壊れない入れ歯を作れませんか? | 渋谷歯科 | 平日夜7時・土日も診療の渋谷の歯医者

2026年01月21日 2026年02月09日

Q

壊れない入れ歯を
作れませんか?

A

Q:壊れない入れ歯を
作れませんか?

A:「先生、私、何度入れ歯を作っても壊してしまうんです。壊れない入れ歯を作れませんか?」そんな患者さんが来院されました。

正直なところ、最初は「そんなに何度も壊れることがあるのだろうか?」と思いながらお口の中を拝見しました。
しかし、実際に診察してみて驚きました。「これは確かに壊れる…」と感じるほど、入れ歯に非常に大きな負担がかかるお口の状態だったのです。

お話を伺うと、これまで入れ歯を作っても、おおよそ半年ほどで壊れてしまうとのことでした。
そこで、なぜ壊れてしまうのかを分析したうえで、できる限り壊れにくい設計を考えた入れ歯を製作することにしました。

詳しい解説はこちら

壊れない入れ歯を作れるのか?

「そもそも壊れない入れ歯を作ることはできるのか?」というご質問をよくいただきます。結論からお伝えすると、条件を満たせば可能です

入れ歯が壊れるのには、必ず理由があります。その原因をしっかりと見極めずに入れ歯を作ってしまうと、どれだけ作り直しても同じことを繰り返してしまいます。そのため、まずはなぜ壊れるのかを詳しく分析することが非常に重要です。

また、保険診療の入れ歯では、使用できる材料や設計に制限があるため、壊れにくい入れ歯を作るには材料的に難しい場合があります。もちろん、保険の範囲内でも壊れにくくするために様々な工夫は行いますが、強度面では限界があることも事実です。

よくある誤解

  • 壊れない入れ歯を直ぐに作れるのか?
  • 1回で壊れない入れ歯を作れるか?
  • 保険でも壊れない入れ歯をつくれるか?
  • 一度作成した壊れない入れ歯は、
    ずっと壊れないか?

壊れない入れ歯を直ぐに作れるのか?

結論からお伝えすると、壊れない入れ歯をすぐに作ることは難しいのが現実です。まずは、なぜ入れ歯が壊れてしまうのか、その原因をしっかりと見極める必要があります。

入れ歯の製作には、一般的に5〜6回程度の治療工程が必要となります。治療回数や流れについては、以下をご参照ください。

入れ歯の治療回数や流れを教えて

壊れにくい入れ歯を製作するためには、噛み合わせやお口の状態を丁寧に確認し、適切な設計や材料を選択する必要があります。そのため、ある程度の時間とコストがかかることをご理解いただければと思います。

1回で壊れない入れ歯を
作れるか?

結論からお伝えすると、1回の製作で必ず壊れない入れ歯を作ることは、難しい場合があります。入れ歯が壊れる原因を分析したうえで製作しても、想定を超える強い噛む力や食いしばりなどにより、材料の強度を超えて破損してしまうことがあります。

これまでの経験の中で、1回の製作で問題なく長期間使用できているケースもありますが、一方で、実際に使用してみて初めて負荷のかかり方が分かり、再度入れ歯を作り直したケースも経験しています。

そのため、壊れにくい入れ歯を目指すには、経過を確認しながら調整や再製作を行う場合があることをご理解いただければと思います。

保険でも
壊れない入れ歯をつくれるか?

結論からお伝えすると、保険診療の範囲内で「壊れない入れ歯」を作ることは、現実的には非常に難しいのが実情です。
その理由は、使用できる材料や設計に制限があり、強度面で限界があるためです。

保険で入れ歯を作る場合、定められた材料の中で製作する必要があるため、どうしても強度や耐久性に妥協が生じることがあります。
その結果、十分に配慮して製作した場合でも、強い噛む力や長期間の使用によって、破損が起こりやすくなります。

保険の入れ歯でも、補強線を入れるなどして強度を高める工夫は可能です。しかし、それでも一定期間が経過すると、ヒビが入ったり破損したりするケースが見られるのが現状です。

一度作成した壊れない入れ歯は、
ずっと壊れないか?

結論からお伝えすると、一度「壊れにくい入れ歯」を作成しても、将来的に破損する可能性はあります
入れ歯には日々、噛む力や食いしばりなどの力が繰り返し加わります。その結果、特定の部分に応力が集中すると、破損につながることがあります。

また、たとえ強度の高い材料を使用した入れ歯であっても、経年による劣化は避けられません。使用年数が経つにつれて材料の強度は少しずつ低下していくため、長期間にわたって使用するには、定期的な調整やチェックが重要になります。

入れ歯専門医としての一言

入れ歯専門医(補綴専門医)として、ひと言お伝えしたいことがあります。
「壊れない入れ歯は作れませんか?」と聞かれたら、「ぜひ作りたいです。それが私の役目です」とお答えします。

これまで、何度も壊れてしまった入れ歯の修理や再製作に携わり、その経験をもとに、壊れにくい入れ歯を数多く作ってきました。その点については、自信を持っています。

ただし、正直に申し上げると、壊れてしまう原因が分からなければ、根本的な解決はできません
だからこそ当院では、「なぜ壊れたのか」を丁寧に分析し、そのうえで入れ歯の設計・材料・噛み合わせを考えています。

患者さんのプロフィール

患者さんの背景

年齢 69歳
性別 女性
全身状態 高血圧

お口の中の状態・これまでの経過

  • これまでに何度も入れ歯を作製してきたが、
    いずれも一定期間が経過すると割れてしまう
  • 入れ歯にヒビが入ると粘膜を挟み込み、
    痛みのため食事ができなくなる
  • 上あごの入れ歯だけでなく、
    下あごの入れ歯も破損
    を繰り返していた
  • 最終的には上下ともに入れ歯が壊れてしまい、入れ歯を装着せずに食事をせざるを得ない状態となっていた

なぜ?入れ歯が壊れてしまうのか?

入れ歯が繰り返し壊れてしまう背景には、いくつかの原因が重なっていることが多くあります。
今回の患者さんの場合、主に次の点が考えられました。

  1. 噛む力が非常に強い お口の中には骨隆起が認められました。赤丸で示している部分が、口蓋隆起と呼ばれる骨の盛り上がりです。このような骨隆起がある場合、噛む力が一点に集中しやすく、入れ歯に通常以上の負担がかかります。
  2. 粘膜と適合していない入れ歯粘膜との適合が悪い入れ歯を使用していると、噛むたびに入れ歯がたわみ、ヒビや破折の原因になります。
  3. 保険診療の入れ歯による
    強度の限界
    保険の入れ歯は、使用できる材料や設計に制限があるため、強度が不足しやすいという側面があります。
    その結果、強い咬合力が加わると破損しやすくなります。
  4. 噛み合わせが合っていない 噛み合わせが適切でない場合、特定の部位に過剰な力が加わり、入れ歯の破損を招くことがあります。

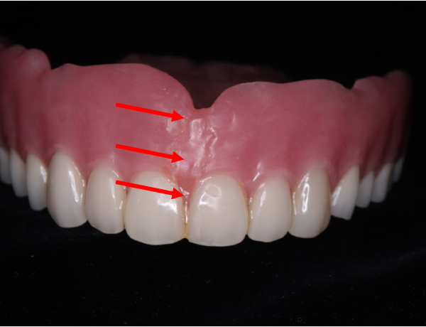
上の入れ歯にヒビが入っている

青い矢印で示している部分に、以前からヒビが入っている状態が確認できます。
このヒビは、前歯が脱落した部分まで一直線に伸びており、入れ歯全体に大きな負担がかかっていたことが分かります。

また、上の入れ歯を詳しく観察すると、歯の並びが左右でアンバランスになっているように見えます。
このような歯の配置のズレがあると、噛み合わせに偏りが生じ、特定の部位に過剰な力が加わることで、入れ歯が割れてしまった可能性が考えられます。

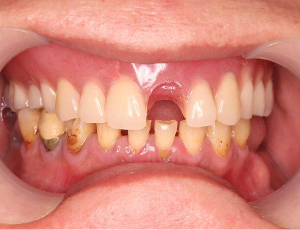
左上の歯が取れてしまっている

左上の前歯が脱落している状態が確認できます。上の噛む面から撮影した写真を見ても分かるように、入れ歯に入っていたヒビのラインが、脱落した前歯の部分まで到達していました
そのため、外から何かが強くぶつかって前歯が取れたのではなく、ヒビが進行して内部で「地割れ」のような状態が生じ、最終的に前歯が自然に脱落したと考えられます。

お口の中の評価

正面観

左下に入れ歯が入っておらず歯がないので、噛み合わせは左右アンバランスになってますね。赤丸の部分は、骨隆起ですね!噛み合わせの強い方に現れる骨の隆起になります。

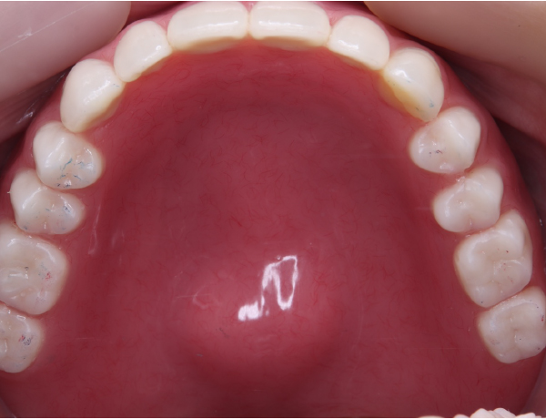
上あご

赤丸の部分にこれでもかってくらい大きな骨の隆起があります。噛む力がかなり強そうです。

下あご

赤丸の部分は、骨隆起になります。下あごにも骨の隆起があります。

レントゲンの評価

下あごの骨がしっかりとたくさん残っており、いかにも噛み合わせが強そうです。あごの骨の角度が直角に近いので、がっしりとした顎ということが予想されます。

入れ歯治療結果

私がまず行ったのは、何が原因で入れ歯が壊れているのか?この原因を明らかにするために、保険で入れ歯を製作しました。

入れ歯正面写真

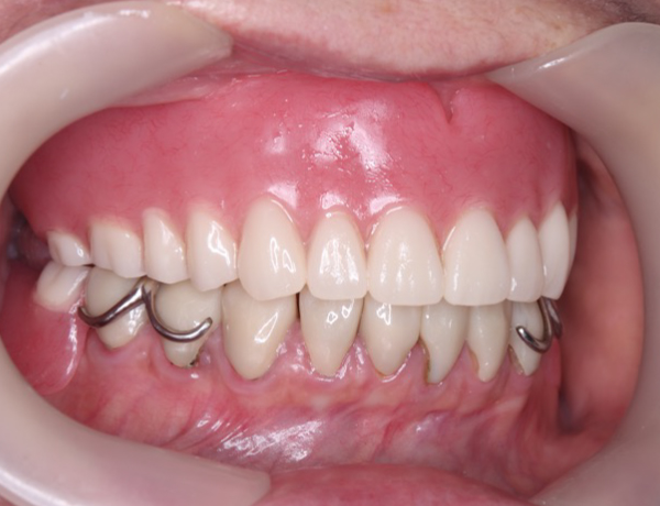
壊れた入れ歯

保険の入れ歯

入れ歯上あご写真

壊れた入れ歯

保険の入れ歯

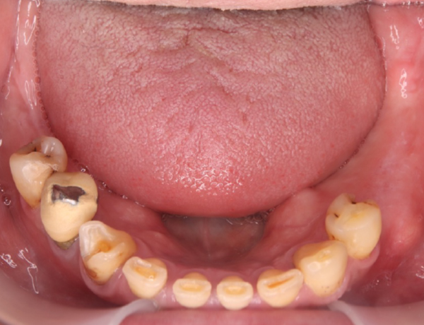
下あご写真

下あごには、入れ歯が入っていません。天然の歯が残っていますが、奥歯は何本か抜けてしまっている状態です。
こうしたアンバランスにより、上あごの入れ歯に負担がかかり歯が抜けている可能性も高いと判断しました。天然の歯にかぶせ物を行い、保険で下あごの入れ歯を作製しました。

壊れた入れ歯

保険の入れ歯

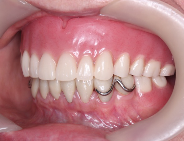
保険の入れ歯

上下保険の入れ歯を調整して、しばらくの間使用してもらうことにしました。
天然の歯をかぶせ物に置き換えて、入れ歯も保険ですが新しく作り変えて、かみ合わせも上下でしっかりバランス良く噛むように調整を繰り返しました。
患者さん的には、非常に良く噛めるようになったと喜んでおられました。

上あご

下あご

保険の入れ歯をセットしてから3ヶ月後

保険の入れ歯をセットしてから、3ヶ月後入れ歯にヒビが入ったと患者さんから連絡が入りました。どれどれと見てみると、上あごの入れ歯にヒビが入っています。正面から見てもちょうど真ん中にヒビが入っています。
かみ合わせ含めてかなり調整したので、患者さんには保険の入れ歯の限界だと説明して、保険外で入れ歯を製作することにしました。

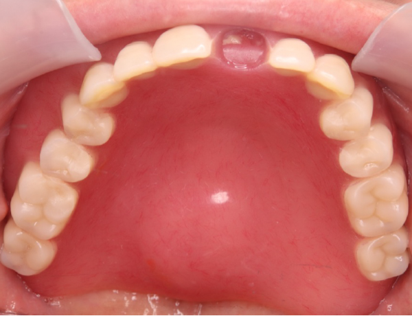
咬合面観

正面観

保険外(自費)入れ歯

上あごの入れ歯をコピーします

裏側

型採り

コピーした入れ歯で型を採る

上あご

コピーした入れ歯をまたコピー

コピーした入れ歯をワックスでコピー

ワックスでコピーした入れ歯サイド

入れ歯の歯を並べる

正面

サイド

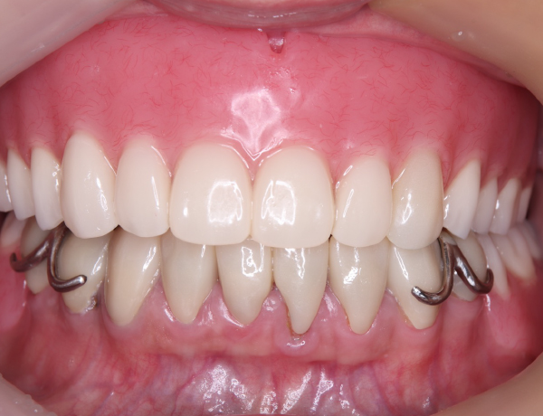
保険外(自費)入れ歯完成

上あご

患者さんのかみ合わせやかむ力を考慮して、金属の入れ歯を選択しました。写真を見ると分かると思いますが、入れ歯の金属の部分がとにかく大きく広くとってあります。この金属の設計は、先代の田中久敏に習ったデザインになりますが、口蓋の吸収しない部分は、金属で出来るだけ広く覆って、それ以外の部分は、ピンクのレジンで覆っています。
このように金属の部分を大きくすると強度が増しますので、割れたりヒビが入ったりする可能性が少なくなります。

下あご

下の入れ歯も良く折れたり壊れたりしてしまうとのことでしたので、細い部分や力のかかる部分は、金属にしました。金属にした場合に、骨隆起が多い患者さんは、入れ歯めり込んだりして、痛みの原因になりかねないので、注意が必要です。
また、バネの部分は折れたりしやすいので、それを見越した設計で、十分なバネの厚みをとるように心がけました。下の部分入れ歯ですが、天然の歯と入れ歯の歯との混在も結構難しい選択になります。どちらかに強いかみ合わせを与えるとどちらかが壊れてしまうので、それを考慮して設計やかみ合わせを提供するのは、至難の業です。

上あご

下あご

お口の中

上あご

お口の中に入っても、金属の部分がだいぶ広くとってあるのが分かるかと思います。口蓋隆起と言われる骨の部分が当たると痛みが出るので、少しその部分はリリーフして隙間を与える工夫もしています。
入れ歯が割れたり壊れたりする患者さんの多くは、骨が隆起しており、見るからにかむ力が強そうだな!という印象があります。それらを考慮して壊れない入れ歯を作製する必要があるので、今回は、保険ではなく保険外の入れ歯を選択しました。

下あご

下骨隆起の部分を上手く避けて作製されているのが分かると思います。普通の金属の入れ歯ですと覆うのですが、それだと分厚くなり過ぎてしまうので、上手く骨隆起を避けて作製しています。

上あご

下あご

左右のかみ合わせも非常にバランス良く噛ませています。また、バネの部分を上の歯が噛み込まないように工夫をしています。良くこのバネの部分で折れてしまう場合がありますので、それを考慮してあります。

まとめ

生涯に渡って壊れない入れ歯を作製することは、難しいですがある程度壊れない入れ歯を作製することは可能です。また、入れ歯が壊れた時になぜ?この入れ歯はここで入れ歯が折れたのか?割れたのか?ヒビが入ったのか?と考察することが非常に重要になります。そこから壊れないように作製するには、どうすればよいのか?のヒントを得ることになります。

 

入れ歯が壊れてしまう患者さんは、是非、様々な情報をお聞かせ頂ければと思います。よろしくお願いします。

入れ歯費用

費用分類 費用
総入れ歯保険外
(自費)
550,000円
部分入れ歯保険外(自費) 365,000円
コピー入れ歯費用 11,000円
咀嚼能力試験 5,500円

※全て税込です

入れ歯治療を受ける方への
大切なお知らせ(注意事項とリスク)

入れ歯治療では、より快適に使っていただくために、いくつかご理解いただきたい点があります。

  1. 同じ治療工程を複数回
    行う場合があります

    精度を高めるため、型取りなど同じ工程を複数回行う場合があり、その際は別途費用が発生することがあります。

  2. 人工歯の色・形の変更は
    追加費用がかかります

    入れ歯完成後に、人工歯の色や歯並びの変更を希望される場合は、追加料金が必要となります。

  3. 入れ歯は「完成=すぐ快適」ではありません

    痛みや噛み合わせを安定させるには複数回の調整が欠かせません。最低でも装着後24時間以内、1週間後、1ヶ月後の調整が必要です。
    その後も、噛み合わせや粘膜の変化に合わせて1~6ヶ月ごとの調整を行います。

  4. ナイトガード(夜用の装置)の使用をお願いする場合があります

    部分入れ歯の方は、夜の歯ぎしり・食いしばりで残っている歯を守るため、ナイトガード(ナイトデンチャー)の使用をお願いすることがあります。

  5. 1回で完璧に
    至らない場合があります

    入れ歯は非常に精密な治療です。
    まれに、作り直しが必要になる場合がありますので、ご協力をお願いいたします。

  6. CT撮影(16,500円)が
    必要な場合があります

    顎の骨や入れ歯との関係を詳しく確認するため、断層撮影(CT)を行う場合があります。

  7. 古い入れ歯のコピー作製を行うことがあります(8,800円)

    現在使用している入れ歯の形を参考にするため、コピーした模型を作ることがあります。

  8. 咀嚼能力試験(5,500円)を
    お願いする場合があります

    現在の噛む力を評価し、入れ歯作製の参考にさせていただくことがあります。

  9. 定期検診が必要です

    入れ歯・粘膜・顎の状態を維持するため、最低でも半年に一度の定期検診・調整をお受けください。

  10. 他院やご自身での調整は
    保証対象外となります

    当院で作製した入れ歯を、他院で調整された場合やご自身で削ったり改造した場合は、保証対応ができませんのでご注意ください。

  11. 指示に従っていただけない場合、治療をお断りすることがあります

    安全で適切な治療のため、歯科医師やスタッフの指示に従っていただけない場合は、治療を継続できなくなることがあります。

ドクター
理事長

田中 健久

Takehisa Tanaka

入れ歯なんでも相談室をご覧頂きありがとうございます。渋谷にて開業して20年以上経ち、多くの患者さまにご来院頂いたことを感謝申し上げます。

私は、日本補綴(かぶせ物・入れ歯)歯科学会と日本口腔インプラント学会の両方の専門医を取得しています。そのため入れ歯とインプラント両方の専門医として皆さんの相談に答える事ができます。両方の学会の専門医を取得している歯科医師は、非常に稀です。

よくインプラントは良くない!入れ歯は噛めない!などとおっしゃりますが、私の意見としては、それぞれ利点・欠点があり、患者さまによって全然違います。なのでそれぞれ自分に合った治療方法は、何かを理解した上で治療方針を決定すべきだと考えております。

両サイドから相談にのる事ができますので、どうぞお気軽に相談してください。

【所属学会・資格】

  • 日本補綴歯科学会 専門医
  • 日本口腔インプラント学会 専門医
  • 日本顎咬合学会 咬み合せ認定医
  • 日本歯周病学会
  • 日本臨床歯周病学会
  • *スタディグループ
  • 5DJapan-DentureCourseSaporter

【経歴】

  • 1999年:岩手医科大学卒業
  • 2004年:東京医科歯科大学大学院卒業
  • ニューヨーク大学インプラント審美卒後研修修了
  • ペンシルバニア大学卒後研修修了
  • テンプル大学大学最新歯科治療コース修了
  • ブカレスト大学医学部インプラント科卒業
  • ハーバード大学インプラントプログラム修了
  • いいやま歯科医院:勤務
  • 青山通り歯科タナカ:院長
  • 渋谷歯科タナカ:院長
  • 医療法人社団まる歯:理事長