ | あまり上手く磨けていない。全体的に汚れが付いている。 |
虫歯が痛いことを主訴に来院され、奥歯のほとんどに大きな虫歯がありました。歯医者さんで歯磨き指導を受けたこともなかったようで、まずは歯磨きの重要性と磨き方を説明しました。
虫歯治療が進むにつれ、患者さま本人もお口の中への関心が高まり、歯磨きも徐々に上達していきました。
虫歯治療が終わった段階で、半分埋まっている親知らず(画像①と②)は虫歯、歯周病のリスクが高いことを説明したところ、抜歯を希望されたため、抜歯しました。
年齢がまだ若く、親知らずの根の先が完全に完成していないため、神経に届いていない状態のうちに抜歯できて幸いだったと思います。
まとめ
親知らずは、症状やお口の環境、生活習慣、年齢などによって抜くか、抜かないかが変わります。また親知らずを抜く判断も、歯科医師によって異なります。
多くの方が、痛みが出てから受診されますが、親知らずを抜くと程度の差はあっても腫れますので、抜歯を検討される方は早めに歯科医院を受診し、親知らずを抜くスケジュールを立てることをお薦めします。
